扫码关注公众号           扫码咨询技术支持           扫码咨询技术服务
  
客服热线:400-901-9800  客服QQ:4009019800  技术答疑  技术支持  质量反馈  关于我们  联系我们
产品中心-北京博奥森生物技术有限公司
首页 > 产品中心 > 一抗 > 产品信息
CD361 Rabbit pAb (bs-14684R)  
订购热线:400-901-9800
订购邮箱:sales@bioss.com.cn
订购QQ:  400-901-9800
技术支持:techsupport@bioss.com.cn
50ul/1180.00元
100ul/1980.00元
200ul/2800.00元
大包装/询价

产品编号 bs-14684R
英文名称 CD361 Rabbit pAb
中文名称 CD361抗体
别    名 EVI2B; CD361; D17S376; Ecotropic viral integration site 2B; Ecotropic viral integration site 2B protein homolog; EVDB; EVI 2B; EVI-2B; Evi2b; EVI2B protein; EVI2B_HUMAN; Protein EVI2B.  
研究领域 细胞生物  免疫学  神经生物学  
抗体来源 Rabbit
克隆类型 Polyclonal
克 隆 号
交叉反应 Human,Mouse
产品应用 WB=1:500-2000,IHC-P=1:100-500,IHC-F=1:100-500,IF=1:100-500
not yet tested in other applications.
optimal dilutions/concentrations should be determined by the end user.
理论分子量 46 kDa
检测分子量
细胞定位 细胞膜 
性    状 Liquid
浓    度 1mg/ml
免 疫 原 KLH conjugated synthetic peptide derived from human CD361: 151-250/448 <Extracellular>
亚    型 IgG
纯化方法 affinity purified by Protein A
缓 冲 液 0.01M TBS (pH7.4) with 1% BSA, 0.02% Proclin300 and 50% Glycerol.
保存条件 Shipped at 4℃. Store at -20℃ for one year. Avoid repeated freeze/thaw cycles.
注意事项 This product as supplied is intended for research use only, not for use in human, therapeutic or diagnostic applications.
PubMed PubMed
产品介绍 EVI2B is a 448 amino acid protein which functions in the differentiation of melanocytes and keratinocytes. Lying within an intron of the Neurofibromin gene, the gene encoding EVI2B is transcribed from the telomere toward the centromere, which is opposite the transcription direction of the Neurofibromin gene. EVI2B is a single-pass transmembrane protein containing an extracellular domain with 4 glycosylation sites, a N-terminal signal peptide, a cytoplasmic hydrophilic domain and a hydrophobic transmembrane domain. Due to evidence suggesting that gene encoding the mouse homolog lies within a viral integration site that has been identitified in retrovirus-induced myeloid tumors, the gene encoding EVI2B may function as an oncogene in these tumor types. With expression in peripheral blood mononuclear cells, fibroblasts, bone marrow and EBV-transformed lymphoblastoid cell lines, EVI2B is implicated in leukemogenesis.

Subcellular Location:
Membrane.

Tissue Specificity:
Bone marrow, peripheral blood mononuclear cells, fibroblasts and Epstein-Barr virus-transformed lymphoblastoid cell lines.

SWISS:
P34910

Gene ID:
2124

Database links:

Entrez Gene: 2124 Human

Omim: 158381 Human

SwissProt: P34910 Human

Unigene: 5509 Human



产品图片
Sample: Cerebrum (Mouse) Lysate at 40 ug Primary: Anti- CD361 (bs-14684R) at 1/1000 dilution Secondary: IRDye800CW Goat Anti-Rabbit IgG at 1/20000 dilution Predicted band size: 46 kD Observed band size: 66 kD
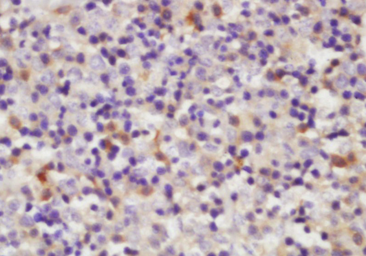
Tissue/cell: human lung carcinoma; 4% Paraformaldehyde-fixed and paraffin-embedded; Antigen retrieval: citrate buffer ( 0.01M, pH 6.0 ), Boiling bathing for 15min; Block endogenous peroxidase by 3% Hydrogen peroxide for 30min; Blocking buffer (normal goat serum,C-0005) at 37℃ for 20 min; Incubation: Anti-CD361 Polyclonal Antibody, Unconjugated(bs-14684R) 1:200, overnight at 4°C, followed by conjugation to the secondary antibody(SP-0023) and DAB(C-0010) staining
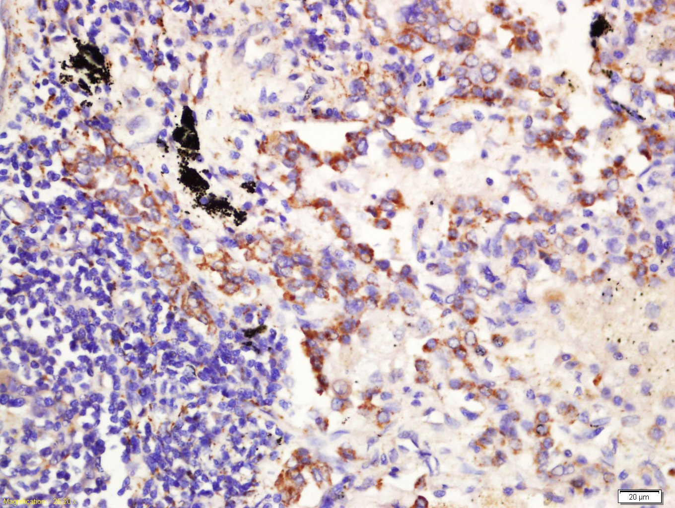
Tissue/cell: Human lung cancer tissue; 4% Paraformaldehyde-fixed and paraffin-embedded; Antigen retrieval: citrate buffer ( 0.01M, pH 6.0 ), Boiling bathing for 15min; Block endogenous peroxidase by 3% Hydrogen peroxide for 30min; Blocking buffer (normal goat serum,C-0005) at 37℃ for 20 min; Incubation: Anti-CD361 Polyclonal Antibody, Unconjugated(bs-14684R) 1:200, overnight at 4°C, followed by conjugation to the secondary antibody(SP-0023) and DAB(C-0010) staining
Tissue/cell: mosue embryo tissue; 4% Paraformaldehyde-fixed and paraffin-embedded; Antigen retrieval: citrate buffer ( 0.01M, pH 6.0 ), Boiling bathing for 15min; Block endogenous peroxidase by 3% Hydrogen peroxide for 30min; Blocking buffer (normal goat serum,C-0005) at 37℃ for 20 min; Incubation: Anti-CD361 Polyclonal Antibody, Unconjugated(bs-14684R) 1:200, overnight at 4°C, followed by conjugation to the secondary antibody(SP-0023) and DAB(C-0010) staining
版权所有 2004-2026 www.bioss.com.cn 北京博奥森生物技术有限公司
通过国际质量管理体系ISO 9001:2015 GB/T 19001-2016    证书编号: 00124Q34771R2M/1100
通过国际医疗器械-质量管理体系ISO 13485:2016 GB/T 42061-2022    证书编号: CQC24QY10047R0M/1100
京ICP备05066980号-1         京公网安备110107000727号