扫码关注公众号           扫码咨询技术支持           扫码咨询技术服务
  
客服热线:400-901-9800  客服QQ:4009019800  技术答疑  技术支持  质量反馈  关于我们  联系我们
产品中心-北京博奥森生物技术有限公司
首页 > 产品中心 > 一抗 > 产品信息
TRAX Rabbit pAb (bs-16708R)  
订购热线:400-901-9800
订购邮箱:sales@bioss.com.cn
订购QQ:  400-901-9800
技术支持:techsupport@bioss.com.cn
50ul/1180.00元
100ul/1980.00元
200ul/2800.00元
大包装/询价

产品编号 bs-16708R
英文名称 TRAX Rabbit pAb
中文名称 转位蛋白相关X因子抗体
别    名 Translin associated factor X; Translin-associated factor X; Translin-associated protein X; TSNAX; TSNAX_HUMAN.  
研究领域 细胞生物  转录调节因子  表观遗传学  
抗体来源 Rabbit
克隆类型 Polyclonal
克 隆 号
交叉反应 Human,Mouse (predicted: Rat,Rabbit,Pig,Sheep,Cow,Dog,Horse)
产品应用 WB=1:500-2000,IHC-P=1:100-500,IHC-F=1:100-500,IF=1:100-500
not yet tested in other applications.
optimal dilutions/concentrations should be determined by the end user.
理论分子量 33 kDa
检测分子量
细胞定位 细胞浆 
性    状 Liquid
浓    度 1mg/ml
免 疫 原 KLH conjugated synthetic peptide derived from human TRAX: 21-120/290 
亚    型 IgG
纯化方法 affinity purified by Protein A
缓 冲 液 0.01M TBS (pH7.4) with 1% BSA, 0.02% Proclin300 and 50% Glycerol.
保存条件 Shipped at 4℃. Store at -20℃ for one year. Avoid repeated freeze/thaw cycles.
注意事项 This product as supplied is intended for research use only, not for use in human, therapeutic or diagnostic applications.
PubMed PubMed
产品介绍 This gene encodes a protein which specifically interacts with translin, a DNA-binding protein that binds consensus sequences at breakpoint junctions of chromosomal translocations. The encoded protein contains bipartite nuclear targeting sequences that may provide nuclear transport for translin, which lacks any nuclear targeting motifs. [provided by RefSeq, Jul 2008]

Function:
Possible role in spermatogenesis.

Subcellular Location:
Cytoplasm > perinuclear region. Nucleus. Expressed in the cytoplasm in the presence of TSN.

Post-translational modifications:
Sumoylated.

Similarity:
Belongs to the translin family.

SWISS:
Q99598

Gene ID:
7257

Database links:

Entrez Gene: 7257 Human

Omim: 602964 Human

SwissProt: Q99598 Human

Unigene: 13318 Human



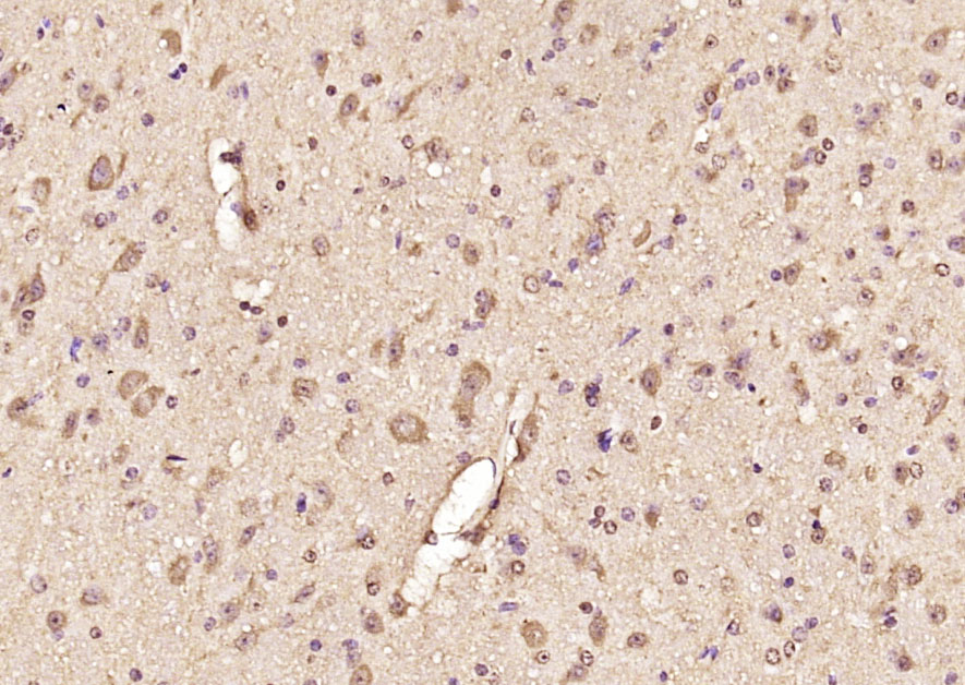
产品图片
Sample: HL60(Human) Cell Lysate at 30 ug Primary: Anti-TRAX (bs-16708R) at 1/1000 dilution Secondary: IRDye800CW Goat Anti-Rabbit IgG at 1/20000 dilution Predicted band size: 33 kD Observed band size: 33 kD
Paraformaldehyde-fixed, paraffin embedded (mouse brain); Antigen retrieval by boiling in sodium citrate buffer (pH6.0) for 15min; Block endogenous peroxidase by 3% hydrogen peroxide for 20 minutes; Blocking buffer (normal goat serum) at 37°C for 30min; Antibody incubation with (TRAX) Polyclonal Antibody, Unconjugated (bs-16708R) at 1:200 overnight at 4°C, followed by operating according to SP Kit(Rabbit) (sp-0023) instructionsand DAB staining.
版权所有 2004-2026 www.bioss.com.cn 北京博奥森生物技术有限公司
通过国际质量管理体系ISO 9001:2015 GB/T 19001-2016    证书编号: 00124Q34771R2M/1100
通过国际医疗器械-质量管理体系ISO 13485:2016 GB/T 42061-2022     证书编号: CQC24QY20047R0M/1100
京ICP备05066980号-1         京公网安备110107000727号