扫码关注公众号           扫码咨询技术支持           扫码咨询技术服务
  
客服热线:400-901-9800  客服QQ:4009019800  技术答疑  技术支持  质量反馈  关于我们  联系我们
产品中心-北京博奥森生物技术有限公司
首页 > 产品中心 > 一抗 > 产品信息
Vitamin D Receptor Rabbit pAb (bs-10618R)  
订购热线:400-901-9800
订购邮箱:sales@bioss.com.cn
订购QQ:  400-901-9800
技术支持:techsupport@bioss.com.cn
50ul/1180.00元
100ul/1980.00元
200ul/2800.00元
大包装/询价

产品编号 bs-10618R
英文名称 Vitamin D Receptor Rabbit pAb
中文名称 维生素D3受体抗体
别    名 Vitamin D3 receptor; 125 dihydroxyvitamin D3 receptor; 1 antibody 1, 25-@dihydroxyvitamin D3 receptor; 125 dihydroxyvitamin D3 receptor; 25-dihydroxyvitamin D3 receptor; NR1I1; Nuclear receptor subfamily 1 group I member 1; VDR; VDR_HUMAN; Vitamin D(1, 25-dihydroxyvitamin D3) receptor; Vitamin D hormone receptor; Vitamin D receptor; Vitamin D3 receptor,  
Specific References  (2)     |     bs-10618R has been referenced in 2 publications.
[IF=5.011] Juanjuan Li. et al. The effect of 1,25-dihydroxyvitamin D3 on the Wnt signaling pathway in bovine intestinal epithelial cells is mediated by the DKK2 (dickkopf2) Wnt antagonist. J STEROID BIOCHEM. 2023 Jul;231:106319  WB ;  Bovine.  
[IF=3.418] Guo Y et al. Calcitriol attenuates renal tubular epithelial cells apoptosis via inhibiting p38MAPK signaling in diabetic nephropathy. Acta Diabetol. 2020 Nov;57(11):1327-1335.  IHC-P ;  Rat.  
研究领域 细胞生物  免疫学  染色质和核信号  
抗体来源 Rabbit
克隆类型 Polyclonal
克 隆 号
交叉反应 Human,Mouse (predicted: Rat,Rabbit,Pig,Sheep,Cow,Dog,Horse)
产品应用 IHC-P=1:100-500,IHC-F=1:100-500,IF=1:100-500,Flow-Cyt=1ug/Test
not yet tested in other applications.
optimal dilutions/concentrations should be determined by the end user.
理论分子量 47 kDa
检测分子量
细胞定位 细胞核 细胞浆 
性    状 Liquid
浓    度 1mg/ml
免 疫 原 KLH conjugated synthetic peptide derived from human Vitamin D Receptor: 51-150/427 
亚    型 IgG
纯化方法 affinity purified by Protein A
缓 冲 液 0.01M TBS (pH7.4) with 1% BSA, 0.02% Proclin300 and 50% Glycerol.
保存条件 Shipped at 4℃. Store at -20℃ for one year. Avoid repeated freeze/thaw cycles.
注意事项 This product as supplied is intended for research use only, not for use in human, therapeutic or diagnostic applications.
PubMed PubMed
产品介绍 Nuclear hormone receptor. Transcription factor that mediates the action of vitamin D3 by controlling the expression of hormone sensitive genes. Regulates transcription of hormone sensitive genes via its association with the WINAC complex, a chromatin-remodeling complex. Recruited to promoters via its interaction with the WINAC complex subunit BAZ1B/WSTF, which mediates the interaction with acetylated histones, an essential step for VDR-promoter association. Plays a central role in calcium homeostasis.

Function:
Nuclear hormone receptor. Transcription factor that mediates the action of vitamin D3 by controlling the expression of hormone sensitive genes. Regulates transcription of hormone ensitive genes via its association with the WINAC complex, a chromatin-remodeling complex. Recruited to promoters via its interaction with the WINAC complex subunit BAZ1B/WSTF, which mediates the interaction with acetylated histones, an essential step for VDR-promoter association. Plays a central role in calcium homeostasis.

