扫码关注公众号           扫码咨询技术支持           扫码咨询技术服务
  
客服热线:400-901-9800  客服QQ:4009019800  技术答疑  技术支持  质量反馈  关于我们  联系我们
产品中心-北京博奥森生物技术有限公司
首页 > 产品中心 > 一抗 > 产品信息
KIAA0701 Rabbit pAb (bs-16980R)  
订购热线:400-901-9800
订购邮箱:sales@bioss.com.cn
订购QQ:  400-901-9800
技术支持:techsupport@bioss.com.cn
50ul/1180.00元
100ul/1980.00元
200ul/2800.00元
大包装/询价

产品编号 bs-16980R
英文名称 KIAA0701 Rabbit pAb
中文名称 KIAA0701蛋白抗体
别    名 Hypothetical protein LOC23074; UH1BL_HUMAN; UHRF1 binding protein 1 like; UHRF1-binding protein 1-like; UHRF1BP1L; KIAA0701.; UHRF1BP1L/SHIP164;  
研究领域 细胞生物  免疫学  
抗体来源 Rabbit
克隆类型 Polyclonal
克 隆 号
交叉反应 Human,Mouse (predicted: Rat,Cow)
产品应用 WB=1:500-2000,IHC-P=1:100-500,IHC-F=1:100-500,IF=1:100-500
not yet tested in other applications.
optimal dilutions/concentrations should be determined by the end user.
理论分子量 161 kDa
性    状 Liquid
浓    度 1mg/ml
免 疫 原 KLH conjugated synthetic peptide derived from human KIAA0701: 1-100/1464 
亚    型 IgG
纯化方法 affinity purified by Protein A
缓 冲 液 0.01M TBS (pH7.4) with 1% BSA, 0.02% Proclin300 and 50% Glycerol.
保存条件 Shipped at 4℃. Store at -20℃ for one year. Avoid repeated freeze/thaw cycles.
注意事项 This product as supplied is intended for research use only, not for use in human, therapeutic or diagnostic applications.
PubMed PubMed
产品介绍 UHRF1BP1L (UHRF1 Binding Protein 1 Like) is a Protein Coding gene. An important paralog of this gene is UHRF1BP1.

Database links:

Entrez Gene: 475438 Dog

Entrez Gene: 101139879 Gorilla

Entrez Gene: 23074 Human

Entrez Gene: 75089 Mouse

Entrez Gene: 363009 Rat

SwissProt: A0JNW5 Human

SwissProt: A2RSJ4 Mouse

Unigene: 9724 Cow

Unigene: 620701 Human

Unigene: 268922 Mouse

Unigene: 446134 Mouse



产品图片
Protein: brain(mouse) lysate at 40ug; Primary: rabbit Anti-KIAA0701 (bs-16980R) at 1:300; Secondary: HRP conjugated Goat-Anti-rabbit IgG(bs-0295G-HRP) at 1: 5000; Predicted band size:161 kD Observed band size:161kD
Sample: Stomach (Mouse) Lysate at 40 ug Bladder (Mouse) Lysate at 40 ug Primary: Anti- KIAA0701 (bs-16980R) at 1/1000 dilution Secondary: IRDye800CW Goat Anti-Rabbit IgG at 1/20000 dilution Predicted band size: 161 kD Observed band size: 161 kD
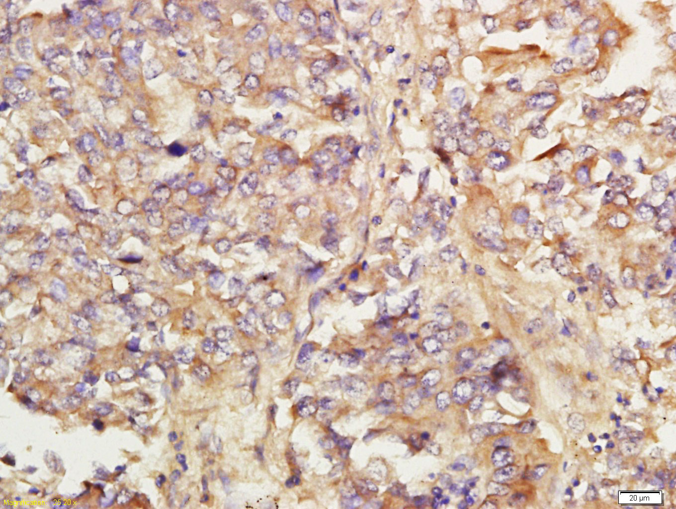
Tissue/cell: human lung carcinoma; 4% Paraformaldehyde-fixed and paraffin-embedded; Antigen retrieval: citrate buffer ( 0.01M, pH 6.0 ), Boiling bathing for 15min; Block endogenous peroxidase by 3% Hydrogen peroxide for 30min; Blocking buffer (normal goat serum,C-0005) at 37℃ for 20 min; Incubation: Anti-KIAA0701 Polyclonal Antibody, Unconjugated(bs-16980R) 1:200, overnight at 4°C, followed by conjugation to the secondary antibody(SP-0023) and DAB(C-0010) staining
版权所有 2004-2026 www.bioss.com.cn 北京博奥森生物技术有限公司
通过国际质量管理体系ISO 9001:2015 GB/T 19001-2016    证书编号: 00124Q34771R2M/1100
通过国际医疗器械-质量管理体系ISO 13485:2016 GB/T 42061-2022     证书编号: CQC24QY20047R0M/1100
京ICP备05066980号-1         京公网安备110107000727号