扫码关注公众号           扫码咨询技术支持           扫码咨询技术服务
  
客服热线:400-901-9800  客服QQ:4009019800  技术答疑  技术支持  质量反馈  关于我们  联系我们
产品中心-北京博奥森生物技术有限公司
首页 > 产品中心 > 一抗 > 产品信息
INT11/CPSF3L Rabbit pAb (bs-16677R)  
订购热线:400-901-9800
订购邮箱:sales@bioss.com.cn
订购QQ:  400-901-9800
技术支持:techsupport@bioss.com.cn
50ul/1180.00元
100ul/1980.00元
200ul/2800.00元
大包装/询价

产品编号 bs-16677R
英文名称 INT11/CPSF3L Rabbit pAb
中文名称 INT11蛋白抗体
别    名 2410006F12Rik; AU044035; Cleavage and polyadenylation specific factor 3 like; Cleavage and polyadenylation-specific factor 3-like protein; CPSF3 like protein; CPSF3-like protein; CPSF3L; CPSF73L; FLJ13294; FLJ20542; Human integrator complex subunit 11; INT 11; Int11; INT11_HUMAN; Integrator complex subunit 11; INTS 11; INTS11; MGC124975; OTTHUMP00000044092; Protein related to CPSF subunits of 68 kDa; RC 68; RC 68, related; RC-68; RC68; Related to CPSF subunits 68 kDa; Related to CPSF subunits, 68 kDa protein; RGD1306841; RP23 242K15.19.  
研究领域 转录调节因子  表观遗传学  
抗体来源 Rabbit
克隆类型 Polyclonal
克 隆 号
交叉反应 Mouse,Rat (predicted: Human,Zebrafish,Horse,Rhesus monkey,Gorilla,Opossum, Orangutan,Elephant)
产品应用 IHC-P=1:100-500,IHC-F=1:100-500,IF=1:100-500
not yet tested in other applications.
optimal dilutions/concentrations should be determined by the end user.
理论分子量 68 kDa
检测分子量
细胞定位 细胞核 细胞浆 
性    状 Liquid
浓    度 1mg/ml
免 疫 原 KLH conjugated synthetic peptide derived from human INT11/CPSF3L: 151-250/600 
亚    型 IgG
纯化方法 affinity purified by Protein A
缓 冲 液 0.01M TBS (pH7.4) with 1% BSA, 0.02% Proclin300 and 50% Glycerol.
保存条件 Shipped at 4℃. Store at -20℃ for one year. Avoid repeated freeze/thaw cycles.
注意事项 This product as supplied is intended for research use only, not for use in human, therapeutic or diagnostic applications.
PubMed PubMed
产品介绍 The Integrator complex contains at least 12 subunits and associates with the C-terminal domain of RNA polymerase II large subunit (POLR2A; MIM 180660) and mediates the 3-prime end processing of small nuclear RNAs U1 (RNU1; MIM 180680) and U2 (RNU2; MIM 180690). INTS11, or CPSF3L, is the catalytic subunit of the Integrator complex (Baillat et al., 2005 [PubMed 16239144]).[supplied by OMIM, Mar 2008]

Function:
Catalytic component of the Integrator complex, a complex involved in the small nuclear RNAs (snRNA) U1 and U2 transcription and in their 3'-box-dependent processing. The Integrator complex is associated with the C-terminal domain (CTD) of RNA polymerase II largest subunit (POLR2A) and is recruited to the U1 and U2 snRNAs genes. Mediates the snRNAs 3' cleavage.

Subunit:
Belongs to the multiprotein complex Integrator, at least composed of INTS1, INTS2, INTS3, INTS4, INTS5, INTS6, INTS7, INTS8, INTS9/RC74, INTS10, CPSF3L/INTS11 and INTS12.

Subcellular Location:
Nucleus. Cytoplasm.

Tissue Specificity:
Belongs to the metallo-beta-lactamase superfamily. RNA-metabolizing metallo-beta-lactamase-like family. INTS11 subfamily.

Similarity:
Belongs to the metallo-beta-lactamase superfamily. RNA-metabolizing metallo-beta-lactamase-like family. INTS11 subfamily. {ECO:0000305}.