Subunit:
Homodimer in the absence of bound vitamin D3. Heterodimer with RXRA after vitamin D3 binding. Interacts with SMAD3. Interacts with MED1, NCOA1, NCOA2, NCOA3 and NCOA6 coactivators, leading to a strong increase of transcription of target genes. Interacts (in a ligand-dependent manner) with BAZ1B/WSTF.

Subcellular Location:
Nucleus.

DISEASE:
Defects in VDR are the cause of rickets vitamin D-dependent type 2A (VDDR2A) [MIM:277440]. A disorder of vitamin D metabolism resulting in severe rickets, hypocalcemia and secondary hyperparathyroidism. Most patients have total alopecia in addition to rickets.

Similarity:
Belongs to the nuclear hormone receptor family. NR1 subfamily.
Contains 1 nuclear receptor DNA-binding domain.

SWISS:
P11473

Gene ID:
7421

Database links:

Entrez Gene: 7421 Human

Entrez Gene: 22337 Mouse

Entrez Gene: 24873 Rat

Omim: 601769 Human

SwissProt: P11473 Human

SwissProt: P48281 Mouse

SwissProt: P13053 Rat

Unigene: 524368 Human

Unigene: 245084 Mouse

Unigene: 10911 Rat



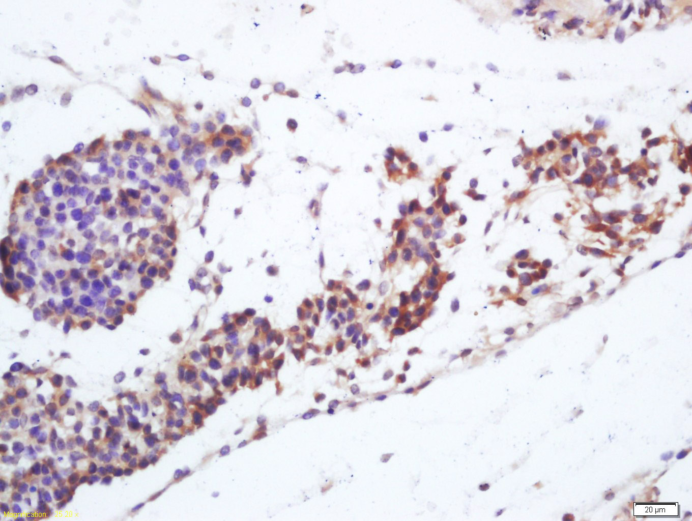
产品图片
Tissue/cell: mouse embryo tissue; 4% Paraformaldehyde-fixed and paraffin-embedded; Antigen retrieval: citrate buffer ( 0.01M, pH 6.0 ), Boiling bathing for 15min; Block endogenous peroxidase by 3% Hydrogen peroxide for 30min; Blocking buffer (normal goat serum,C-0005) at 37℃ for 20 min; Incubation: Anti-Vitamin D Receptor Polyclonal Antibody, Unconjugated(bs-10618R) 1:200, overnight at 4°C, followed by conjugation to the secondary antibody(SP-0023) and DAB(C-0010) staining
Blank control:U937. Primary Antibody (green line): Rabbit Anti-Vitamin D Receptor antibody (bs-10618R) Dilution: 1ug/Test; Secondary Antibody : Goat anti-rabbit IgG-FITC Dilution: 0.5ug/Test. Protocol The cells were fixed with 4% PFA (10min at room temperature)and then permeabilized with 90% ice-cold methanol for 20 min at -20℃.The cells were then incubated in 5%BSA to block non-specific protein-protein interactions for 30 min at room temperature .Cells stained with Primary Antibody for 30 min at room temperature. The secondary antibody used for 40 min at room temperature. Acquisition of 20,000 events was performed.
版权所有 2004-2026 www.bioss.com.cn 北京博奥森生物技术有限公司
通过国际质量管理体系ISO 9001:2015 GB/T 19001-2016    证书编号: 00124Q34771R2M/1100
通过国际医疗器械-质量管理体系ISO 13485:2016 GB/T 42061-2022     证书编号: CQC24QY20047R0M/1100
京ICP备05066980号-1         京公网安备110107000727号