扫码关注公众号           扫码咨询技术支持           扫码咨询技术服务
  
客服热线:400-901-9800  客服QQ:4009019800  技术答疑  技术支持  质量反馈  关于我们  联系我们
产品中心-北京博奥森生物技术有限公司
首页 > 产品中心 > 一抗 > 产品信息
IRGC Rabbit pAb (bs-16706R)  
订购热线:400-901-9800
订购邮箱:sales@bioss.com.cn
订购QQ:  400-901-9800
技术支持:techsupport@bioss.com.cn
50ul/1180.00元
100ul/1980.00元
200ul/2800.00元
大包装/询价

产品编号 bs-16706R
英文名称 IRGC Rabbit pAb
中文名称 IRGC蛋白抗体
别    名 CINEMA; IFGGE; IRGC1; Iigp5; R30953_1; F630044M05Rik; Gm1102; Gm474; RGD1311107; IIGP5_HUMAN; IRGC; Immunity-related GTPase cinema 1; 3.6.5.-; IIGP5_MOUSE; IIGP5_RAT;   
研究领域 细胞生物  免疫学  信号转导  
抗体来源 Rabbit
克隆类型 Polyclonal
克 隆 号
交叉反应 Human,Rat (predicted: Mouse,Rabbit,Pig,Cow,Horse)
产品应用 WB=1:500-2000,IHC-P=1:100-500,IHC-F=1:100-500,IF=1:100-500
not yet tested in other applications.
optimal dilutions/concentrations should be determined by the end user.
理论分子量 50 kDa
细胞定位 细胞核 细胞浆 
性    状 Liquid
浓    度 1mg/ml
免 疫 原 KLH conjugated synthetic peptide derived from human IRGC: 301-400/463 
亚    型 IgG
纯化方法 affinity purified by Protein A
缓 冲 液 0.01M TBS (pH7.4) with 1% BSA, 0.02% Proclin300 and 50% Glycerol.
保存条件 Shipped at 4℃. Store at -20℃ for one year. Avoid repeated freeze/thaw cycles.
注意事项 This product as supplied is intended for research use only, not for use in human, therapeutic or diagnostic applications.
PubMed PubMed
产品介绍 IRGC (Immunity Related GTPase Cinema) is a Protein Coding gene. Diseases associated with IRGC include Solar Retinopathy and Echolalia. GO annotations related to this gene include GTP binding and hydrolase activity, acting on acid anhydrides. An important paralog of this gene is IRGM.

Similarity:
Belongs to the interferon-inducible GTPase family.

SWISS:
Q6NXR0

Gene ID:
56269

Database links:

Entrez Gene: 56269 Human

Entrez Gene: 210145 Mouse

Entrez Gene: 308428 Rat

SwissProt: Q6NXR0 Human

SwissProt: Q8C262 Mouse

SwissProt: Q6AYF9 Rat

Unigene: 515444 Human

Unigene: 33811 Mouse

Unigene: 155129 Rat



产品图片
Sample: A549 Cell (Human) Lysate at 30 ug Primary: Anti-IRGC (bs-16706R) at 1/300 dilution Secondary: IRDye800CW Goat Anti-Rabbit IgG at 1/20000 dilution Predicted band size: 50 kD Observed band size: 50 kD
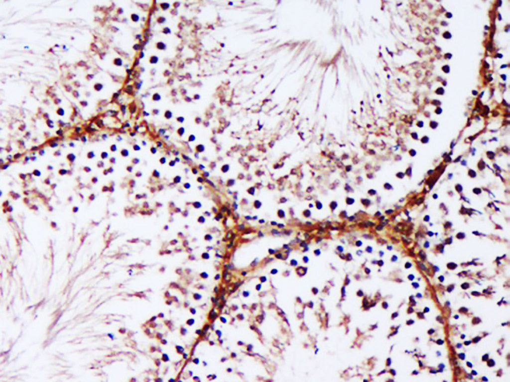
Tissue/cell: Rat testis tissue; 4% Paraformaldehyde-fixed and paraffin-embedded; Antigen retrieval: citrate buffer ( 0.01M, pH 6.0 ), Boiling bathing for 15min; Block endogenous peroxidase by 3% Hydrogen peroxide for 30min; Blocking buffer (normal goat serum,C-0005) at 37℃ for 20 min; Incubation: Anti-IRGC Polyclonal Antibody, Unconjugated(bs-16706R) 1:500, overnight at 4°C, followed by conjugation to the secondary antibody(SP-0023) and DAB(C-0010) staining
版权所有 2004-2026 www.bioss.com.cn 北京博奥森生物技术有限公司
通过国际质量管理体系ISO 9001:2015 GB/T 19001-2016    证书编号: 00124Q34771R2M/1100
通过国际医疗器械-质量管理体系ISO 13485:2016 GB/T 42061-2022     证书编号: CQC24QY20047R0M/1100
京ICP备05066980号-1         京公网安备110107000727号