扫码关注公众号           扫码咨询技术支持           扫码咨询技术服务
  
客服热线:400-901-9800  客服QQ:4009019800  技术答疑  技术支持  质量反馈  人才招聘  关于我们  联系我们
产品中心-北京博奥森生物技术有限公司
首页 > 产品中心 > 一抗 > 产品信息
KIF2A Rabbit pAb (bs-17055R)  
订购热线:400-901-9800
订购邮箱:sales@bioss.com.cn
订购QQ:  400-901-9800
技术支持:techsupport@bioss.com.cn
50ul/1180.00元
100ul/1980.00元
200ul/2800.00元
大包装/询价

产品编号 bs-17055R
英文名称 KIF2A Rabbit pAb
中文名称 驱动蛋白家族成员2A抗体
别    名 CDCBM3; HK2; KIF2; C530030B14Rik; Kns2; M-kinesin; KIF2A_HUMAN; KIF2A; Kinesin-2 (hK2); KIF2A_MOUSE; Kinesin-2; KIF2A_RAT; kinesin family member 2A; kinesin heavy chain member 2  
研究领域 细胞生物  免疫学  神经生物学  信号转导  
抗体来源 Rabbit
克隆类型 Polyclonal
交叉反应 Mouse,Rat (predicted: Human,Pig,Sheep,Cow,Chicken,Dog,Horse)
产品应用 IHC-P=1:100-500,IHC-F=1:100-500,IF=1:100-500
not yet tested in other applications.
optimal dilutions/concentrations should be determined by the end user.
理论分子量 80kDa
细胞定位 细胞浆 
性    状 Liquid
浓    度 1mg/ml
免 疫 原 KLH conjugated synthetic peptide derived from human KIF2A: 611-706/706 
亚    型 IgG
纯化方法 affinity purified by Protein A
缓 冲 液 0.01M TBS (pH7.4) with 1% BSA, 0.02% Proclin300 and 50% Glycerol.
保存条件 Shipped at 4℃. Store at -20℃ for one year. Avoid repeated freeze/thaw cycles.
注意事项 This product as supplied is intended for research use only, not for use in human, therapeutic or diagnostic applications.
PubMed PubMed
产品介绍 The protein encoded by this gene is a plus end-directed motor required for normal mitotic progression. The encoded protein is required for normal spindle activity during mitosis and is necessary for normal brain development. Several transcript variants encoding different isoforms have been found for this gene. [provided by RefSeq, Sep 2011]

Function:
Plus end-directed microtubule-dependent motor required for normal brain development. May regulate microtubule dynamics during axonal growth. Required for normal progression through mitosis. Required for normal congress of chromosomes at the metaphase plate. Required for normal spindle dynamics during mitosis. Promotes spindle turnover. Implicated in formation of bipolar mitotic spindles. Has microtubule depolymerization activity.

Subcellular Location:
Cytoplasm. Cytoplasm > cytoskeleton > centrosome. Cytoplasm > cytoskeleton > spindle pole. Cytoplasm > cytoskeleton > spindle. Localized to the spindle microtubules and spindle poles from prophase to metaphase. Efficient targeting to spindle microtubules and spindle poles requires the kinase activity of PLK1. Recruited to mitotic spindles by interaction with PSRC1.

Similarity:
Belongs to the kinesin-like protein family. MCAK/KIF2 subfamily.
Contains 1 kinesin-motor domain.

SWISS:
O00139

Gene ID:
3796

Database links:

