扫码关注公众号           扫码咨询技术支持           扫码咨询技术服务
  
客服热线:400-901-9800  客服QQ:4009019800  技术答疑  技术支持  质量反馈  关于我们  联系我们
产品中心-北京博奥森生物技术有限公司
首页 > 产品中心 > 一抗 > 产品信息
EIF1AY Rabbit pAb (bs-4314R)  
订购热线:400-901-9800
订购邮箱:sales@bioss.com.cn
订购QQ:  400-901-9800
技术支持:techsupport@bioss.com.cn
50ul/1180.00元
100ul/1980.00元
200ul/2800.00元
大包装/询价

产品编号 bs-4314R
英文名称 EIF1AY Rabbit pAb
中文名称 真核翻译起始因子1A抗体
别    名 eIF 1A Y isoform; eIF 4C; eIF-1A Y isoform; EIF-4C; EIF1AY; Eukaryotic translation initiation factor 1A; Eukaryotic translation initiation factor 1A, Y chromosomal; Eukaryotic translation initiation factor 1A, Y linked; Eukaryotic translation initiation factor 4C; IF1AY_HUMAN; Y-chromosomal.  
Specific References  (1)     |     bs-4314R has been referenced in 1 publications.
[IF=4.243] Rongxin Geng. et al. EIF1A depletion restrains human pituitary adenoma progression. Transl Oncol. 2022 Jan;15:101299  WB,IHC ;  Human,Mouse.  
研究领域 细胞生物  转录调节因子  表观遗传学  
抗体来源 Rabbit
克隆类型 Polyclonal
克 隆 号
交叉反应 Mouse (predicted: Human,Rat,Cow)
产品应用 WB=1:500-2000,IHC-P=1:100-500,IHC-F=1:100-500,IF=1:100-500
not yet tested in other applications.
optimal dilutions/concentrations should be determined by the end user.
理论分子量 16 kDa
检测分子量
细胞定位 细胞核 
性    状 Liquid
浓    度 1mg/ml
免 疫 原 KLH conjugated synthetic peptide derived from human EIF1AY: 21-120/144 
亚    型 IgG
纯化方法 affinity purified by Protein A
缓 冲 液 0.01M TBS (pH7.4) with 1% BSA, 0.02% Proclin300 and 50% Glycerol.
保存条件 Shipped at 4℃. Store at -20℃ for one year. Avoid repeated freeze/thaw cycles.
注意事项 This product as supplied is intended for research use only, not for use in human, therapeutic or diagnostic applications.
PubMed PubMed
产品介绍 This gene is located on the non-recombining region of the Y chromosome. It encodes a protein related to eukaryotic translation initiation factor 1A (EIF1A), which may function in stabilizing the binding of the initiator Met-tRNA to 40S ribosomal subunits. Alternative splicing results in multiple transcript variants. [provided by RefSeq, Jul 2013]

Function:
Seems to be required for maximal rate of protein biosynthesis. Enhances ribosome dissociation into subunits and stabilizes the binding of the initiator Met-tRNA(I) to 40 S ribosomal subunits.

Tissue Specificity:
Ubiquitous.

Similarity:
Belongs to the eIF-1A family.
Contains 1 S1-like domain.

SWISS:
O14602

Gene ID:
9086

Database links:

Entrez Gene: 9086 Human

Entrez Gene: 302697 Rat

Omim: 400014 Human

SwissProt: O14602 Human

Unigene: 461178 Human



产品图片
Sample: Lung (Mouse) Lysate at 40 ug Primary: Anti-EIF1AY (bs-4314R) at 1/300 dilution Secondary: IRDye800CW Goat Anti-Rabbit IgG at 1/20000 dilution Predicted band size: 16 kD Observed band size: 18 kD
Paraformaldehyde-fixed, paraffin embedded (Mouse brain); Antigen retrieval by boiling in sodium citrate buffer (pH6.0) for 15min; Block endogenous peroxidase by 3% hydrogen peroxide for 20 minutes; Blocking buffer (normal goat serum) at 37°C for 30min; Antibody incubation with (EIF1AY) Polyclonal Antibody, Unconjugated (bs-4314R ) at 1:500 overnight at 4°C, followed by a conjugated secondary (sp-0023) for 20 minutes and DAB staining.
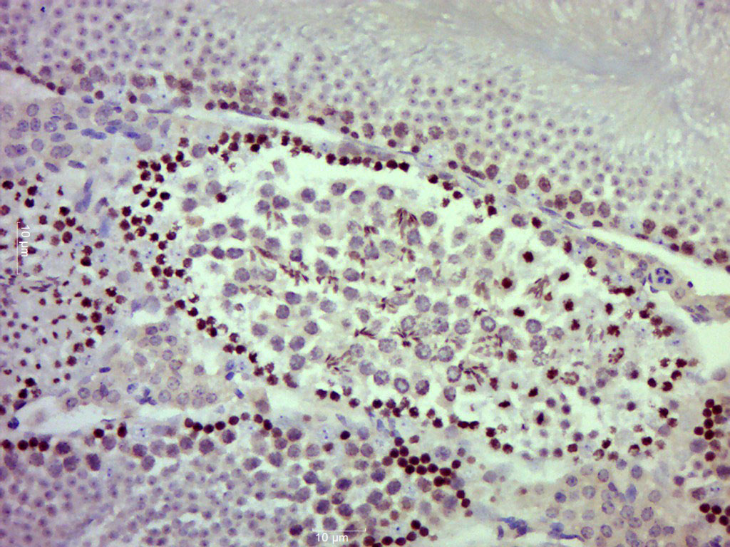
Paraformaldehyde-fixed, paraffin embedded (Mouse testis); Antigen retrieval by boiling in sodium citrate buffer (pH6.0) for 15min; Block endogenous peroxidase by 3% hydrogen peroxide for 20 minutes; Blocking buffer (normal goat serum) at 37°C for 30min; Antibody incubation with (EIF1AY) Polyclonal Antibody, Unconjugated (bs-4314R ) at 1:500 overnight at 4°C, followed by a conjugated secondary (sp-0023) for 20 minutes and DAB staining.
版权所有 2004-2026 www.bioss.com.cn 北京博奥森生物技术有限公司
通过国际质量管理体系ISO 9001:2015 GB/T 19001-2016    证书编号: 00124Q34771R2M/1100
通过国际医疗器械-质量管理体系ISO 13485:2016 GB/T 42061-2022     证书编号: CQC24QY20047R0M/1100
京ICP备05066980号-1         京公网安备110107000727号