扫码关注公众号           扫码咨询技术支持           扫码咨询技术服务
  
客服热线:400-901-9800  客服QQ:4009019800  技术答疑  技术支持  质量反馈  关于我们  联系我们
产品中心-北京博奥森生物技术有限公司
首页 > 产品中心 > 一抗 > 产品信息
KDM6A Rabbit pAb (bs-16948R)  
订购热线:400-901-9800
订购邮箱:sales@bioss.com.cn
订购QQ:  400-901-9800
技术支持:techsupport@bioss.com.cn
50ul/1180.00元
100ul/1980.00元
200ul/2800.00元
大包装/询价

产品编号 bs-16948R
英文名称 KDM6A Rabbit pAb
中文名称 组蛋白去甲基化酶UTX抗体
别    名 bA386N14.2(ubiquitously transcribed X chromosome tetratricopeptide repeat protein(UTX); bA386N14.2; bA386N14.2 ubiquitously transcribed X chromosome tetratricopeptide repeat protein UTX; DKFZp686A03225; Histone demethylase UTX; KABUK2; Kdm6a; KDM6A_HUMAN; Lysine(K) specific demethylase 6A; Lysine K specific demethylase 6A; Lysine specific demethylase 6A ubiquitously transcribed tetratricopeptide repeat gene X chromosome; Lysine-specific demethylase 6A; MGC141941; Ubiquitously transcribed tetratricopeptide repeat X chromosome; Ubiquitously transcribed tetratricopeptide repeat protein X linked; Ubiquitously transcribed TPR gene on the X chromosome; Ubiquitously transcribed TPR protein on the X chromosome; Ubiquitously transcribed X chromosome tetratricopeptide repeat protein; Ubiquitously-transcribed TPR protein on the X chromosome; Ubiquitously-transcribed X chromosome tetratricopeptide repeat protein; UTX.  
研究领域 细胞生物  表观遗传学  
抗体来源 Rabbit
克隆类型 Polyclonal
克 隆 号
交叉反应 Rat (predicted: Human,Mouse,Rabbit,Pig,Sheep,Cow,Chicken,Dog,Horse)
产品应用 IHC-P=1:100-500,IHC-F=1:100-500,IF=1:100-500
not yet tested in other applications.
optimal dilutions/concentrations should be determined by the end user.
理论分子量 154 kDa
检测分子量
细胞定位 细胞核 
性    状 Liquid
浓    度 1mg/ml
免 疫 原 KLH conjugated synthetic peptide derived from human KDM6A: 661-750/1401 
亚    型 IgG
纯化方法 affinity purified by Protein A
缓 冲 液 0.01M TBS (pH7.4) with 1% BSA, 0.02% Proclin300 and 50% Glycerol.
保存条件 Shipped at 4℃. Store at -20℃ for one year. Avoid repeated freeze/thaw cycles.
注意事项 This product as supplied is intended for research use only, not for use in human, therapeutic or diagnostic applications.
PubMed PubMed
产品介绍 This gene is located on the X chromosome and is the corresponding locus to a Y-linked gene which encodes a tetratricopeptide repeat (TPR) protein. The encoded protein of this gene contains a JmjC-domain and catalyzes the demethylation of tri/dimethylated histone H3. [provided by RefSeq, Nov 2009]

Function:
Histone demethylase that specifically demethylates 'Lys-27' of histone H3, thereby playing a central role in histone code. Demethylates trimethylated and dimethylated but not monomethylated H3 'Lys-27'. Plays a central role in regulation of posterior development, by regulating HOX gene expression. Demethylation of 'Lys-27' of histone H3 is concomitent with methylation of 'Lys-4' of histone H3, and regulates the recruitment of the PRC1 complex and monoubiquitination of histone H2A.

Subunit:
Interacts with TLE1 (By similarity).

Subcellular Location:
Nucleus.

Similarity:
Belongs to the UTX family.
Contains 1 JmjC domain.
Contains 8 TPR repeats.

SWISS:
O15550

Gene ID:
7403

Database links:

Entrez Gene: 7403 Human

Entrez Gene: 22289 Mouse

Omim: 300128 Human

SwissProt: O15550 Human

SwissProt: O70546 Mouse

Unigene: 522616 Human

Unigene: 257498 Mouse

Unigene: 417709 Mouse



产品图片
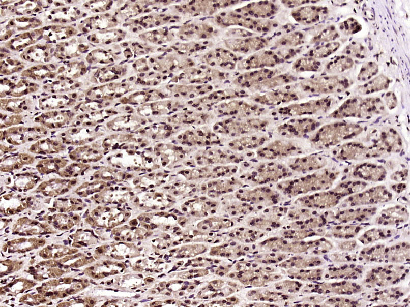
Paraformaldehyde-fixed, paraffin embedded (Rat stomach); Antigen retrieval by boiling in sodium citrate buffer (pH6.0) for 15min; Block endogenous peroxidase by 3% hydrogen peroxide for 20 minutes; Blocking buffer (normal goat serum) at 37°C for 30min; Antibody incubation with (KDM6A) Polyclonal Antibody, Unconjugated (bs-16948R) at 1:400 overnight at 4°C, followed by operating according to SP Kit(Rabbit) (sp-0023) instructionsand DAB staining.
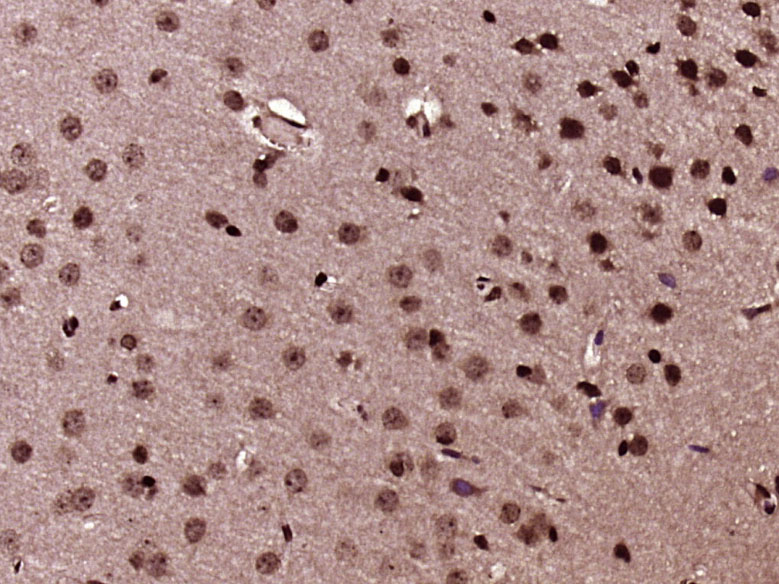
Paraformaldehyde-fixed, paraffin embedded (Rat brain); Antigen retrieval by boiling in sodium citrate buffer (pH6.0) for 15min; Block endogenous peroxidase by 3% hydrogen peroxide for 20 minutes; Blocking buffer (normal goat serum) at 37°C for 30min; Antibody incubation with (KDM6A) Polyclonal Antibody, Unconjugated (bs-16948R) at 1:400 overnight at 4°C, followed by operating according to SP Kit(Rabbit)(sp-0023)instructionsand DAB staining.
版权所有 2004-2026 www.bioss.com.cn 北京博奥森生物技术有限公司
通过国际质量管理体系ISO 9001:2015 GB/T 19001-2016    证书编号: 00124Q34771R2M/1100
通过国际医疗器械-质量管理体系ISO 13485:2016 GB/T 42061-2022     证书编号: CQC24QY20047R0M/1100
京ICP备05066980号-1         京公网安备110107000727号