扫码关注公众号           扫码咨询技术支持           扫码咨询技术服务
  
客服热线:400-901-9800  客服QQ:4009019800  技术答疑  技术支持  质量反馈  关于我们  联系我们
产品中心-北京博奥森生物技术有限公司
首页 > 产品中心 > 一抗 > 产品信息
GTF2IRD2 Rabbit pAb (bs-16355R)  
订购热线:400-901-9800
订购邮箱:sales@bioss.com.cn
订购QQ:  400-901-9800
技术支持:techsupport@bioss.com.cn
50ul/1180.00元
100ul/1980.00元
200ul/2800.00元
大包装/询价

产品编号 bs-16355R
英文名称 GTF2IRD2 Rabbit pAb
中文名称 通用转录因子II重复结构域α2蛋白抗体
别    名 FLJ21423; FLJ37938; FP630; general transcription factor II i repeat domain 2 alpha; general transcription factor II I repeat domain-containing protein 2A; GTF2I repeat domain containing 2; GTF2I repeat domain containing protein 2A; GTF2IRD2 alpha; GTF2IRD2A; GTD2A_HUMAN; MGC75203; Transcription factor GTF2IRD2 alpha; transcription factor GTF2IRD2.  
研究领域 细胞生物  转录调节因子  表观遗传学  
抗体来源 Rabbit
克隆类型 Polyclonal
克 隆 号
交叉反应 Mouse (predicted: Human,Rat,Pig,Cow,Dog,Horse)
产品应用 IHC-P=1:100-500,IHC-F=1:100-500,IF=1:100-500
not yet tested in other applications.
optimal dilutions/concentrations should be determined by the end user.
理论分子量 107 kDa
检测分子量
细胞定位 细胞核 
性    状 Liquid
浓    度 1mg/ml
免 疫 原 KLH conjugated synthetic peptide derived from human GTF2IRD2: 1-100/949 
亚    型 IgG
纯化方法 affinity purified by Protein A
缓 冲 液 0.01M TBS (pH7.4) with 1% BSA, 0.02% Proclin300 and 50% Glycerol.
保存条件 Shipped at 4℃. Store at -20℃ for one year. Avoid repeated freeze/thaw cycles.
注意事项 This product as supplied is intended for research use only, not for use in human, therapeutic or diagnostic applications.
PubMed PubMed
产品介绍 This gene is one of several closely related genes on chromosome 7 encoding proteins containing helix-loop-helix motifs. These proteins may function as regulators of transcription. The encoded protein is unique in that its C-terminus is derived from CHARLIE8 transposable element sequence. This gene is located in a region of chromosome 7 that is deleted in Williams-Beuren syndrome, and loss of this locus may contribute to the cognitive phenotypes observed in this disease. Alternative splicing results in multiple transcript variants. [provided by RefSeq, Jul 2013]

Function:
GTF2IRD2 N-terminal half contains a leucine zipper motif, followed by 2 helix-loop-helix motifs (I repeats) that share homology with the TFII-I family of transcription factors. The C-terminal half of GTF2IRD2A contains a CHARLIE8 transposable element-like sequence, including 3 transposase-related domains that may be functional, and a BED zinc finger DNA-binding motif. It is inferred to be a transcription factor based on the presence of GTF2I-like repeats (containing helix-loop-helix motifs), also found in other proteins such as GTF2IRD1 and GTF2I. GTF2IRD2 is located in the Williams-Beuren syndrome (WBS) critical region. WBS results from a hemizygous deletion of several genes on chromosome 7q11.23, thought to arise as a consequence of unequal crossing over between highly homologous low-copy repeat sequences flanking the deleted region. There are six different isoforms, generated by alternative splicing.

Subcellular Location:
Nuclear

Tissue Specificity:
Ubiquitous.

DISEASE:
Note=GTF2IRD2 is located in the Williams-Beuren syndrome (WBS) critical region. WBS results from a hemizygous deletion of several genes on chromosome 7q11.23, thought to arise as a consequence of unequal crossing over between highly homologous low-copy repeat sequences flanking the deleted region.

Similarity:
Belongs to the TFII-I family.
Contains 2 GTF2I-like repeats.

SWISS:
Q86UP8

Gene ID:
84163

Database links:

Entrez Gene: 84163 Human

Omim: 608899 Human

SwissProt: Q86UP8 Human

Unigene: 647017 Human

Unigene: 647039 Human



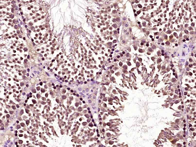
产品图片
Paraformaldehyde-fixed, paraffin embedded (Mouse testis); Antigen retrieval by boiling in sodium citrate buffer (pH6.0) for 15min; Block endogenous peroxidase by 3% hydrogen peroxide for 20 minutes; Blocking buffer (normal goat serum) at 37°C for 30min; Antibody incubation with (GTF2IRD2) Polyclonal Antibody, Unconjugated (bs-16355R) at 1:400 overnight at 4°C, followed by operating according to SP Kit(Rabbit) (sp-0023) instructionsand DAB staining.
版权所有 2004-2026 www.bioss.com.cn 北京博奥森生物技术有限公司
通过国际质量管理体系ISO 9001:2015 GB/T 19001-2016    证书编号: 00124Q34771R2M/1100
通过国际医疗器械-质量管理体系ISO 13485:2016 GB/T 42061-2022     证书编号: CQC24QY20047R0M/1100
京ICP备05066980号-1         京公网安备110107000727号