扫码关注公众号           扫码咨询技术支持           扫码咨询技术服务
  
客服热线:400-901-9800  客服QQ:4009019800  技术答疑  技术支持  质量反馈  关于我们  联系我们
产品中心-北京博奥森生物技术有限公司
首页 > 产品中心 > 一抗 > 产品信息
KMT3C Rabbit pAb (bs-16796R)  
订购热线:400-901-9800
订购邮箱:sales@bioss.com.cn
订购QQ:  400-901-9800
技术支持:techsupport@bioss.com.cn
50ul/1180.00元
100ul/1980.00元
200ul/2800.00元
大包装/询价

产品编号 bs-16796R
英文名称 KMT3C Rabbit pAb
中文名称 组蛋白赖氨酸N-甲基转移酶3C抗体
别    名 Histone methyltransferase SMYD2; HSKM B; HSKM-B; HSKMB; KMT3C; Lysine N-methyltransferase 3C; MGC119305; N lysine methyltransferase SMYD2; N-lysine methyltransferase SMYD2; SET and MYND domain containing 2; SET and MYND domain containing protein 2; SET and MYND domain-containing protein 2; Smyd2; SMYD2_HUMAN; Zinc finger MYND domain containing 14; ZMYND14.  
研究领域 转录调节因子  表观遗传学  
抗体来源 Rabbit
克隆类型 Polyclonal
克 隆 号
交叉反应 Human,Mouse,Rat (predicted: Pig,Sheep,Cow,Horse)
产品应用 WB=1:500-2000,IHC-P=1:100-500,IHC-F=1:100-500,IF=1:100-500
not yet tested in other applications.
optimal dilutions/concentrations should be determined by the end user.
理论分子量 50 kDa
检测分子量
细胞定位 细胞核 细胞浆 
性    状 Liquid
浓    度 1mg/ml
免 疫 原 KLH conjugated synthetic peptide derived from human KMT3C: 351-433/433 
亚    型 IgG
纯化方法 affinity purified by Protein A
缓 冲 液 0.01M TBS (pH7.4) with 1% BSA, 0.02% Proclin300 and 50% Glycerol.
保存条件 Shipped at 4℃. Store at -20℃ for one year. Avoid repeated freeze/thaw cycles.
注意事项 This product as supplied is intended for research use only, not for use in human, therapeutic or diagnostic applications.
PubMed PubMed
产品介绍 SET domain-containing proteins, such as SMYD2, catalyze lysine methylation (Brown et al., 2006 [PubMed 16805913]).[supplied by OMIM, Nov 2008]

Function:
Protein-lysine N-methyltransferase that methylates both histones and non-histone proteins. Specifically methylates histone H3 'Lys-4' (H3K4me) and dimethylates histone H3 'Lys-36' (H3K36me2). Has also methyltransferase activity toward non-histone proteins such as p53/TP53 and RB1. Monomethylates 'Lys-370' of p53/TP53, leading to decreased DNA-binding activity and subsequent transcriptional regulation activity of p53/TP53. Monomethylates 'Lys-860' of RB1/RB.

Subunit:
Interacts with RNA polymerase II and HELZ. Interacts with SIN3A and HDAC1 (By similarity). Interacts (via MYND-type zinc finger) with EPB41L3. Interacts (via SET domain) with p53/TP53. Interacts with RB1 and HSP90AA1.

Subcellular Location:
Cytoplasm; cytosol. Nucleus.

Similarity:
Contains 1 MYND-type zinc finger.
Contains 1 SET domain.

SWISS:
Q9NRG4

Gene ID:
56950

Database links:

