扫码关注公众号           扫码咨询技术支持           扫码咨询技术服务
  
客服热线:400-901-9800  客服QQ:4009019800  技术答疑  技术支持  质量反馈  关于我们  联系我们
产品中心-北京博奥森生物技术有限公司
首页 > 产品中心 > 一抗 > 产品信息
FAM83H Rabbit pAb (bs-16018R)  
订购热线:400-901-9800
订购邮箱:sales@bioss.com.cn
订购QQ:  400-901-9800
技术支持:techsupport@bioss.com.cn
50ul/1180.00元
100ul/1980.00元
200ul/2800.00元
大包装/询价

产品编号 bs-16018R
英文名称 FAM83H Rabbit pAb
中文名称 FAM83H蛋白抗体
别    名 AI3; AI3A; FA83H_HUMAN; FAM83H;   
Specific References  (1)     |     bs-16018R has been referenced in 1 publications.
[IF=3.989] Shaochong Lin. et al. Identification of Prognostic Biomarkers Among FAM83 Family Genes in Human Ovarian Cancer Through Bioinformatic Analysis and Experimental Verification. Cancer Manag Res. 2021; 13: 8611–8627  IHC ;  Human.  
研究领域 细胞生物  免疫学  
抗体来源 Rabbit
克隆类型 Polyclonal
克 隆 号
交叉反应 Human,Mouse,Rat (predicted: Sheep,Cow,Dog,Horse)
产品应用 IHC-P=1:100-500,IHC-F=1:100-500,IF=1:100-500
not yet tested in other applications.
optimal dilutions/concentrations should be determined by the end user.
理论分子量 127 kDa
细胞定位 细胞浆 
性    状 Liquid
浓    度 1mg/ml
免 疫 原 KLH conjugated synthetic peptide derived from human FAM83H: 1001-1179/1179 
亚    型 IgG
纯化方法 affinity purified by Protein A
缓 冲 液 0.01M TBS (pH7.4) with 1% BSA, 0.02% Proclin300 and 50% Glycerol.
保存条件 Shipped at 4℃. Store at -20℃ for one year. Avoid repeated freeze/thaw cycles.
注意事项 This product as supplied is intended for research use only, not for use in human, therapeutic or diagnostic applications.
PubMed PubMed
产品介绍 Made up of nearly 146 million bases, chromosome 8 encodes about 800 genes. Translocation of portions of chromosome 8 with amplifications of the c-Myc gene are found in some leukemias and lymphomas, and typically associated with a poor prognosis. Portions of chromosome 8 have been linked to schizophrenia and bipolar disorder. Trisomy 8, also known as Warkany syndrome 2, most often results in early miscarriage but is occasionally seen in a mosaic form in surviving patients who suffer to a varying degree from a number of symptoms including retarded mental and motor development, and certain facial and developmental defects. WRN is a DNA helicase encoded by chromosome 8 and shown defective in those with the early aging disorder Werner syndrome. Chromosome 8 is also associated with Pfeiffer syndrome, congenital hypothyroidism and Waardenburg syndrome. The FAM83H gene product has been provisionally designated FAM83H pending further characterization.

Function:
May play a major role in the structural organization and calcification of developing enamel.

Tissue Specificity:
Expressed in the tooth follicle.

DISEASE:
Defects in FAM83H are the cause of amelogenesis imperfecta type 3 (AI3) [MIM:130900]. AI3 is an autosomal dominant hypomineralized form of amelogenesis imperfecta, a defect of enamel formation. AI3 is characterized by enamel of normal thickness, but soft and with cheesy consistency. Enamel is lost from tooth soon after eruption.

Similarity:
Belongs to the FAM83 family.

SWISS:
Q6ZRV2

Gene ID:
286077

Database links:

