扫码关注公众号           扫码咨询技术支持           扫码咨询技术服务
  
客服热线:400-901-9800  客服QQ:4009019800  技术答疑  技术支持  质量反馈  人才招聘  关于我们  联系我们
产品中心-北京博奥森生物技术有限公司
首页 > 产品中心 > 一抗 > 产品信息
FKBP1B Rabbit pAb (bs-16093R)  
订购热线:400-901-9800
订购邮箱:sales@bioss.com.cn
订购QQ:  400-901-9800
技术支持:techsupport@bioss.com.cn
50ul/1180.00元
100ul/1980.00元
200ul/2800.00元
大包装/询价

产品编号 bs-16093R
英文名称 FKBP1B Rabbit pAb
中文名称 FKBP1B/FKBP9蛋白抗体
别    名 FKBP12.6; FKBP1L; OTK4; PKBP1L; PPIase; 12.6kDa; calstabin2; FKB1B_HUMAN; FKBP1B; PPIase FKBP1B; 12.6 kDa FK506-binding protein (12.6 kDa FKBP | FKBP-12.6); FK506-binding protein 1B (FKBP-1B); Immunophilin FKBP12.6; Rotamase; h-FKBP-12; 5.2.1.8; FKBP9; FKB1B_MOUSE; FKBP prolyl isomerase 1B; FK506-binding protein 1B (12.6 kD); FK506 binding protein 1B, 12.6 kDa; FK506 binding protein 1B; calstabin 2  
Specific References  (1)     |     bs-16093R has been referenced in 1 publications.
[IF=1.785] Youyang Wu. et al. Tetrandrine attenuates left ventricular dysfunction in rats with myocardial infarction. Exp Ther Med. 2021 Feb;21(2):1-1  WB ;  Rat.  
研究领域 细胞生物  免疫学  神经生物学  
抗体来源 Rabbit
克隆类型 Polyclonal
交叉反应 Mouse,Rat (predicted: Human,Cow)
产品应用 IHC-P=1:100-500,IHC-F=1:100-500,IF=1:100-500
not yet tested in other applications.
optimal dilutions/concentrations should be determined by the end user.
理论分子量 12kDa
细胞定位 细胞浆 
性    状 Liquid
浓    度 1mg/ml
免 疫 原 KLH conjugated synthetic peptide derived from human FKBP1B: 21-100/108 
亚    型
纯化方法 affinity purified by Protein A
缓 冲 液 0.01M TBS (pH7.4) with 1% BSA, 0.02% Proclin300 and 50% Glycerol.
保存条件 Shipped at 4℃. Store at -20℃ for one year. Avoid repeated freeze/thaw cycles.
注意事项 This product as supplied is intended for research use only, not for use in human, therapeutic or diagnostic applications.
PubMed PubMed
产品介绍 The protein encoded by this gene is a member of the immunophilin protein family, which play a role in immunoregulation and basic cellular processes involving protein folding and trafficking. This encoded protein is a cis-trans prolyl isomerase that binds the immunosuppressants FK506 and rapamycin. It is highly similar to the FK506-binding protein 1A. Its physiological role is thought to be in excitation-contraction coupling in cardiac muscle. There are two alternatively spliced transcript variants of this gene encoding different isoforms. [provided by RefSeq, Jul 2008]

Function:
Associates with the ryanodine receptor (RYR-2) in cardiac muscle sarcoplasmic reticulum and may play a unique physiological role in excitation-contraction coupling in cardiac muscle. There are four molecules of FKBP12.6 per heart muscle RYR. Has the potential to contribute to the immunosuppressive and toxic effects of FK506 and rapamycin. PPIases accelerate the folding of proteins. It catalyzes the cis-trans isomerization of proline imidic peptide bonds in oligopeptides.

Subcellular Location:
Cytoplasm.

Tissue Specificity:
Isoform 1 and isoform 2 are Ubiquitous with highest levels in brain and thymus.

Similarity:
Belongs to the FKBP-type PPIase family. FKBP1 subfamily.
Contains 1 PPIase FKBP-type domain.

