扫码关注公众号           扫码咨询技术支持           扫码咨询技术服务
  
客服热线:400-901-9800  客服QQ:4009019800  技术答疑  技术支持  质量反馈  关于我们  联系我们
产品中心-北京博奥森生物技术有限公司
首页 > 产品中心 > 一抗 > 产品信息
Translin Rabbit pAb (bs-16574R)  
订购热线:400-901-9800
订购邮箱:sales@bioss.com.cn
订购QQ:  400-901-9800
技术支持:techsupport@bioss.com.cn
50ul/1180.00元
100ul/1980.00元
200ul/2800.00元
大包装/询价

产品编号 bs-16574R
英文名称 Translin Rabbit pAb
中文名称 TSN蛋白抗体
别    名 BCLF 1; BCLF1; Component 3 of promoter of RISC; RCHF1; recombination hotspot associated factor; recombination hotspot binding protein; rehf 1; REHF1; TBRBP; Translin; TRSLN; TSN; TSN_HUMAN.  
研究领域 细胞生物  信号转导  转录调节因子  表观遗传学  
抗体来源 Rabbit
克隆类型 Polyclonal
克 隆 号
交叉反应 Human,Rat (predicted: Mouse,Rabbit,Pig,Cow)
产品应用 IHC-P=1:100-500,IHC-F=1:100-500,IF=1:100-500
not yet tested in other applications.
optimal dilutions/concentrations should be determined by the end user.
理论分子量 26 kDa
检测分子量
细胞定位 细胞核 细胞浆 
性    状 Liquid
浓    度 1mg/ml
免 疫 原 KLH conjugated synthetic peptide derived from human Translin: 51-150/228 
亚    型 IgG
纯化方法 affinity purified by Protein A
缓 冲 液 0.01M TBS (pH7.4) with 1% BSA, 0.02% Proclin300 and 50% Glycerol.
保存条件 Shipped at 4℃. Store at -20℃ for one year. Avoid repeated freeze/thaw cycles.
注意事项 This product as supplied is intended for research use only, not for use in human, therapeutic or diagnostic applications.
PubMed PubMed
产品介绍 This gene encodes a DNA-binding protein which specifically recognizes conserved target sequences at the breakpoint junction of chromosomal translocations. Translin polypeptides form a multimeric structure that is responsible for its DNA-binding activity. Recombination-associated motifs and translin-binding sites are present at recombination hotspots and may serve as indicators of breakpoints in genes which are fused by translocations. These binding activities may play a crucial role in chromosomal translocation in lymphoid neoplasms. This protein encoded by this gene, when complexed with translin-associated protein X, also forms a Mg ion-dependent endoribonuclease that promotes RNA-induced silencing complex (RISC) activation. Alternative splicing results in multiple transcript variants. [provided by RefSeq, May 2012]

Function:
DNA-binding protein that specifically recognizes consensus sequences at the breakpoint junctions in chromosomal translocations, mostly involving immunoglobulin (Ig)/T-cell receptor gene segments. Seems to recognize single-stranded DNA ends generated by staggered breaks occurring at recombination hot spots.

Subunit:
Ring-shaped heterooctamer of six TSN and two TSNAX subunits, DNA/RNA binding occurs inside the ring.

Subcellular Location:
Cytoplasm. Nucleus

Similarity:
Belongs to the translin family.

SWISS:
Q15631

Gene ID:
7247

Database links:

Entrez Gene: 7247 Human

Entrez Gene: 22099 Mouse

Entrez Gene: 60381 Rat

Omim: 600575 Human

SwissProt: Q15631 Human

SwissProt: Q62348 Mouse

Unigene: 75066 Human

Unigene: 426637 Mouse

Unigene: 435639 Mouse

Unigene: 156195 Rat



产品图片
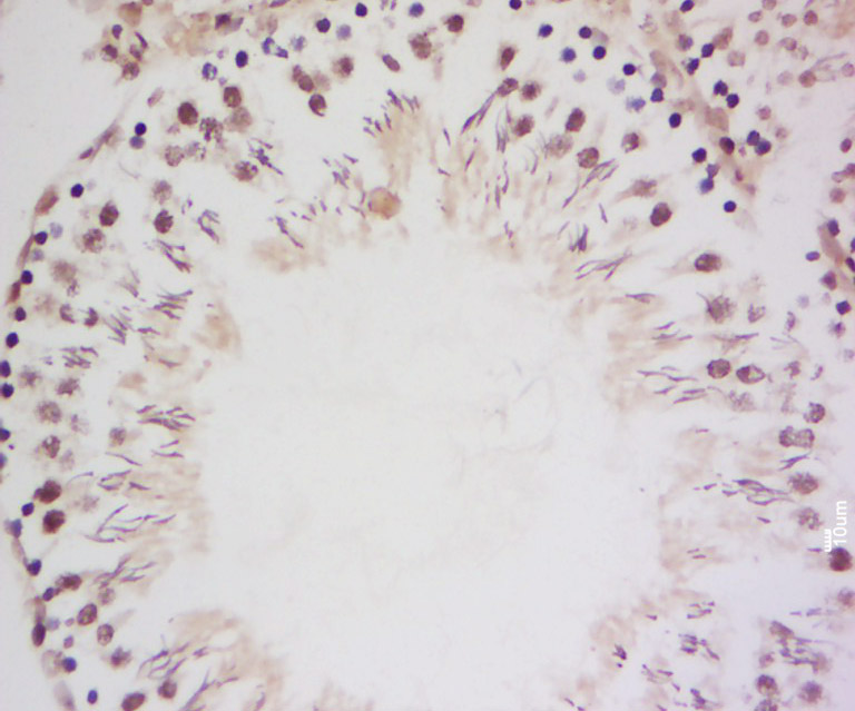
Tissue/cell: Rat testis tissue; 4% Paraformaldehyde-fixed and paraffin-embedded; Antigen retrieval: citrate buffer ( 0.01M, pH 6.0 ), Boiling bathing for 15min; Block endogenous peroxidase by 3% Hydrogen peroxide for 30min; Blocking buffer (normal goat serum,C-0005) at 37℃ for 20 min; Incubation: Anti-Translin Polyclonal Antibody, Unconjugated(bs-16574R) 1:200, overnight at 4°C, followed by conjugation to the secondary antibody(SP-0023) and DAB(C-0010) staining
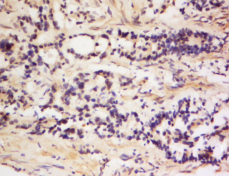
Tissue/cell: Human colon cancer; 4% Paraformaldehyde-fixed and paraffin-embedded; Antigen retrieval: citrate buffer ( 0.01M, pH 6.0 ), Boiling bathing for 15min; Block endogenous peroxidase by 3% Hydrogen peroxide for 30min; Blocking buffer (normal goat serum,C-0005) at 37℃ for 20 min; Incubation: Anti-Translin Polyclonal Antibody, Unconjugated(bs-16574R) 1:200, overnight at 4°C, followed by conjugation to the secondary antibody(SP-0023) and DAB(C-0010) staining
版权所有 2004-2026 www.bioss.com.cn 北京博奥森生物技术有限公司
通过国际质量管理体系ISO 9001:2015 GB/T 19001-2016    证书编号: 00124Q34771R2M/1100
通过国际医疗器械-质量管理体系ISO 13485:2016 GB/T 42061-2022     证书编号: CQC24QY20047R0M/1100
京ICP备05066980号-1         京公网安备110107000727号