扫码关注公众号           扫码咨询技术支持           扫码咨询技术服务
  
客服热线:400-901-9800  客服QQ:4009019800  技术答疑  技术支持  质量反馈  关于我们  联系我们
产品中心-北京博奥森生物技术有限公司
首页 > 产品中心 > 一抗 > 产品信息
GAL3ST4 Rabbit pAb (bs-16215R)  
订购热线:400-901-9800
订购邮箱:sales@bioss.com.cn
订购QQ:  400-901-9800
技术支持:techsupport@bioss.com.cn
50ul/1180.00元
100ul/1980.00元
200ul/2800.00元
大包装/询价

产品编号 bs-16215R
英文名称 GAL3ST4 Rabbit pAb
中文名称 GAL3ST4蛋白抗体
别    名 GAL3ST-4; G3ST4_HUMAN; GAL3ST4; Beta-galactose-3-O-sulfotransferase 4; Gal-beta-1,3-GalNAc 3'-sulfotransferase; 2.8.2.-;   
研究领域 细胞生物  免疫学  
抗体来源 Rabbit
克隆类型 Polyclonal
克 隆 号
交叉反应 Mouse,Rat (predicted: Human,Pig,Sheep,Cow,Dog,Horse)
产品应用 WB=1:500-2000,IHC-P=1:100-500,IHC-F=1:100-500,IF=1:100-500
not yet tested in other applications.
optimal dilutions/concentrations should be determined by the end user.
理论分子量 54 kDa
细胞定位 细胞浆 
性    状 Liquid
浓    度 1mg/ml
免 疫 原 KLH conjugated synthetic peptide derived from human GAL3ST4: 401-486/486 
亚    型 IgG
纯化方法 affinity purified by Protein A
缓 冲 液 0.01M TBS (pH7.4) with 1% BSA, 0.02% Proclin300 and 50% Glycerol.
保存条件 Shipped at 4℃. Store at -20℃ for one year. Avoid repeated freeze/thaw cycles.
注意事项 This product as supplied is intended for research use only, not for use in human, therapeutic or diagnostic applications.
PubMed PubMed
产品介绍 This gene encodes a member of the galactose-3-O-sulfotransferase protein family. The product of this gene catalyzes sulfonation by transferring a sulfate to the C-3' position of galactose residues in O-linked glycoproteins. This enzyme is highly specific for core 1 structures, with asialofetuin, Gal-beta-1,3-GalNAc and Gal-beta-1,3 (GlcNAc-beta-1,6)GalNAc being good substrates. [provided by RefSeq, Jul 2008]

Function:
Catalyzes the transfer of sulfate to beta-1,3-linked galactose residues in O-linked glycoproteins. Good substrates include asialofetuin, Gal-beta-1,3-GalNAc and Gal-beta-1,3 (GlcNAc-beta-1,6)GalNAc.

Subcellular Location:
Golgi apparatus; Golgi stack membrane.

Tissue Specificity:
Expressed mainly in placenta, thymus, testis, ovary, spinal cord, trachea and adrenal gland and at low levels in brain, lung, spleen, prostate, small intestine, colon, stomach thyroid and lymph node.

Similarity:
Belongs to the galactose-3-O-sulfotransferase family.

SWISS:
Q96RP7

Gene ID:
79690

Database links:

Entrez Gene: 79690 Human

Omim: 608235 Human

SwissProt: Q96RP7 Human

Unigene: 44856 Human



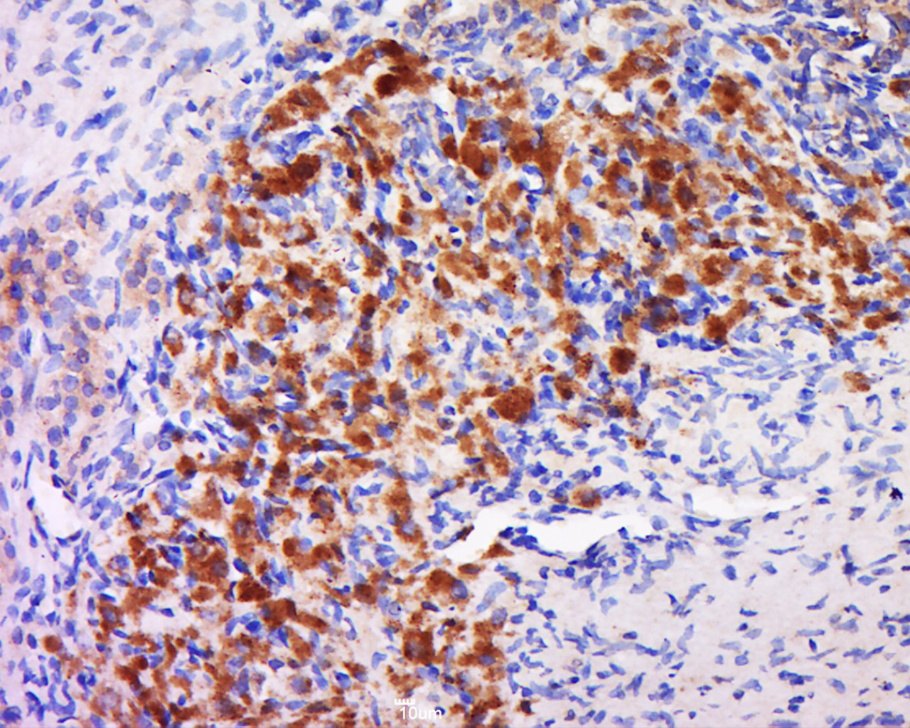
产品图片
Sample: placenta (mouse) Lysate at 40 ug Primary: Anti-GAL3ST4(bs-16215R) at 1/300 dilution Secondary: IRDye800CW Goat Anti-Rabbit IgG at 1/20000 dilution Predicted band size: 54 kD Observed band size: 54 kD
Sample: pancreas (mouse) Lysate at 40 ug Primary: Anti-GAL3ST4(bs-16215R) at 1/300 dilution Secondary: IRDye800CW Goat Anti-Rabbit IgG at 1/20000 dilution Predicted band size: 54 kD Observed band size: 54 kD
Tissue/cell: Rat ovary tissue; 4% Paraformaldehyde-fixed and paraffin-embedded; Antigen retrieval: citrate buffer ( 0.01M, pH 6.0 ), Boiling bathing for 15min; Block endogenous peroxidase by 3% Hydrogen peroxide for 30min; Blocking buffer (normal goat serum,C-0005) at 37← for 20 min; Incubation: Anti-GAL3ST4 Polyclonal Antibody, Unconjugated(bs-16215R) 1:500, overnight at 4⒉C, followed by conjugation to the secondary antibody(SP-0023) and DAB(C-0010) staining
版权所有 2004-2026 www.bioss.com.cn 北京博奥森生物技术有限公司
通过国际质量管理体系ISO 9001:2015 GB/T 19001-2016    证书编号: 00124Q34771R2M/1100
通过国际医疗器械-质量管理体系ISO 13485:2016 GB/T 42061-2022     证书编号: CQC24QY20047R0M/1100
京ICP备05066980号-1         京公网安备110107000727号