Entrez Gene: 286077 Human

Omim: 611927 Human

SwissProt: Q6ZRV2 Human

Unigene: 67776 Human



产品图片
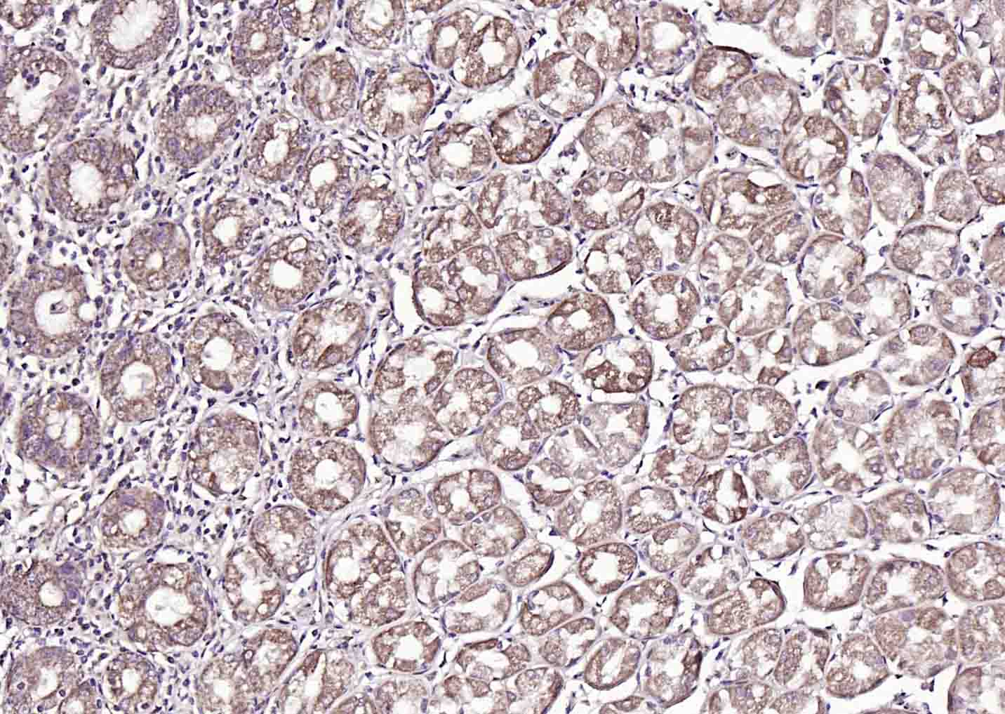
Paraformaldehyde-fixed, paraffin embedded (mouse stomach); Antigen retrieval by boiling in sodium citrate buffer (pH6.0) for 15min; Block endogenous peroxidase by 3% hydrogen peroxide for 20 minutes; Blocking buffer (normal goat serum) at 37°C for 30min; Incubation with (FAM83H) Polyclonal Antibody, Unconjugated (bs-16018R) at 1:200 overnight at 4°C, followed by operating according to SP Kit(Rabbit) (sp-0023) instructionsand DAB staining.
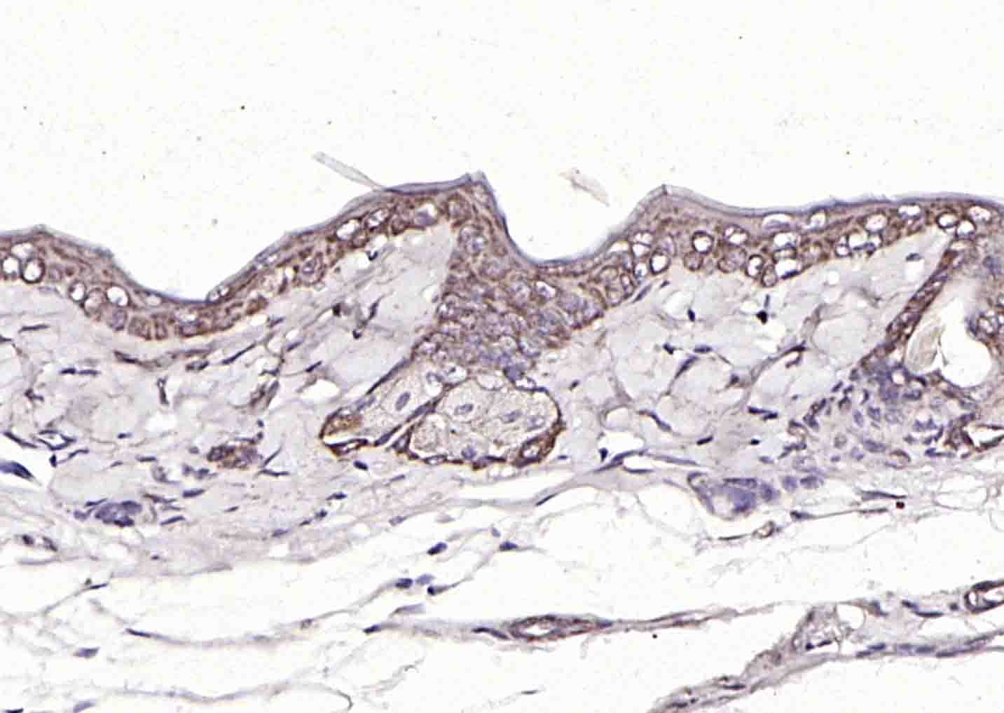
Paraformaldehyde-fixed, paraffin embedded (rat skin); Antigen retrieval by boiling in sodium citrate buffer (pH6.0) for 15min; Block endogenous peroxidase by 3% hydrogen peroxide for 20 minutes; Blocking buffer (normal goat serum) at 37°C for 30min; Incubation with (FAM83H) Polyclonal Antibody, Unconjugated (bs-16018R) at 1:200 overnight at 4°C, followed by operating according to SP Kit(Rabbit) (sp-0023) instructionsand DAB staining.
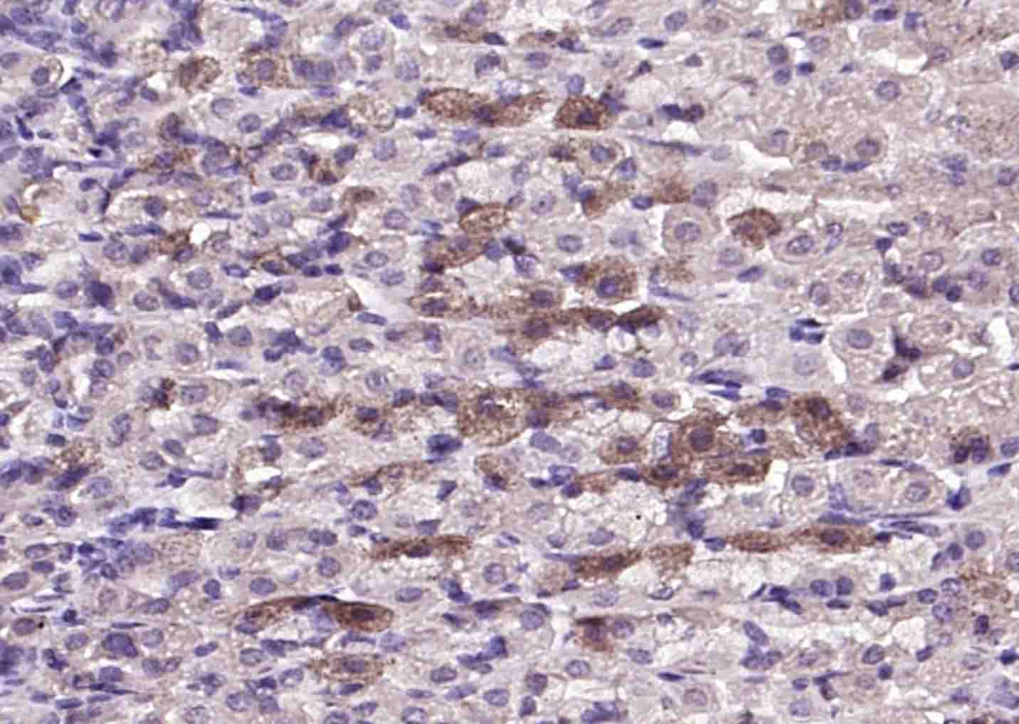
Paraformaldehyde-fixed, paraffin embedded (human pancreatic cancer); Antigen retrieval by boiling in sodium citrate buffer (pH6.0) for 15min; Block endogenous peroxidase by 3% hydrogen peroxide for 20 minutes; Blocking buffer (normal goat serum) at 37°C for 30min; Incubation with (FAM83H) Polyclonal Antibody, Unconjugated (bs-16018R) at 1:200 overnight at 4°C, followed by operating according to SP Kit(Rabbit) (sp-0023) instructionsand DAB staining.
