扫码关注公众号           扫码咨询技术支持           扫码咨询技术服务
  
客服热线:400-901-9800  客服QQ:4009019800  技术答疑  技术支持  质量反馈  关于我们  联系我们
产品中心-北京博奥森生物技术有限公司
首页 > 产品中心 > 一抗 > 产品信息
L3MBTL2 Rabbit pAb (bs-16880R)  
订购热线:400-901-9800
订购邮箱:sales@bioss.com.cn
订购QQ:  400-901-9800
技术支持:techsupport@bioss.com.cn
50ul/1180.00元
100ul/1980.00元
200ul/2800.00元
大包装/询价

产品编号 bs-16880R
英文名称 L3MBTL2 Rabbit pAb
中文名称 致死因子恶性脑瘤样蛋白2抗体
别    名 3bt like 2 protein; 3bt like protein; DKFZP761I141; H-l(3)mbt-like protein 2; H-l(3)mbt-like protein; Hl; Hl(3)mbt like protein; Hl(3)mbtl; L; l(3)mbt like 2(Drosophila); l(3)mbt like 2; L(3)mbt-like 2 protein; L(3)mbt-like protein 2; L3MBTL2; Lethal; Lethal(3)malignant brain tumor-like 2 protein; Lethal(3)malignant brain tumor-like protein 2; LMBL2_HUMAN.  
研究领域 肿瘤  细胞生物  表观遗传学  
抗体来源 Rabbit
克隆类型 Polyclonal
克 隆 号
交叉反应 Human,Mouse,Rat (predicted: Rabbit,Pig,Sheep,Cow,Dog,Horse)
产品应用 IHC-P=1:100-500,IHC-F=1:100-500,IF=1:100-500
not yet tested in other applications.
optimal dilutions/concentrations should be determined by the end user.
理论分子量 79 kDa
检测分子量
细胞定位 细胞核 
性    状 Liquid
浓    度 1mg/ml
免 疫 原 KLH conjugated synthetic peptide derived from human L3MBTL2: 151-250/705 
亚    型 IgG
纯化方法 affinity purified by Protein A
缓 冲 液 0.01M TBS (pH7.4) with 1% BSA, 0.02% Proclin300 and 50% Glycerol.
保存条件 Shipped at 4℃. Store at -20℃ for one year. Avoid repeated freeze/thaw cycles.
注意事项 This product as supplied is intended for research use only, not for use in human, therapeutic or diagnostic applications.
PubMed PubMed
产品介绍 Putative Polycomb group (PcG) protein. PcG proteins maintain the transcriptionally repressive state of genes, probably via a modification of chromatin, rendering it heritably changed in its expressibility. Its association with a chromatin-remodeling complex suggests that it may contribute to prevent expression of genes that trigger the cell into mitosis. Binds to monomethylated and dimethylated 'Lys-20' on histone H4. Binds histone H3 peptides that are monomethylated or dimethylated on 'Lys-4', 'Lys-9' or 'Lys-27'.

Function:
Putative Polycomb group (PcG) protein. PcG proteins maintain the transcriptionally repressive state of genes, probably via a modification of chromatin, rendering it heritably changed in its expressibility. Its association with a chromatin-remodeling complex suggests that it may contribute to prevent expression of genes that trigger the cell into mitosis. Binds to monomethylated and dimethylated 'Lys-20' on histone H4. Binds histone H3 peptides that are monomethylated or dimethylated on 'Lys-4', 'Lys-9' or'Lys-27'.

Subunit:
Part of the E2F6.com-1 complex in G0 phase composed of E2F6, MGA, MAX, TFDP1, CBX3, BAT8, EUHMTASE1, RING1, RNF2, MBLR,BAT8 and YAF2.

Subcellular Location:
Nucleus.

Similarity:
Contains 1 FCS-type zinc finger.
Contains 4 MBT repeats.

SWISS:
Q969R5

Gene ID:
83746

Database links:

Entrez Gene: 513297 Cow

Entrez Gene: 83746 Human

Entrez Gene: 214669 Mouse

Entrez Gene: 300320 Rat

Omim: 611865 Human

SwissProt: Q1JQD9 Cow

SwissProt: Q969R5 Human

SwissProt: P59178 Mouse

SwissProt: Q3MIF2 Rat

Unigene: 517641 Human

Unigene: 280768 Mouse

Unigene: 137566 Rat



产品图片
Paraformaldehyde-fixed, paraffin embedded (rat uterus); Antigen retrieval by boiling in sodium citrate buffer (pH6.0) for 15min; Block endogenous peroxidase by 3% hydrogen peroxide for 20 minutes; Blocking buffer (normal goat serum) at 37°C for 30min; Antibody incubation with (L3MBTL2) Polyclonal Antibody, Unconjugated (bs-16880R) at 1:400 overnight at 4°C, followed by a conjugated secondary (sp-0023) for 20 minutes and DAB staining.
Paraformaldehyde-fixed, paraffin embedded (mouse brain); Antigen retrieval by boiling in sodium citrate buffer (pH6.0) for 15min; Block endogenous peroxidase by 3% hydrogen peroxide for 20 minutes; Blocking buffer (normal goat serum) at 37°C for 30min; Antibody incubation with (L3MBTL2) Polyclonal Antibody, Unconjugated (bs-16880R) at 1:400 overnight at 4°C, followed by a conjugated secondary (sp-0023) for 20 minutes and DAB staining.
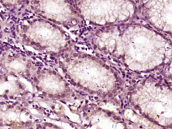
Paraformaldehyde-fixed, paraffin embedded (Human stomach cancer); Antigen retrieval by boiling in sodium citrate buffer (pH6.0) for 15min; Block endogenous peroxidase by 3% hydrogen peroxide for 20 minutes; Blocking buffer (normal goat serum) at 37°C for 30min; Antibody incubation with (L3MBTL2) Polyclonal Antibody, Unconjugated (bs-16880R) at 1:400 overnight at 4°C, followed by operating according to SP Kit(Rabbit) (sp-0023) instructionsand DAB staining.
版权所有 2004-2026 www.bioss.com.cn 北京博奥森生物技术有限公司
通过国际质量管理体系ISO 9001:2015 GB/T 19001-2016    证书编号: 00124Q34771R2M/1100
通过国际医疗器械-质量管理体系ISO 13485:2016 GB/T 42061-2022     证书编号: CQC24QY20047R0M/1100
京ICP备05066980号-1         京公网安备110107000727号