扫码关注公众号           扫码咨询技术支持           扫码咨询技术服务
  
客服热线:400-901-9800  客服QQ:4009019800  技术答疑  技术支持  质量反馈  关于我们  联系我们
产品中心-北京博奥森生物技术有限公司
首页 > 产品中心 > 一抗 > 产品信息
TRAF5 Rabbit pAb (bs-16563R)  
订购热线:400-901-9800
订购邮箱:sales@bioss.com.cn
订购QQ:  400-901-9800
技术支持:techsupport@bioss.com.cn
50ul/1180.00元
100ul/1980.00元
200ul/2800.00元
大包装/询价

产品编号 bs-16563R
英文名称 TRAF5 Rabbit pAb
中文名称 肿瘤坏死因子受体相关因子5抗体
别    名 MGC:39780; RNF84; TRAF5_HUMAN; TRAF5; RING finger protein 84;   
研究领域 细胞生物  免疫学  
抗体来源 Rabbit
克隆类型 Polyclonal
克 隆 号
交叉反应 Human,Rat (predicted: Pig,Horse)
产品应用 WB=1:500-2000,IHC-P=1:100-500,IHC-F=1:100-500,IF=1:100-500
not yet tested in other applications.
optimal dilutions/concentrations should be determined by the end user.
理论分子量 64 kDa
细胞定位 细胞浆 
性    状 Liquid
浓    度 1mg/ml
免 疫 原 KLH conjugated synthetic peptide derived from human TRAF5: 101-200/557 
亚    型 IgG
纯化方法 affinity purified by Protein A
缓 冲 液 0.01M TBS (pH7.4) with 1% BSA, 0.02% Proclin300 and 50% Glycerol.
保存条件 Shipped at 4℃. Store at -20℃ for one year. Avoid repeated freeze/thaw cycles.
注意事项 This product as supplied is intended for research use only, not for use in human, therapeutic or diagnostic applications.
PubMed PubMed
产品介绍 The scaffold protein encoded by this gene is a member of the tumor necrosis factor receptor-associated factor (TRAF) protein family and contains a meprin and TRAF homology (MATH) domain, a RING-type zinc finger, and two TRAF-type zinc fingers. TRAF proteins are associated with, and mediate signal transduction from members of the TNF receptor superfamily. This protein is one of the components of a multiple protein complex which binds to tumor necrosis factor (TNF) receptor cytoplasmic domains and mediates TNF-induced activation. Alternate transcriptional splice variants have been characterized. [provided by RefSeq, Jul 2008]

Function:
Adapter protein and signal transducer that links members of the tumor necrosis factor receptor family to different signaling pathways by association with the receptor cytoplasmic domain and kinases. Mediates activation of NF-kappa-B and probably JNK. Seems to be involved in apoptosis.

Subcellular Location:
Cytoplasm.

Tissue Specificity:
Expressed in spleen, thymus, prostate, testis, ovary, small intestine, colon, and peripheral blood.

Similarity:
Belongs to the TNF receptor-associated factor family.
A subfamily.
Contains 1 MATH domain.
Contains 1 RING-type zinc finger.
Contains 2 TRAF-type zinc fingers.

SWISS:
O00463

Gene ID:
7188

Database links:

Entrez Gene: 7188 Human

Entrez Gene: 507234 Cow

Entrez Gene: 480019 Dog

Omim: 602356 Human

SwissProt: O00463 Human

Unigene: 523930 Human



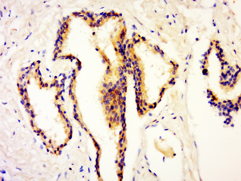
产品图片
Sample: Hela Cell (Human) Lysate at 30 ug Primary: Anti- TRAF5 (bs-16563R) at 1/300 dilution Secondary: IRDye800CW Goat Anti-Rabbit IgG at 1/20000 dilution Predicted band size: 64 kD Observed band size: 64 kD
Paraformaldehyde-fixed, paraffin embedded (rat prostate); Antigen retrieval by boiling in sodium citrate buffer (pH6.0) for 15min; Block endogenous peroxidase by 3% hydrogen peroxide for 20 minutes; Blocking buffer (normal goat serum) at 37°C for 30min; Antibody incubation with (TRAF5) Polyclonal Antibody, Unconjugated (bs-16563R) at 1:5000 overnight at 4°C, followed by a conjugated secondary (sp-0023) for 20 minutes and DAB staining.
版权所有 2004-2026 www.bioss.com.cn 北京博奥森生物技术有限公司
通过国际质量管理体系ISO 9001:2015 GB/T 19001-2016    证书编号: 00124Q34771R2M/1100
通过国际医疗器械-质量管理体系ISO 13485:2016 GB/T 42061-2022     证书编号: CQC24QY20047R0M/1100
京ICP备05066980号-1         京公网安备110107000727号