扫码关注公众号           扫码咨询技术支持           扫码咨询技术服务
  
客服热线:400-901-9800  客服QQ:4009019800  技术答疑  技术支持  质量反馈  关于我们  联系我们
产品中心-北京博奥森生物技术有限公司
首页 > 产品中心 > 一抗 > 产品信息
GSDMA Rabbit pAb (bs-16331R)  
订购热线:400-901-9800
订购邮箱:sales@bioss.com.cn
订购QQ:  400-901-9800
技术支持:techsupport@bioss.com.cn
50ul/1180.00元
100ul/1980.00元
200ul/2800.00元
大包装/询价

产品编号 bs-16331R
英文名称 GSDMA Rabbit pAb
中文名称 gasdermin蛋白抗体
别    名 FKSG9; GSDM; GSDM1; Gsdma1; H312E; GSDMA_HUMAN; GSDMA; Gasdermin-1; GSDMA_MOUSE; Gasdermin-A1;   
Specific References  (2)     |     bs-16331R has been referenced in 2 publications.
[IF=3.683] Shi, Chenxi. et al. Dihydromyricetin alleviates Escherichia coli lipopolysaccharide-induced hepatic injury in chickens by inhibiting the NLRP3 inflammasome. Vet Res. 2022 Dec;53(1):1-16  WB ;  Chicken.  
[IF=3.352] Dongming Guo. et al. Hyperactivation of TRPV4 causes the hippocampal pyroptosis pathway and results in cognitive impairment in LPS-treated mice. BEHAV BRAIN RES. 2023 Feb;439:114223  WB ;  Mouse.  
研究领域 肿瘤  细胞生物  细胞凋亡  
抗体来源 Rabbit
克隆类型 Polyclonal
克 隆 号
交叉反应 Mouse,Rat (predicted: Human,Cow,Dog,Horse)
产品应用 IHC-P=1:100-500,IHC-F=1:100-500,IF=1:100-500
not yet tested in other applications.
optimal dilutions/concentrations should be determined by the end user.
理论分子量 49 kDa
细胞定位 细胞浆 
性    状 Liquid
浓    度 1mg/ml
免 疫 原 KLH conjugated synthetic peptide derived from human GSDMA: 21-120/445 
亚    型 IgG
纯化方法 affinity purified by Protein A
缓 冲 液 0.01M TBS (pH7.4) with 1% BSA, 0.02% Proclin300 and 50% Glycerol.
保存条件 Shipped at 4℃. Store at -20℃ for one year. Avoid repeated freeze/thaw cycles.
注意事项 This product as supplied is intended for research use only, not for use in human, therapeutic or diagnostic applications.
PubMed PubMed
产品介绍 Gasdermin is a 445 amino acid protein that localizes to the perinuclear region of the cytoplasm and belongs to the gasdermin family. Expressed predominately in tissues of the gastrointestinal tract and also present in skin and mammary gland, gasdermin functions to induce apoptosis and is thought to possess tumor suppression activity, specifically in gastric cancer cells. The gene encoding gasdermin maps to human chromosome 17, which comprises over 2.5% of the human genome and encodes over 1,200 genes. Two key tumor suppressor genes are associated with chromosome 17, namely, p53 and BRCA1. Tumor suppressor p53 is necessary for maintenance of cellular genetic integrity by moderating cell fate through DNA repair versus cell death. Malfunction or loss of p53 expression is associated with malignant cell growth and Li-Fraumeni syndrome. Like p53, BRCA1 is directly involved in DNA repair, though specifically it is recognized as a genetic determinant of early onset breast cancer and predisposition to cancers of the ovary, colon, prostate gland and fallopian tubes.

Function:
GSDMA induces apoptosis.

Subcellular Location:
Cytoplasm, perinuclear region

Tissue Specificity:
Expressed predominantly in the gastrointestinal tract and in the skin at a lower level. Also detected in mammary gland. Detected in mucus-secreting pit cells of the gastric epithelium. Not expressed in gastric cancer cells.

Similarity:
Belongs to the gasdermin family.

SWISS:
Q96QA5

Gene ID:
284110

Database links:

Entrez Gene: 284110 Human

Entrez Gene: 57911 Mouse

Omim: 611218 Human

SwissProt: Q96QA5 Human

SwissProt: Q9EST1 Mouse



产品图片
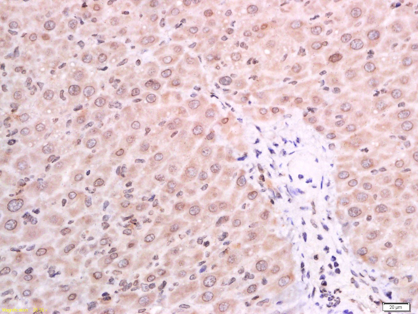
Tissue/cell: mouse liver tissue; 4% Paraformaldehyde-fixed and paraffin-embedded; Antigen retrieval: citrate buffer ( 0.01M, pH 6.0 ), Boiling bathing for 15min; Block endogenous peroxidase by 3% Hydrogen peroxide for 30min; Blocking buffer (normal goat serum,C-0005) at 37℃ for 20 min; Incubation: Anti-GSDMA Polyclonal Antibody, Unconjugated(bs-16331R) 1:200, overnight at 4°C, followed by conjugation to the secondary antibody(SP-0023) and DAB(C-0010) staining
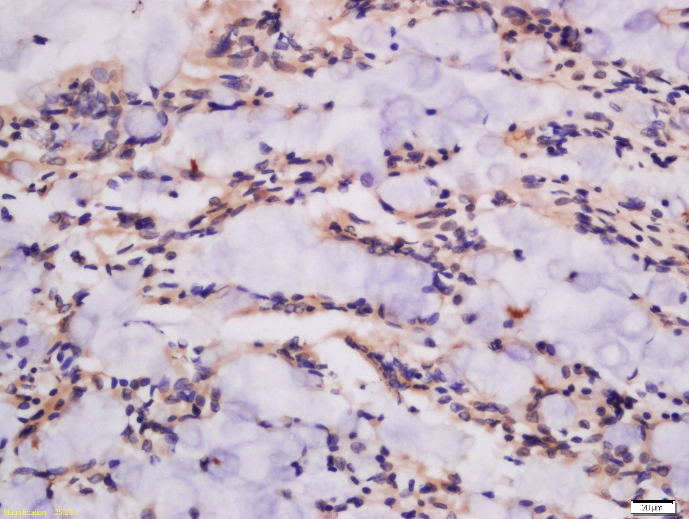
Tissue/cell: rat rectum tissue; 4% Paraformaldehyde-fixed and paraffin-embedded; Antigen retrieval: citrate buffer ( 0.01M, pH 6.0 ), Boiling bathing for 15min; Block endogenous peroxidase by 3% Hydrogen peroxide for 30min; Blocking buffer (normal goat serum,C-0005) at 37℃ for 20 min; Incubation: Anti-GSDMA Polyclonal Antibody, Unconjugated(bs-16331R) 1:200, overnight at 4°C, followed by conjugation to the secondary antibody(SP-0023) and DAB(C-0010) staining
版权所有 2004-2026 www.bioss.com.cn 北京博奥森生物技术有限公司
通过国际质量管理体系ISO 9001:2015 GB/T 19001-2016    证书编号: 00124Q34771R2M/1100
通过国际医疗器械-质量管理体系ISO 13485:2016 GB/T 42061-2022     证书编号: CQC24QY20047R0M/1100
京ICP备05066980号-1         京公网安备110107000727号