扫码关注公众号           扫码咨询技术支持           扫码咨询技术服务
  
客服热线:400-901-9800  客服QQ:4009019800  技术答疑  技术支持  质量反馈  关于我们  联系我们
产品中心-北京博奥森生物技术有限公司
首页 > 产品中心 > 一抗 > 产品信息
ESCO2 Rabbit pAb (bs-14632R)  
订购热线:400-901-9800
订购邮箱:sales@bioss.com.cn
订购QQ:  400-901-9800
技术支持:techsupport@bioss.com.cn
50ul/1180.00元
100ul/1980.00元
200ul/2800.00元
大包装/询价

产品编号 bs-14632R
英文名称 ESCO2 Rabbit pAb
中文名称 罗伯茨综合征相关蛋白抗体
别    名 CTF7, S. CEREVISIAE, HOMOLOG OF, 2; ECO1 homolog 2; ECO1, S. CEREVISIAE, HOMOLOG OF, 2; EFO2; ESO1, S. POMBE, HOMOLOG OF, 2; ESTABLISHMENT FACTOR ORTHOLOG 2; EFO2; Establishment of cohesion 1 homolog 2; Establishment of cohesion 1 homolog 2(S. cerevisiae); N acetyltransferase ESCO2; RBS; Roberts syndrome.  
研究领域 细胞生物  信号转导  表观遗传学  
抗体来源 Rabbit
克隆类型 Polyclonal
克 隆 号
交叉反应 Mouse (predicted: Human)
产品应用 WB=1:500-2000,IHC-P=1:100-500,IHC-F=1:100-500,IF=1:100-500
not yet tested in other applications.
optimal dilutions/concentrations should be determined by the end user.
理论分子量 68 kDa
检测分子量
细胞定位 细胞核 
性    状 Liquid
浓    度 1mg/ml
免 疫 原 KLH conjugated synthetic peptide derived from human ESCO2: 101-200/601 
亚    型 IgG
纯化方法 affinity purified by Protein A
缓 冲 液 0.01M TBS (pH7.4) with 1% BSA, 0.02% Proclin300 and 50% Glycerol.
保存条件 Shipped at 4℃. Store at -20℃ for one year. Avoid repeated freeze/thaw cycles.
注意事项 This product as supplied is intended for research use only, not for use in human, therapeutic or diagnostic applications.
PubMed PubMed
产品介绍 This gene encodes a protein that may have acetyltransferase activity and may be required for the establishment of sister chromatid cohesion during the S phase of mitosis. Mutations in this gene have been associated with Roberts syndrome. [provided by RefSeq, Jul 2008]

Function:
ESCO2 is an acetyltransferase required for the establishment of sister chromatid cohesion, and couples the processes of cohesion and DNA replication to ensure that only sister chromatids become paired together. In contrast to the structural cohesins, the deposition and establishment factors are required only during S phase. Defects in ESCO2 are the cause of Roberts syndrome (RBS), a rare autosomal recessive disorder characterized by pre- and postnatal growth retardation, microcephaly, bilateral cleft lip and palate, and mesomelic symmetric limb reduction. Severely affected infants may be stillborn or die shortly after birth. RBS chromosomes have a lack of cohesion involving the heterochromatic C-banding regions around centromeres and the distal portion of the long arm of the Y chromosome (known as premature centromere separation, heterochromatin repulsion or puffing, or RS effect). Defects in ESCO2 are also the cause of SC phocomelia syndrome, also known as SC pseudothalidomide syndrome. SC phocomelia syndrome has a milder phenotype than RBS, with a lesser degree of symmetric limb reduction and additionally includes flexion contractures of various joints, midfacial hemangioma, hypoplastic cartilage of ears and nose, scant silvery-blond hair, and cloudy corneae. Although microcephaly is present, mental retardation may be mild and survival into adulthood is common.

Subcellular Location:
Nuclear

SWISS:
Q56NI9

Gene ID:
157570

Database links:

Entrez Gene: 157570 Human

Omim: 609353 Human

SwissProt: Q56NI9 Human

Unigene: 99480 Human



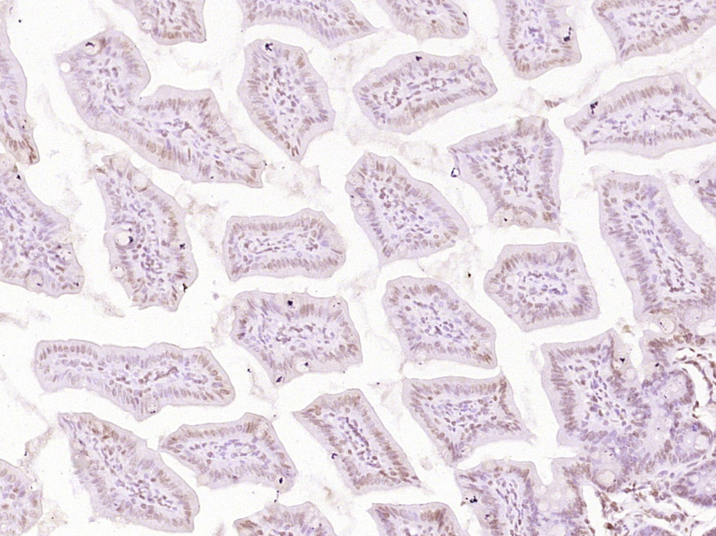
产品图片
Sample: Small intestine (Mouse) Lysate at 40 ug Primary: Anti-ESCO2 (bs-14632R) at 1/300 dilution Secondary: IRDye800CW Goat Anti-Rabbit IgG at 1/20000 dilution Predicted band size: 68 kD Observed band size: 68 kD
Paraformaldehyde-fixed, paraffin embedded (Mouse intestine); Antigen retrieval by boiling in sodium citrate buffer (pH6.0) for 15min; Block endogenous peroxidase by 3% hydrogen peroxide for 20 minutes; Blocking buffer (normal goat serum) at 37°C for 30min; Antibody incubation with (ESCO2) Polyclonal Antibody, Unconjugated (bs-14632R) at 1:400 overnight at 4°C, followed by operating according to SP Kit(Rabbit) (sp-0023) instructionsand DAB staining.
版权所有 2004-2026 www.bioss.com.cn 北京博奥森生物技术有限公司
通过国际质量管理体系ISO 9001:2015 GB/T 19001-2016    证书编号: 00124Q34771R2M/1100
通过国际医疗器械-质量管理体系ISO 13485:2016 GB/T 42061-2022     证书编号: CQC24QY20047R0M/1100
京ICP备05066980号-1         京公网安备110107000727号