扫码关注公众号           扫码咨询技术支持           扫码咨询技术服务
  
客服热线:400-901-9800  客服QQ:4009019800  技术答疑  技术支持  质量反馈  人才招聘  关于我们  联系我们
产品中心-北京博奥森生物技术有限公司
首页 > 产品中心 > 一抗 > 产品信息
COX4I1 Rabbit pAb (bs-10257R)  
订购热线:400-901-9800
订购邮箱:sales@bioss.com.cn
订购QQ:  400-901-9800
技术支持:techsupport@bioss.com.cn
50ul/1180.00元
100ul/1980.00元
200ul/2800.00元
大包装/询价

产品编号 bs-10257R
英文名称 COX4I1 Rabbit pAb
中文名称 细胞色素c氧化酶IV亚型1抗体
别    名 COX IV-1; COX4; COX4-1; COXIV; COXIV-1; MC4DN16; COX; Cox4a; IV-1; COX41_HUMAN; COX4I1; Cytochrome c oxidase polypeptide IV; Cytochrome c oxidase subunit IV isoform 1 (COX IV-1); COX41_MOUSE; COX41_RAT;   
Specific References  (7)     |     bs-10257R has been referenced in 7 publications.
[IF=5.48] Wu, Bin, et al. "Succinate-induced neuronal mitochondrial fission and hexokinase II malfunction in ischemic stroke: Therapeutical effects of kaempferol." Biochimica et Biophysica Acta (BBA)-Molecular Basis of Disease (2017).  WB ;  Mouse.  
[IF=4.427] Wang Y et al.Fine particulate matter induces mitochondrial dysfunction and oxidative stress in human SH-SY5Y cells.(2018) Chemosphere;218:577-588.  WB ;  
[IF=3.83] Kouam et al. Induction of Mkp-1 and Nuclear Translocation of Nrf2 by Limonoids from Khaya grandifoliola C.DC Protect L-02 Hepatocytes against Acetaminophen-Induced Hepatotoxicity. (2017) Front.Pharmacol. 8:653  WB ;  Human.  
[IF=2.639] Yue Wang # et al. Mitophagy Induced by Mitochondrial Function Damage in Chicken Kidney Exposed to Cr(VI). Biol Trace Elem Res. 2021 Feb;199(2):703-711.  WB ;  Chicken.  
[IF=2.197] Zhang JT et al. CRISPR/Cas9 Knockout of Bak Mediates Bax Translocation to Mitochondria in response to TNFα/CHX-induced Apoptosis. BioMed Research International.2019, Article ID 9071297.  WB ;  Human.  
[IF=2.1] Wang, Da-Ting, et al. "Artemisinin mimics calorie restriction to trigger mitochondrial biogenesis and compromise telomere shortening in mice." PeerJ 3 (2015): e822.  WB ;  Mouse.  
[IF=1.69] Gao, Jinhang, et al. "De-methylation of displacement loop of mitochondrial DNA is associated with increased mitochondrial copy number and nicotinamide adenine dinucleotide subunit 2 expression in colorectal cancer." Molecular medicine reports 12.5 (2015): 7033-7038.  WB ;  Human.  
研究领域 细胞生物  免疫学  
抗体来源 Rabbit
克隆类型 Polyclonal
克 隆 号
交叉反应 Human,Mouse,Rat (predicted: Pig,Cow,Dog,Horse)
产品应用 WB=1:500-2000,IHC-P=1:100-500,IHC-F=1:100-500,IF=1:100-500
not yet tested in other applications.
optimal dilutions/concentrations should be determined by the end user.
理论分子量 17 kDa
细胞定位 细胞浆 细胞膜 
性    状 Liquid
浓    度 1mg/ml
免 疫 原 KLH conjugated synthetic peptide derived from human COX4I1: 51-169/169 
亚    型 IgG
纯化方法 affinity purified by Protein A
缓 冲 液 0.01M TBS (pH7.4) with 1% BSA, 0.02% Proclin300 and 50% Glycerol.
保存条件 Shipped at 4℃. Store at -20℃ for one year. Avoid repeated freeze/thaw cycles.
注意事项 This product as supplied is intended for research use only, not for use in human, therapeutic or diagnostic applications.
PubMed PubMed
产品介绍 Cytochrome c oxidase (COX) is the terminal enzyme of the mitochondrial respiratory chain. It is a multi-subunit enzyme complex that couples the transfer of electrons from cytochrome c to molecular oxygen and contributes to a proton electrochemical gradient across the inner mitochondrial membrane. The complex consists of 13 mitochondrial- and nuclear-encoded subunits. The mitochondrially-encoded subunits perform the electron transfer and proton pumping activities. The functions of the nuclear-encoded subunits are unknown but they may play a role in the regulation and assembly of the complex. This gene encodes the nuclear-encoded subunit IV isoform 1 of the human mitochondrial respiratory chain enzyme. It is located at the 3' of the NOC4 (neighbor of COX4) gene in a head-to-head orientation, and shares a promoter with it. [provided by RefSeq, Jul 2008]

Function:
This protein is one of the nuclear-coded polypeptide chains of cytochrome c oxidase, the terminal oxidase in mitochondrial electron transport.