SWISS:
Q5TA45

Gene ID:
54973

Database links:

Entrez Gene: 54973 Human

Entrez Gene: 71957 Mouse

Omim: 611354 Human

SwissProt: Q5TA45 Human

SwissProt: Q9CWS4 Mouse

Unigene: 6449 Human

Unigene: 475640 Mouse



产品图片
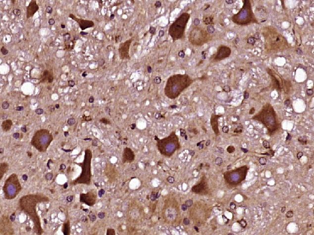
Tissue/cell: rat brain tissue; 4% Paraformaldehyde-fixed and paraffin-embedded; Antigen retrieval: citrate buffer ( 0.01M, pH 6.0 ), Boiling bathing for 15min; Block endogenous peroxidase by 3% Hydrogen peroxide for 30min; Blocking buffer (normal goat serum,C-0005) at 37℃ for 20 min; Incubation: Anti-INT11/CPSF3L Polyclonal Antibody, Unconjugated(bs-16677R) 1:500, overnight at 4°C, followed by conjugation to the secondary antibody(SP-0023) and DAB(C-0010) staining
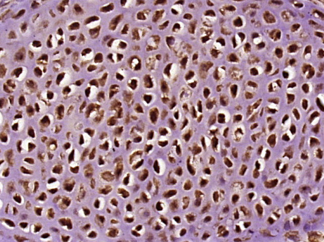
Paraformaldehyde-fixed, paraffin embedded (Mouse embryo); Antigen retrieval by boiling in sodium citrate buffer (pH6.0) for 15min; Block endogenous peroxidase by 3% hydrogen peroxide for 20 minutes; Blocking buffer (normal goat serum) at 37°C for 30min; Antibody incubation with (INT11/CPSF3L) Polyclonal Antibody, Unconjugated (bs-16677R) at 1:400 overnight at 4°C, followed by operating according to SP Kit(Rabbit) (sp-0023) instructionsand DAB staining.
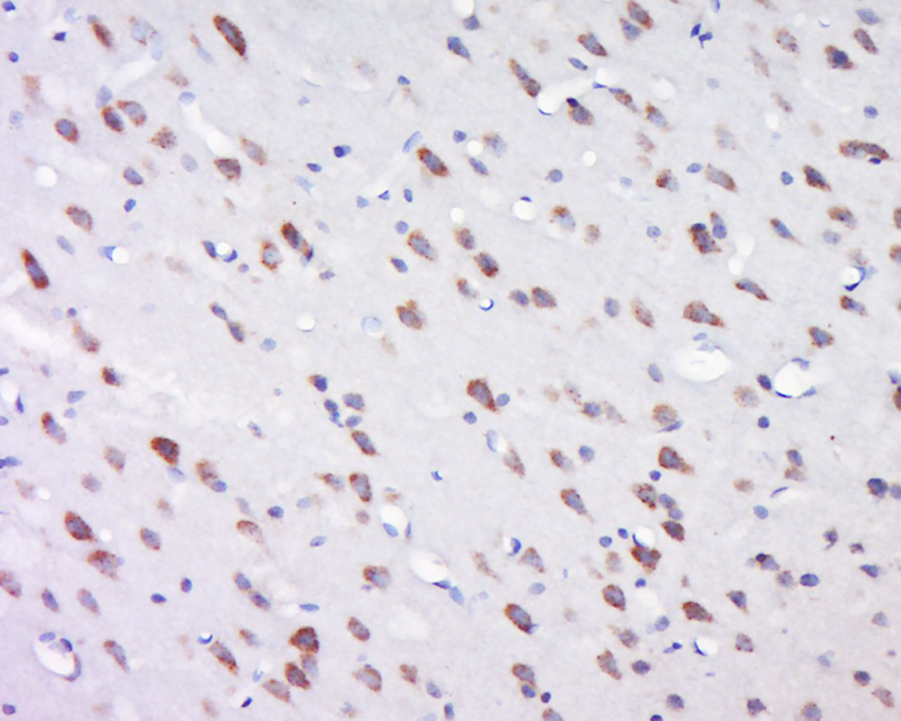
Paraformaldehyde-fixed, paraffin embedded (Rat brain); Antigen retrieval by boiling in sodium citrate buffer (pH6.0) for 15min; Block endogenous peroxidase by 3% hydrogen peroxide for 20 minutes; Blocking buffer (normal goat serum) at 37°C for 30min; Antibody incubation with (INT11/CPSF3L) Polyclonal Antibody, Unconjugated (bs-16677R) at 1:400 overnight at 4°C, followed by operating according to SP Kit(Rabbit) (sp-0023) instructionsand DAB staining.
版权所有 2004-2026 www.bioss.com.cn 北京博奥森生物技术有限公司
通过国际质量管理体系ISO 9001:2015 GB/T 19001-2016    证书编号: 00124Q34771R2M/1100
通过国际医疗器械-质量管理体系ISO 13485:2016 GB/T 42061-2022     证书编号: CQC24QY20047R0M/1100
京ICP备05066980号-1         京公网安备110107000727号