扫码关注公众号           扫码咨询技术支持           扫码咨询技术服务
  
客服热线:400-901-9800  客服QQ:4009019800  技术答疑  技术支持  质量反馈  关于我们  联系我们
产品中心-北京博奥森生物技术有限公司
首页 > 产品中心 > 一抗 > 产品信息
FKBP1A Rabbit pAb (bs-7450R)  
订购热线:400-901-9800
订购邮箱:sales@bioss.com.cn
订购QQ:  400-901-9800
技术支持:techsupport@bioss.com.cn
50ul/1180.00元
100ul/1980.00元
200ul/2800.00元
大包装/询价

产品编号 bs-7450R
英文名称 FKBP1A Rabbit pAb
中文名称 FKBP1A抗体
别    名 FKBP-12; FKBP-1A; FKBP1; FKBP12; PKC12; PKCI2; PPIASE; Fkbp; Fkbp2; FKB1A_HUMAN; FKBP1A; PPIase FKBP1A; 12 kDa FK506-binding protein (12 kDa FKBP | FKBP-12); Calstabin-1; FK506-binding protein 1A (FKBP-1A); Immunophilin FKBP12; Rotamase; 5.2.1.8; FKB1A_MO  
研究领域 免疫学  
抗体来源 Rabbit
克隆类型 Polyclonal
克 隆 号
交叉反应 Mouse,Rat (predicted: Human,Pig,Sheep,Cow,Chicken,Dog)
产品应用 WB=1:500-2000,IHC-P=1:100-500,IHC-F=1:100-500,IF=1:100-500
not yet tested in other applications.
optimal dilutions/concentrations should be determined by the end user.
理论分子量 12 kDa
细胞定位 细胞浆 
性    状 Liquid
浓    度 1mg/ml
免 疫 原 KLH conjugated synthetic peptide derived from human FKBP-1A: 2-80/108 
亚    型 IgG
纯化方法 affinity purified by Protein A
缓 冲 液 0.01M TBS (pH7.4) with 1% BSA, 0.02% Proclin300 and 50% Glycerol.
保存条件 Shipped at 4℃. Store at -20℃ for one year. Avoid repeated freeze/thaw cycles.
注意事项 This product as supplied is intended for research use only, not for use in human, therapeutic or diagnostic applications.
PubMed PubMed
产品介绍 The protein encoded by this gene is a member of the immunophilin protein family, which play a role in immunoregulation and basic cellular processes involving protein folding and trafficking. The protein is a cis-trans prolyl isomerase that binds the immunosuppressants FK506 and rapamycin. It interacts with several intracellular signal transduction proteins including type I TGF-beta receptor. It also interacts with multiple intracellular calcium release channels, and coordinates multi-protein complex formation of the tetrameric skeletal muscle ryanodine receptor. In mouse, deletion of this homologous gene causes congenital heart disorder known as noncompaction of left ventricular myocardium. Multiple alternatively spliced variants, encoding the same protein, have been identified. The human genome contains five pseudogenes related to this gene, at least one of which is transcribed. [provided by RefSeq, Sep 2008]

Function:
May play a role in modulation of ryanodine receptor isoform-1 (RYR-1), a component of the calcium release channel of skeletal muscle sarcoplasmic reticulum. There are four molecules of FKBP12 per skeletal muscle RYR. PPIases accelerate the folding of proteins. It catalyzes the cis-trans isomerization of proline imidic peptide bonds in oligopeptides.

Subcellular Location:
Cytoplasm.

Similarity:
Belongs to the FKBP-type PPIase family. FKBP1 subfamily.
Contains 1 PPIase FKBP-type domain.

SWISS:
P62942

Gene ID:
2280

Database links:

Entrez Gene: 2280 Human

Entrez Gene: 14225 Mouse

Entrez Gene: 25639 Rat

Omim: 186945 Human

SwissProt: P62942 Human

SwissProt: P26883 Mouse

SwissProt: Q62658 Rat

Unigene: 471933 Human

Unigene: 700839 Human

Unigene: 278458 Mouse

Unigene: 381214 Mouse

Unigene: 80611 Rat



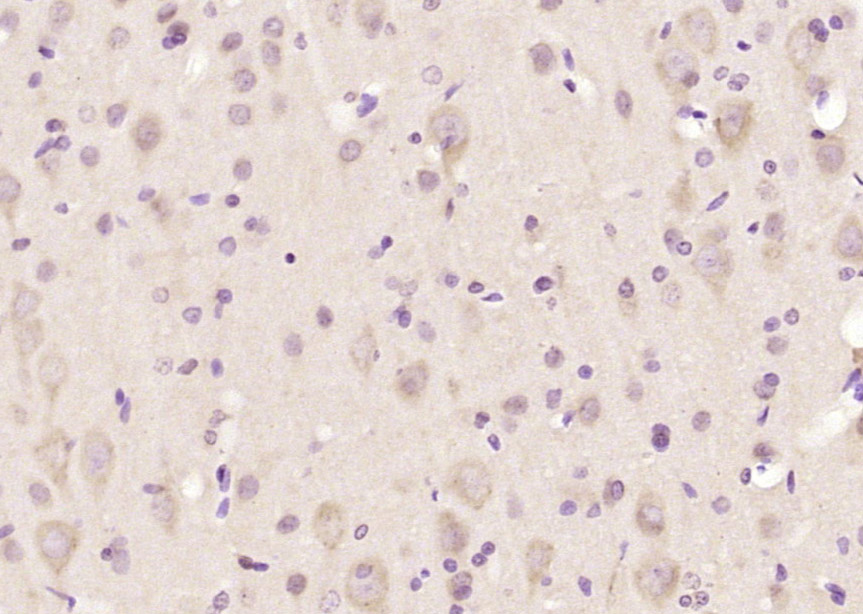
产品图片
Sample: brain (Mouse) Lysate at 40 ug Primary: Anti-FKBP-1A'FKBP12 (bs-7450R) at 1/300 dilution Secondary: IRDye800CW Goat Anti-Rabbit IgG at 1/20000 dilution Predicted band size: 12 kD Observed band size: 12 kD
Paraformaldehyde-fixed, paraffin embedded (mouse brain); Antigen retrieval by boiling in sodium citrate buffer (pH6.0) for 15min; Block endogenous peroxidase by 3% hydrogen peroxide for 20 minutes; Blocking buffer (normal goat serum) at 37°C for 30min; Antibody incubation with (FKBP-1A,FKBP12) Polyclonal Antibody, Unconjugated (bs-7450R) at 1:200 overnight at 4°C, followed by operating according to SP Kit(Rabbit) (sp-0023) instructionsand DAB staining.
Paraformaldehyde-fixed, paraffin embedded (rat brain); Antigen retrieval by boiling in sodium citrate buffer (pH6.0) for 15min; Block endogenous peroxidase by 3% hydrogen peroxide for 20 minutes; Blocking buffer (normal goat serum) at 37°C for 30min; Antibody incubation with (FKBP-1A,FKBP12) Polyclonal Antibody, Unconjugated (bs-7450R) at 1:200 overnight at 4°C, followed by operating according to SP Kit(Rabbit) (sp-0023) instructionsand DAB staining.
版权所有 2004-2026 www.bioss.com.cn 北京博奥森生物技术有限公司
通过国际质量管理体系ISO 9001:2015 GB/T 19001-2016    证书编号: 00124Q34771R2M/1100
通过国际医疗器械-质量管理体系ISO 13485:2016 GB/T 42061-2022     证书编号: CQC24QY20047R0M/1100
京ICP备05066980号-1         京公网安备110107000727号