Entrez Gene: 56950 Human

Entrez Gene: 615229 Cow

Entrez Gene: 226830 Mouse

Entrez Gene: 100294706 Pig

Entrez Gene: 289372 Rat

Omim: 610663 Human

SwissProt: Q0P585 Cow

SwissProt: Q9NRG4 Human

SwissProt: Q8R5A0 Mouse

SwissProt: C3RZA1 Pig

SwissProt: Q7M6Z3 Rat

Unigene: 66170 Human

Unigene: 156895 Mouse

Unigene: 7052 Rat



产品图片
Sample: heart (mouse) Lysate at 40 ug Primary: Anti-KMT3C(bs-16796R) at 1/300 dilution Secondary: IRDye800CW Goat Anti-Rabbit IgG at 1/20000 dilution Predicted band size: 50 kD Observed band size: 50 kD
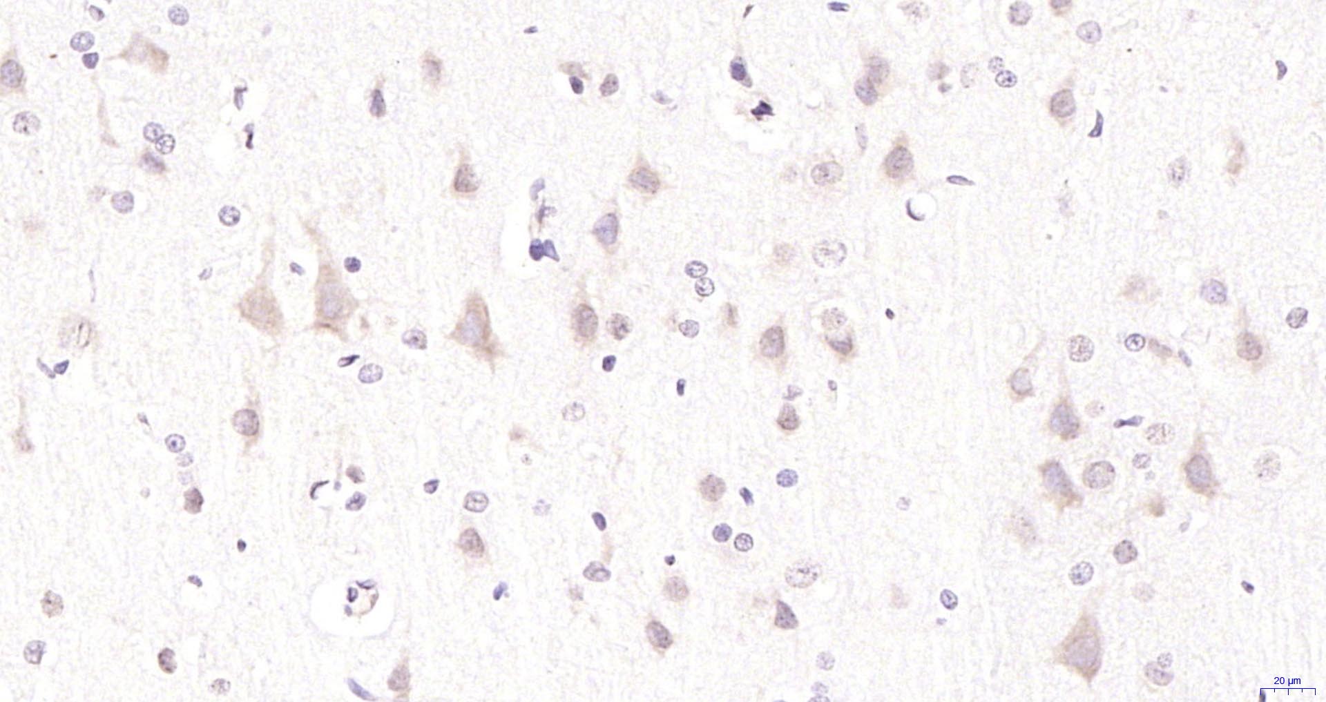
Paraformaldehyde-fixed, paraffin embedded Human Cerebrum; Antigen retrieval by boiling in sodium citrate buffer (pH6.0) for 15 min; Antibody incubation with KMT3C Polyclonal Antibody, Unconjugated (bs-16796R) at 1:200 overnight at 4°C, followed by conjugation to the SP Kit (Rabbit, SP-0023) and DAB (C-0010) staining.
Paraformaldehyde-fixed, paraffin embedded Rat Cerebrum; Antigen retrieval by boiling in sodium citrate buffer (pH6.0) for 15 min; Antibody incubation with KMT3C Polyclonal Antibody, Unconjugated (bs-16796R) at 1:200 overnight at 4°C, followed by conjugation to the SP Kit (Rabbit, SP-0023) and DAB (C-0010) staining.
版权所有 2004-2026 www.bioss.com.cn 北京博奥森生物技术有限公司
通过国际质量管理体系ISO 9001:2015 GB/T 19001-2016    证书编号: 00124Q34771R2M/1100
通过国际医疗器械-质量管理体系ISO 13485:2016 GB/T 42061-2022     证书编号: CQC24QY20047R0M/1100
京ICP备05066980号-1         京公网安备110107000727号