扫码关注公众号           扫码咨询技术支持           扫码咨询技术服务
  
客服热线:400-901-9800  客服QQ:4009019800  技术答疑  技术支持  质量反馈  人才招聘  关于我们  联系我们
产品中心-北京博奥森生物技术有限公司
首页 > 产品中心 > 一抗 > 产品信息
FUT10 Rabbit pAb (bs-16197R)  
订购热线:400-901-9800
订购邮箱:sales@bioss.com.cn
订购QQ:  400-901-9800
技术支持:techsupport@bioss.com.cn
50ul/1180.00元
100ul/1980.00元
200ul/2800.00元
大包装/询价

产品编号 bs-16197R
英文名称 FUT10 Rabbit pAb
中文名称 FUT10蛋白抗体
别    名 FUCTX; FUT10; CR201_G0005337; OFUT3_HUMAN; Alpha-(1,3)-fucosyltransferase 10; Fucosyltransferase X (Fuc-TX | FucT-X); Galactoside 3-L-fucosyltransferase 10 (Fucosyltransferase 10); 2.4.1.221; POFUT3;   
研究领域 细胞生物  信号转导  
抗体来源 Rabbit
克隆类型 Polyclonal
克 隆 号
交叉反应 Human,Mouse,Rat (predicted: Sheep,Dog,Chimpanzee)
产品应用 WB=1:500-2000,IHC-P=1:100-500,IHC-F=1:100-500,IF=1:100-500
not yet tested in other applications.
optimal dilutions/concentrations should be determined by the end user.
理论分子量 56 kDa
细胞定位 细胞浆 
性    状 Liquid
浓    度 1mg/ml
免 疫 原 KLH conjugated synthetic peptide derived from human FUT10: 381-479/479 
亚    型 IgG
纯化方法 affinity purified by Protein A
缓 冲 液 0.01M TBS (pH7.4) with 1% BSA, 0.02% Proclin300 and 50% Glycerol.
保存条件 Shipped at 4℃. Store at -20℃ for one year. Avoid repeated freeze/thaw cycles.
注意事项 This product as supplied is intended for research use only, not for use in human, therapeutic or diagnostic applications.
PubMed PubMed
产品介绍 Glycosyltransferases that mediate the regio- and stereoselective transfer of sugars, such as the fucosyltransferases, determine cell surface-carbohydrate profiles, which is an essential interface for biological recognition processes. Fucosyltransferases catalyze the covalent association of fucose to different positional linkages in sugar acceptor molecules. Hematopoietic lineages rely on Fucosyltransferases to confer a surface carbohydrate phenotype, which mediates proper cell adhesion, molecule recruitment and cell trafficking. Localized to the Golgi apparatus as a single-pass transmembrane protein, FucT-X, also designated ?(1,3)-fucosyltransferase 10 or FUT10, is a 479 amino acid protein that is involved in protein modification and glycosylation. There are seven isoforms of FucT-X that are produced as a result of alternative splicing events.

Function:
Probable fucosyltransferase.

Subcellular Location:
Golgi apparatus; Golgi stack membrane.

Similarity:
Belongs to the glycosyltransferase 10 family.

SWISS:
Q6P4F1

Gene ID:
84750

Database links:

Entrez Gene: 84750 Human

Entrez Gene: 100444252 Orangutan

Entrez Gene: 697659 Rhesus monkey

SwissProt: Q6P4F1 Human

Unigene: 458713 Human



产品图片
Sample: PC-3 (human)cell Lysate at 40 ug Primary: Anti- FUT10 (bs-16197R) at 1/300 dilution Secondary: IRDye800CW Goat Anti-Rabbit IgG at 1/20000 dilution Predicted band size: 56 kD Observed band size: 56 kD
Sample: Cerebrum (Mouse) Lysate at 40 ug Primary: Anti-FUT10 (bs-16197R) at 1/1000 dilution Secondary: IRDye800CW Goat Anti-Rabbit IgG at 1/20000 dilution Predicted band size: 56 kD Observed band size: 56 kD
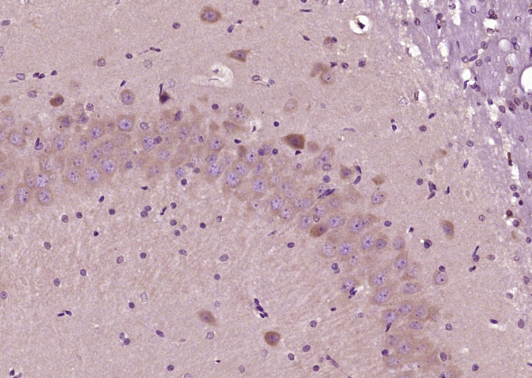
Paraformaldehyde-fixed, paraffin embedded (Rat brain); Antigen retrieval by boiling in sodium citrate buffer (pH6.0) for 15min; Block endogenous peroxidase by 3% hydrogen peroxide for 20 minutes; Blocking buffer (normal goat serum) at 37°C for 30min; Antibody incubation with (FUT10) Polyclonal Antibody, Unconjugated (bs-16197R) at 1:400 overnight at 4°C, followed by operating according to SP Kit(Rabbit) (sp-0023) instructionsand DAB staining.
版权所有 2004-2026 www.bioss.com.cn 北京博奥森生物技术有限公司
通过国际质量管理体系ISO 9001:2015 GB/T 19001-2016    证书编号: 00124Q34771R2M/1100
通过国际医疗器械-质量管理体系ISO 13485:2016 GB/T 42061-2022     证书编号: CQC24QY20047R0M/1100
京ICP备05066980号-1         京公网安备110107000727号