扫码关注公众号           扫码咨询技术支持           扫码咨询技术服务
  
客服热线:400-901-9800  客服QQ:4009019800  技术答疑  技术支持  质量反馈  关于我们  联系我们
产品中心-北京博奥森生物技术有限公司
首页 > 产品中心 > 一抗 > 产品信息
CTRP6 Rabbit pAb (bs-14104R)  
订购热线:400-901-9800
订购邮箱:sales@bioss.com.cn
订购QQ:  400-901-9800
技术支持:techsupport@bioss.com.cn
50ul/1180.00元
100ul/1980.00元
200ul/2800.00元
大包装/询价

产品编号 bs-14104R
英文名称 CTRP6 Rabbit pAb
中文名称 补体C1q肿瘤坏死因子相关蛋白6抗体
别    名 CTFP6; CTRP6; ZACRP6; 2810036M19Rik; Adiq; C1QT6_HUMAN; C1QTNF6; C1QT6_MOUSE; C1QT6_RAT;   
Specific References  (1)     |     bs-14104R has been referenced in 1 publications.
[IF=3.32] Lin, Guofu. et al. C1QTNF6 regulated by miR‐29a-3p promotes proliferation and migration in stage I lung adenocarcinoma. BMC PULM MED. 2022 Dec;22(1):1-14  IHC ;  Human.  
研究领域 细胞生物  免疫学  
抗体来源 Rabbit
克隆类型 Polyclonal
克 隆 号
交叉反应 Human,Mouse (predicted: Rat)
产品应用 WB=1:500-2000,IHC-P=1:100-500,IHC-F=1:100-500,IF=1:100-500
not yet tested in other applications.
optimal dilutions/concentrations should be determined by the end user.
理论分子量 42 kDa
细胞定位 细胞浆 
性    状 Liquid
浓    度 1mg/ml
免 疫 原 KLH conjugated synthetic peptide derived from human CTRP6: 151-259/259 
亚    型 IgG
纯化方法 affinity purified by Protein A
缓 冲 液 0.01M TBS (pH7.4) with 1% BSA, 0.02% Proclin300 and 50% Glycerol.
保存条件 Shipped at 4℃. Store at -20℃ for one year. Avoid repeated freeze/thaw cycles.
注意事项 This product as supplied is intended for research use only, not for use in human, therapeutic or diagnostic applications.
PubMed PubMed
产品介绍 CTRP6 is a 259 amino acid secreted glycoprotein consisting of an N-terminal signal peptide sequence followed by a collagen-like domain and a C-terminal globular domain. Predominantly expressed in eye and placenta, CTRP6 is also upregulated in obese mice. Along with CTRP1, CTRP2, CTRP3 and CTRP5, CTRP6 circulates in the blood and is thought to function as an endocrine hormone. There are three isoforms of CTRP6 that are produced as a result of alternative splicing events.

Subcellular Location:
Secreted.

Similarity:
Contains 1 C1q domain.
Contains 1 collagen-like domain.

SWISS:
Q9BXI9

Gene ID:
114904

Database links:

Entrez Gene: 114904 Human

Entrez Gene: 72709 Mouse

Entrez Gene: 315114 Rat

Omim: 614910 Human

SwissProt: Q9BXI9 Human

SwissProt: Q6IR41 Mouse

SwissProt: Q3T1I2 Rat

Unigene: 22011 Human

Unigene: 34776 Mouse

Unigene: 17708 Rat



产品图片
Sample: embryo (Mouse) Lysate at 40 ug Primary: Anti-CTRP6 (bs-14104R) at 1/300 dilution Secondary: IRDye800CW Goat Anti-Rabbit IgG at 1/20000 dilution Predicted band size: 42 kD Observed band size: 42 kD
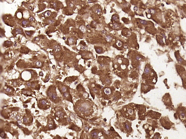
Paraformaldehyde-fixed, paraffin embedded (human liver carcinoma); Antigen retrieval by boiling in sodium citrate buffer (pH6.0) for 15min; Block endogenous peroxidase by 3% hydrogen peroxide for 20 minutes; Blocking buffer (normal goat serum) at 37°C for 30min; Antibody incubation with (CTRP6) Polyclonal Antibody, Unconjugated (bs-14104R) at 1:400 overnight at 4°C, followed by operating according to SP Kit(Rabbit) (sp-0023) instructionsand DAB staining.
版权所有 2004-2026 www.bioss.com.cn 北京博奥森生物技术有限公司
通过国际质量管理体系ISO 9001:2015 GB/T 19001-2016    证书编号: 00124Q34771R2M/1100
通过国际医疗器械-质量管理体系ISO 13485:2016 GB/T 42061-2022     证书编号: CQC24QY20047R0M/1100
京ICP备05066980号-1         京公网安备110107000727号