扫码关注公众号           扫码咨询技术支持           扫码咨询技术服务
  
客服热线:400-901-9800  客服QQ:4009019800  技术答疑  技术支持  质量反馈  关于我们  联系我们
产品中心-北京博奥森生物技术有限公司
首页 > 产品中心 > 一抗 > 产品信息
GTF3C4 Rabbit pAb (bs-16360R)  
订购热线:400-901-9800
订购邮箱:sales@bioss.com.cn
订购QQ:  400-901-9800
技术支持:techsupport@bioss.com.cn
50ul/1180.00元
100ul/1980.00元
200ul/2800.00元
大包装/询价

产品编号 bs-16360R
英文名称 GTF3C4 Rabbit pAb
中文名称 通用转录因子3C多肽4/TFIIIC90抗体
别    名 EC 2.3.1.48; FLJ21002; General transcription factor 3C 4; General transcription factor 3C polypeptide 4; General transcription factor IIIC, polypeptide 4, 90kDa; GTF3C4; KAT12; MGC138450; OTTHUMP00000022434; TF3C delta; TF3C-delta; TF3C4_HUMAN; TFIII90; TFIIIC 90 kDa subunit; TFiiiC2 90; TFIIIC290; TFIIIC90; TFIIICdelta; Transcription factor IIIC 90 kDa subunit; Transcription factor IIIC subunit delta.  
研究领域 细胞生物  转录调节因子  表观遗传学  
抗体来源 Rabbit
克隆类型 Polyclonal
克 隆 号
交叉反应 Mouse (predicted: Human,Rat,Rabbit,Dog,Horse)
产品应用 WB=1:500-2000,IHC-P=1:100-500,IHC-F=1:100-500,IF=1:100-500
not yet tested in other applications.
optimal dilutions/concentrations should be determined by the end user.
理论分子量 92 kDa
检测分子量
细胞定位 细胞核 
性    状 Liquid
浓    度 1mg/ml
免 疫 原 KLH conjugated synthetic peptide derived from human GTF3C4: 151-250/822 
亚    型 IgG
纯化方法 affinity purified by Protein A
缓 冲 液 0.01M TBS (pH7.4) with 1% BSA, 0.02% Proclin300 and 50% Glycerol.
保存条件 Shipped at 4℃. Store at -20℃ for one year. Avoid repeated freeze/thaw cycles.
注意事项 This product as supplied is intended for research use only, not for use in human, therapeutic or diagnostic applications.
PubMed PubMed
产品介绍 RNA polymerase (pol) III synthesizes tRNA, 5s rRNA, 7SL RNA and U6 snRNA and is overexpressed in many transformed cell lines and tumors in vivo, since cells must duplicate its protein components before division. Therefore, in order to maintain rapid growth, cells must produce a high level of Pol III transcribed RNA, which requires the presence of the TFIIIB and TFIIIC2 transcription factor complexes. The TFIIIC2 complex is composed of five subunits, TFIIIC220, TFIIIC110, TFIIIC102, TFIIIC90 and TFIIIC63, that are overexpressed in adenovirus transformed cells as well as in malignant cells in vivo, such as ovarian carcinomas. TFIIIC2 recruits RNA pol III and TFIIIB to promoter elements and may be a key component in the deregulation of malignant cells. The TFIIIB complex includes the TATA-binding protein (TBP), TFIIB-related factor 1 (BRF1) and TFIIIB’’, the expression of which are also upregulated in transformed cells. In many carcinomas, the tumor suppressors retinoblastoma (RB) and p53 are inactivated, which affects their ability to bind and inactivate the function of TFIIIB.

Function:
Essential for RNA polymerase III to make a number of small nuclear and cytoplasmic RNAs, including 5S RNA, tRNA, and adenovirus-associated (VA) RNA of both cellular and viral origin. Has histone acetyltransferase activity (HAT) with unique specificity for free and nucleosomal H3. May cooperate with GTF3C5 in facilitating the recruitment of TFIIIB and RNA polymerase through direct interactions with BRF1, POLR3C and POLR3F. May be localized close to the A box.

Subcellular Location:
Nucleus.

Similarity:
Belongs to the TFIIIC subunit 4 family.

SWISS:
Q9UKN8

Gene ID:
9329

Database links:

Entrez Gene: 9329 Human

Entrez Gene: 269252 Mouse

Entrez Gene: 685539 Rat

Omim: 604892 Human

SwissProt: Q9UKN8 Human

SwissProt: Q8BMQ2 Mouse

Unigene: 656646 Human

Unigene: 26043 Mouse



产品图片
Sample: NIH/3T3 Cell (Mouse) Lysate at 40 ug Primary: Anti-GTF3C4 (bs-16360R) at 1/300 dilution Secondary: IRDye800CW Goat Anti-Rabbit IgG at 1/20000 dilution Predicted band size: 92 kD Observed band size: 92 kD
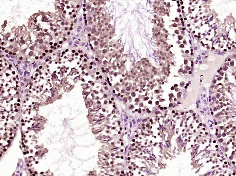
Paraformaldehyde-fixed, paraffin embedded (Mouse testis); Antigen retrieval by boiling in sodium citrate buffer (pH6.0) for 15min; Block endogenous peroxidase by 3% hydrogen peroxide for 20 minutes; Blocking buffer (normal goat serum) at 37°C for 30min; Antibody incubation with (GTF3C4) Polyclonal Antibody, Unconjugated (bs-16360R) at 1:400 overnight at 4°C, followed by operating according to SP Kit(Rabbit) (sp-0023) instructionsand DAB staining.
版权所有 2004-2026 www.bioss.com.cn 北京博奥森生物技术有限公司
通过国际质量管理体系ISO 9001:2015 GB/T 19001-2016    证书编号: 00124Q34771R2M/1100
通过国际医疗器械-质量管理体系ISO 13485:2016 GB/T 42061-2022     证书编号: CQC24QY20047R0M/1100
京ICP备05066980号-1         京公网安备110107000727号