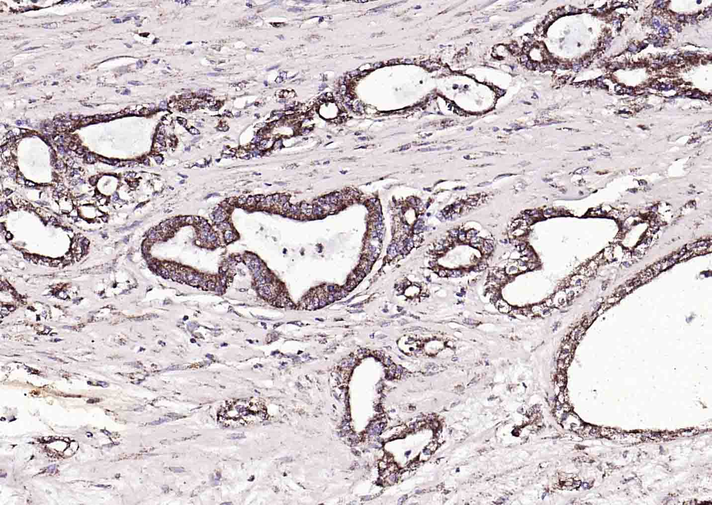
Paraformaldehyde-fixed, paraffin embedded (Human stomach); Antigen retrieval by boiling in sodium citrate buffer (pH6.0) for 15min; Block endogenous peroxidase by 3% hydrogen peroxide for 20 minutes; Blocking buffer (normal goat serum) at 37°C for 30min; Incubation with (FAM83H) Polyclonal Antibody, Unconjugated (bs-16018R) at 1:200 overnight at 4°C, followed by operating according to SP Kit(Rabbit) (sp-0023) instructionsand DAB staining.
Paraformaldehyde-fixed, paraffin embedded (Rat stomach); Antigen retrieval by boiling in sodium citrate buffer (pH6.0) for 15min; Block endogenous peroxidase by 3% hydrogen peroxide for 20 minutes; Blocking buffer (normal goat serum) at 37°C for 30min; Antibody incubation with (FAM83H) Polyclonal Antibody, Unconjugated (bs-16018R) at 1:400 overnight at 4°C, followed by operating according to SP Kit(Rabbit) (sp-0023) instructionsand DAB staining.
版权所有 2004-2026 www.bioss.com.cn 北京博奥森生物技术有限公司
通过国际质量管理体系ISO 9001:2015 GB/T 19001-2016    证书编号: 00124Q34771R2M/1100
通过国际医疗器械-质量管理体系ISO 13485:2016 GB/T 42061-2022     证书编号: CQC24QY20047R0M/1100
京ICP备05066980号-1         京公网安备110107000727号