SWISS:
P68106

Gene ID:
2281

Database links:

Entrez Gene: 2281 Human

Entrez Gene: 14226 Mouse

Omim: 600620 Human

SwissProt: P68106 Human

SwissProt: Q9Z2I2 Mouse

Unigene: 407482 Human

Unigene: 709461 Human

Unigene: 20453 Mouse



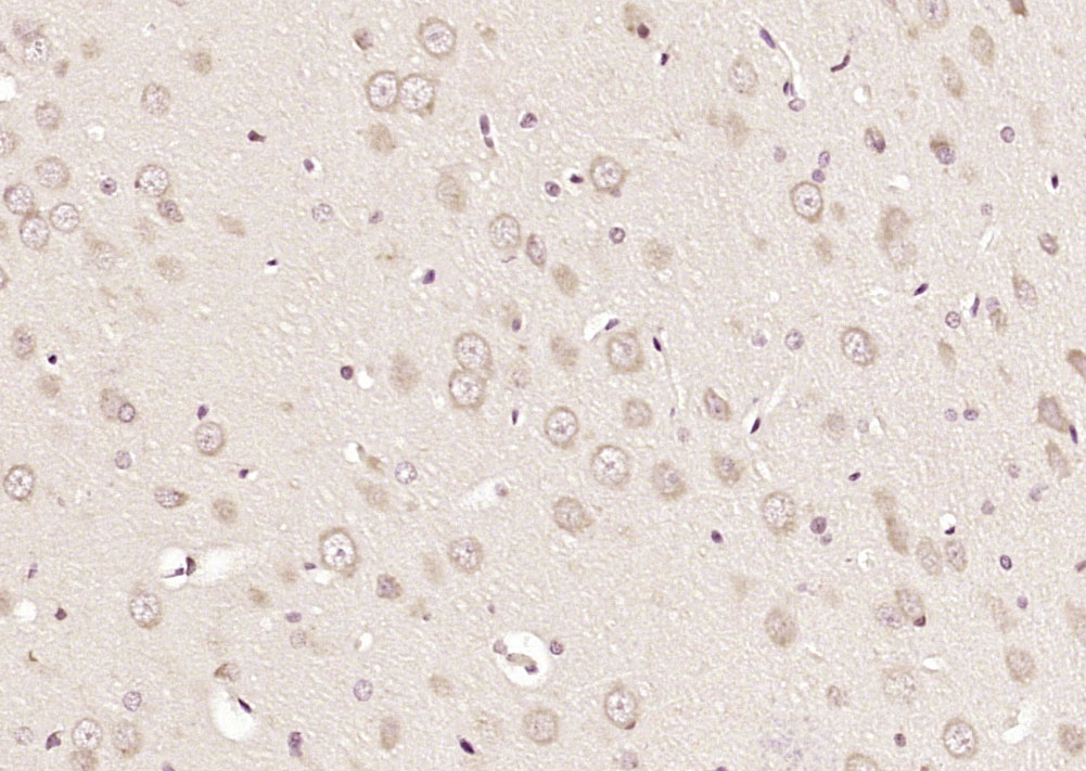
产品图片
Paraformaldehyde-fixed, paraffin embedded (rat brain); Antigen retrieval by boiling in sodium citrate buffer (pH6.0) for 15min; Block endogenous peroxidase by 3% hydrogen peroxide for 20 minutes; Blocking buffer (normal goat serum) at 37°C for 30min; Antibody incubation with (FKBP1B) Polyclonal Antibody, Unconjugated (bs-16093R) at 1:200 overnight at 4°C, followed by operating according to SP Kit(Rabbit) (sp-0023) instructionsand DAB staining.
Paraformaldehyde-fixed, paraffin embedded (mouse cerebellum); Antigen retrieval by boiling in sodium citrate buffer (pH6.0) for 15min; Block endogenous peroxidase by 3% hydrogen peroxide for 20 minutes; Blocking buffer (normal goat serum) at 37°C for 30min; Antibody incubation with (FKBP1B) Polyclonal Antibody, Unconjugated (bs-16093R) at 1:200 overnight at 4°C, followed by operating according to SP Kit(Rabbit) (sp-0023) instructionsand DAB staining.
版权所有 2004-2026 www.bioss.com.cn 北京博奥森生物技术有限公司
通过国际质量管理体系ISO 9001:2015 GB/T 19001-2016    证书编号: 00124Q34771R2M/1100
通过国际医疗器械-质量管理体系ISO 13485:2016 GB/T 42061-2022     证书编号: CQC24QY20047R0M/1100
京ICP备05066980号-1         京公网安备110107000727号