扫码关注公众号           扫码咨询技术支持           扫码咨询技术服务
  
客服热线:400-901-9800  客服QQ:4009019800  技术答疑  技术支持  质量反馈  人才招聘  关于我们  联系我们
产品中心-北京博奥森生物技术有限公司
首页 > 产品中心 > 一抗 > 产品信息
GTL3 Rabbit pAb (bs-16363R)  
订购热线:400-901-9800
订购邮箱:sales@bioss.com.cn
订购QQ:  400-901-9800
技术支持:techsupport@bioss.com.cn
50ul/1180.00元
100ul/1980.00元
200ul/2800.00元
大包装/询价

产品编号 bs-16363R
英文名称 GTL3 Rabbit pAb
中文名称 转录因子2B抗体
别    名 BUG22; C16orf80; EVORF; GTL3; fSAP23; C11H16ORF80; C18H16orf80; 2600014O15Rik; T10-2A2; CFA20_BOVIN; CFAP20; CFA20_HUMAN; Basal body up-regulated protein 22; Transcription factor IIB; CFA20_MOUSE; Gene trap locus 3 protein; CFA20_RAT; Gene trap locus 3 pr  
研究领域 细胞生物  信号转导  转录调节因子  表观遗传学  
抗体来源 Rabbit
克隆类型 Polyclonal
克 隆 号
交叉反应 Mouse,Rat (predicted: Human,Cow,Horse)
产品应用 IHC-P=1:100-500,IHC-F=1:100-500,IF=1:100-500
not yet tested in other applications.
optimal dilutions/concentrations should be determined by the end user.
理论分子量 23 kDa
细胞定位 细胞核 细胞浆 
性    状 Liquid
浓    度 1mg/ml
免 疫 原 KLH conjugated synthetic peptide derived from human GTL3/transcription factor 2B: 1-100/193 
亚    型 IgG
纯化方法 affinity purified by Protein A
缓 冲 液 0.01M TBS (pH7.4) with 1% BSA, 0.02% Proclin300 and 50% Glycerol.
保存条件 Shipped at 4℃. Store at -20℃ for one year. Avoid repeated freeze/thaw cycles.
注意事项 This product as supplied is intended for research use only, not for use in human, therapeutic or diagnostic applications.
PubMed PubMed
产品介绍 The function of GTL3 has not yet been determined.

Similarity:
Belongs to the UPF0468 family.

SWISS:
Q9Y6A4

Gene ID:
29105

Database links:

Entrez Gene: 29105 Human

Entrez Gene: 415627 Chicken

Entrez Gene: 445424 Cow

Entrez Gene: 14894 Mouse

Entrez Gene: 307642 Rat

SwissProt: Q6B857 Cow

SwissProt: Q9Y6A4 Human

SwissProt: Q8BTU1 Mouse

SwissProt: Q499T7 Rat

Unigene: 532755 Human

Unigene: 6708 Rat



产品图片
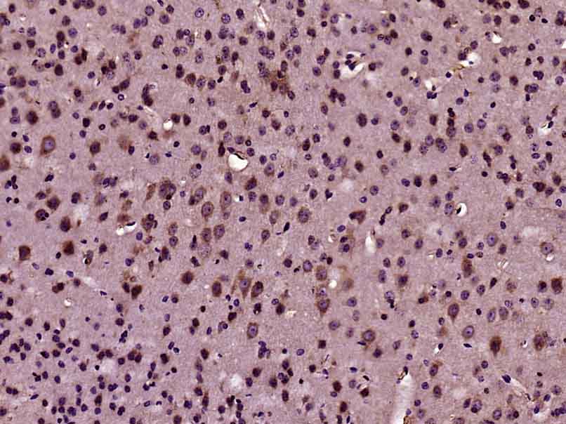
Paraformaldehyde-fixed, paraffin embedded (Rat brain); Antigen retrieval by boiling in sodium citrate buffer (pH6.0) for 15min; Block endogenous peroxidase by 3% hydrogen peroxide for 20 minutes; Blocking buffer (normal goat serum) at 37°C for 30min; Antibody incubation with (GTL3) Polyclonal Antibody, Unconjugated (bs-16363R) at 1:400 overnight at 4°C, followed by operating according to SP Kit(Rabbit) (sp-0023) instructionsand DAB staining.
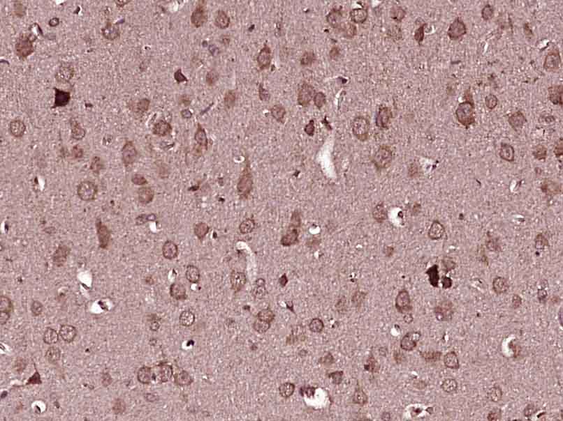
Paraformaldehyde-fixed, paraffin embedded (Mouse brain); Antigen retrieval by boiling in sodium citrate buffer (pH6.0) for 15min; Block endogenous peroxidase by 3% hydrogen peroxide for 20 minutes; Blocking buffer (normal goat serum) at 37°C for 30min; Antibody incubation with (GTL3) Polyclonal Antibody, Unconjugated (bs-16363R) at 1:400 overnight at 4°C, followed by operating according to SP Kit(Rabbit) (sp-0023) instructionsand DAB staining.
版权所有 2004-2026 www.bioss.com.cn 北京博奥森生物技术有限公司
通过国际质量管理体系ISO 9001:2015 GB/T 19001-2016    证书编号: 00124Q34771R2M/1100
通过国际医疗器械-质量管理体系ISO 13485:2016 GB/T 42061-2022     证书编号: CQC24QY20047R0M/1100
京ICP备05066980号-1         京公网安备110107000727号