Entrez Gene: 3796 Human

Entrez Gene: 16563 Mouse

Entrez Gene: 84391 Rat

Omim: 602591 Human

SwissProt: O00139 Human

SwissProt: P28740 Mouse

SwissProt: Q9WV63 Rat

Unigene: 558351 Human

Unigene: 355686 Mouse

Unigene: 17829 Rat

Unigene: 218992 Rat



产品图片
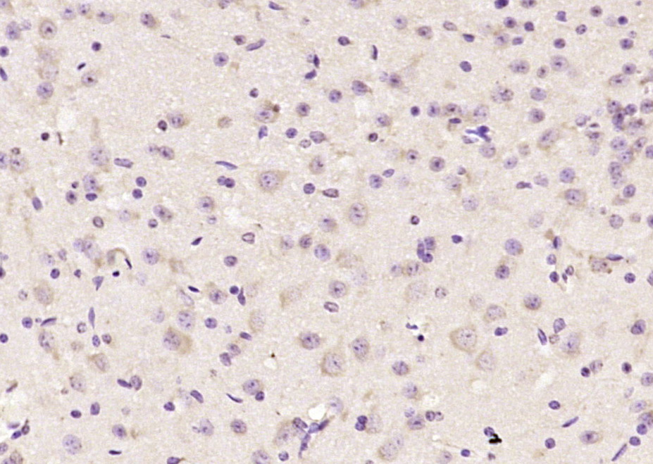
Paraformaldehyde-fixed, paraffin embedded (mouse brain); Antigen retrieval by boiling in sodium citrate buffer (pH6.0) for 15min; Block endogenous peroxidase by 3% hydrogen peroxide for 20 minutes; Blocking buffer (normal goat serum) at 37°C for 30min; Antibody incubation with (KIF2A) Polyclonal Antibody, Unconjugated (bs-17055R) at 1:200 overnight at 4°C, followed by operating according to SP Kit(Rabbit) (sp-0023) instructionsand DAB staining.
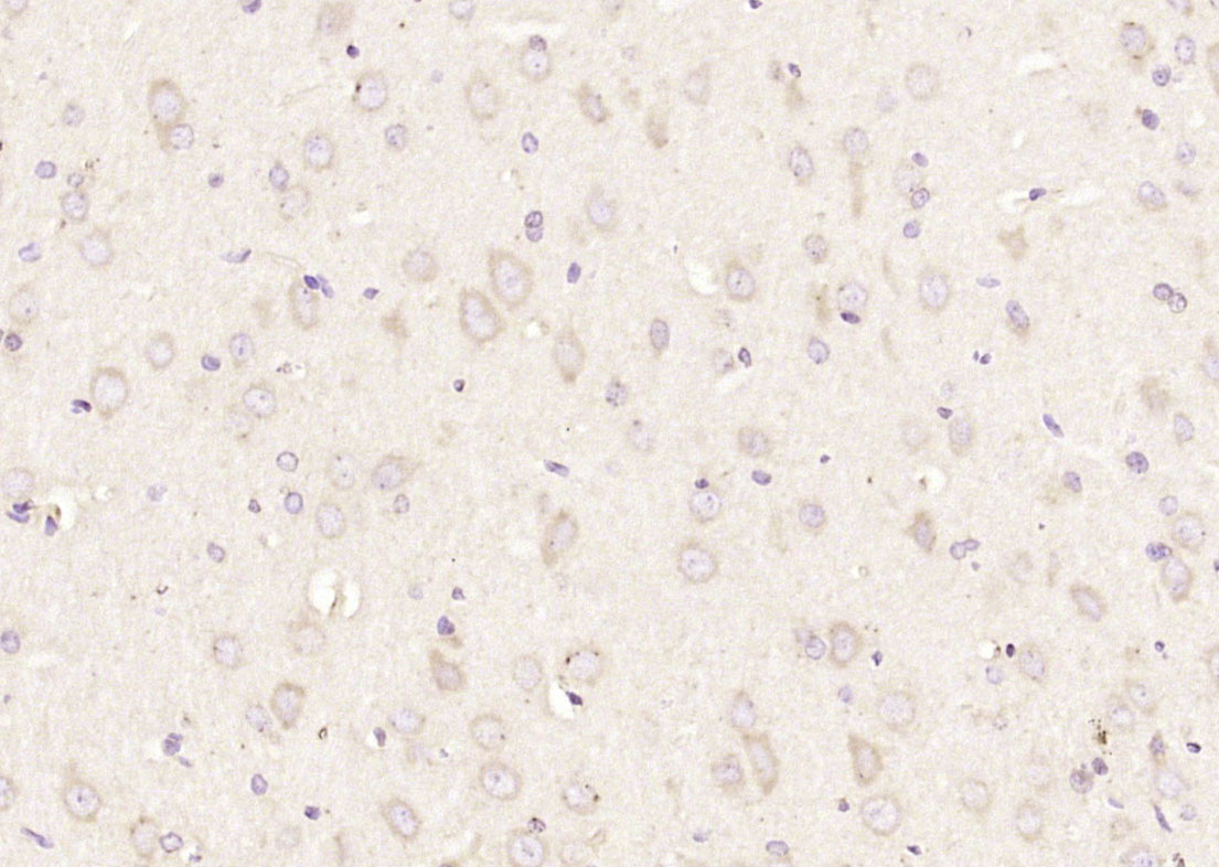
Paraformaldehyde-fixed, paraffin embedded (rat brain); Antigen retrieval by boiling in sodium citrate buffer (pH6.0) for 15min; Block endogenous peroxidase by 3% hydrogen peroxide for 20 minutes; Blocking buffer (normal goat serum) at 37°C for 30min; Antibody incubation with (KIF2A) Polyclonal Antibody, Unconjugated (bs-17055R) at 1:200 overnight at 4°C, followed by operating according to SP Kit(Rabbit) (sp-0023) instructionsand DAB staining.
版权所有 2004-2026 www.bioss.com.cn 北京博奥森生物技术有限公司
通过国际质量管理体系ISO 9001:2015 GB/T 19001-2016    证书编号: 00124Q34771R2M/1100
通过国际医疗器械-质量管理体系ISO 13485:2016 GB/T 42061-2022     证书编号: CQC24QY20047R0M/1100
京ICP备05066980号-1         京公网安备110107000727号