Subcellular Location:
Mitochondrion inner membrane.

Post-translational modifications:
Ubiquitous.

Similarity:
Belongs to the cytochrome c oxidase IV family.

SWISS:
P13073

Gene ID:
1327

Database links:

Entrez Gene: 1327 Human

Entrez Gene: 12857 Mouse

Entrez Gene: 29445 Rat

SwissProt: P13073 Human

SwissProt: P19783 Mouse

SwissProt: P10888 Rat



产品图片
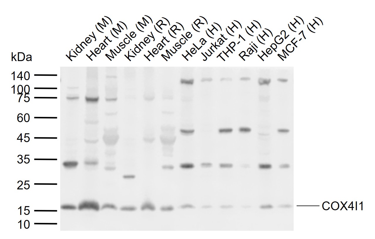
Sample: Lane 1: Mouse Kidney tissue lysates Lane 2: Mouse Heart tissue lysates Lane 3: Mouse Muscle tissue lysates Lane 4: Rat Kidney tissue lysates Lane 5: Rat Heart tissue lysates Lane 6: Rat Muscle tissue lysates Lane 7: Human HeLa cell lysates Lane 8: Human Jurkat cell lysates Lane 9: Human THP-1 cell lysates Lane 10: Human Raji cell lysates Lane 11: Human HepG2 cell lysates Lane 12: Human MCF-7 cell lysates Primary: Anti-COX4I1 (bs-10257R) at 1/1000 dilution Secondary: IRDye800CW Goat Anti-Rabbit IgG at 1/20000 dilution Predicted band size: 17 kDa Observed band size: 16 kDa
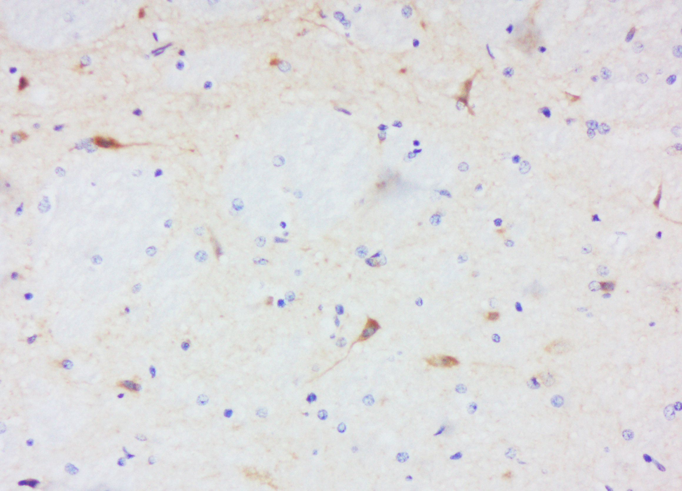
Paraformaldehyde-fixed, paraffin embedded (Mouse brain); Antigen retrieval by boiling in sodium citrate buffer (pH6.0) for 15min; Block endogenous peroxidase by 3% hydrogen peroxide for 20 minutes; Blocking buffer (normal goat serum) at 37°C for 30min; Antibody incubation with (COX4) Polyclonal Antibody, Unconjugated (bs-10257R) at 1:500 overnight at 4°C, followed by a conjugated secondary (sp-0023) for 20 minutes and DAB staining.
Tissue/cell: Rat brain tissue; 4% Paraformaldehyde-fixed and paraffin-embedded; Antigen retrieval: citrate buffer ( 0.01M, pH 6.0 ), Boiling bathing for 15min; Block endogenous peroxidase by 3% Hydrogen peroxide for 30min; Blocking buffer (normal goat serum,C-0005) at 37℃ for 20 min; Incubation: Anti-COX4 Polyclonal Antibody, Unconjugated(bs-10257R) 1:200, overnight at 4°C, followed by conjugation to the secondary antibody(SP-0023) and DAB(C-0010) staining
版权所有 2004-2026 www.bioss.com.cn 北京博奥森生物技术有限公司
通过国际质量管理体系ISO 9001:2015 GB/T 19001-2016    证书编号: 00124Q34771R2M/1100
通过国际医疗器械-质量管理体系ISO 13485:2016 GB/T 42061-2022     证书编号: CQC24QY20047R0M/1100
京ICP备05066980号-1         京公网安备110107000727号