扫码关注公众号           扫码咨询技术支持           扫码咨询技术服务
  
客服热线:400-901-9800  客服QQ:4009019800  技术答疑  技术支持  质量反馈  人才招聘  关于我们  联系我们
产品中心-北京博奥森生物技术有限公司
首页 > 产品中心 > 一抗 > 产品信息
CRISP10 Rabbit pAb (bs-14060R)  
订购热线:400-901-9800
订购邮箱:sales@bioss.com.cn
订购QQ:  400-901-9800
技术支持:techsupport@bioss.com.cn
50ul/1180.00元
100ul/1980.00元
200ul/2800.00元
大包装/询价

产品编号 bs-14060R
英文名称 CRISP10 Rabbit pAb
中文名称 富含半胱氨酸分泌蛋白10抗体
别    名 CAPLD1; CRISP-10; CRISP10; LCRISP1; CRLD1_HUMAN; CRISPLD1; CocoaCrisp; Cysteine-rich secretory protein 10 (CRISP-10); LCCL domain-containing cysteine-rich secretory protein 1; Trypsin inhibitor Hl;   
研究领域 细胞生物  信号转导  转录调节因子  
抗体来源 Rabbit
克隆类型 Polyclonal
克 隆 号
交叉反应 Human,Mouse (predicted: Rat,Rabbit,Pig,Cow,Dog,Horse)
产品应用 WB=1:500-2000,IHC-P=1:100-500,IHC-F=1:100-500,IF=1:100-500
not yet tested in other applications.
optimal dilutions/concentrations should be determined by the end user.
理论分子量 54 kDa
细胞定位 细胞浆 
性    状 Liquid
浓    度 1mg/ml
免 疫 原 KLH conjugated synthetic peptide derived from human CRISP10: 301-400/500 
亚    型 IgG
纯化方法 affinity purified by Protein A
缓 冲 液 0.01M TBS (pH7.4) with 1% BSA, 0.02% Proclin300 and 50% Glycerol.
保存条件 Shipped at 4℃. Store at -20℃ for one year. Avoid repeated freeze/thaw cycles.
注意事项 This product as supplied is intended for research use only, not for use in human, therapeutic or diagnostic applications.
PubMed PubMed
产品介绍 Cysteine-rich secretory proteins (CRISPs) represent a family of evolutionarily conserved proteins which may play a role in the innate immune system and are transcriptionally regulated by androgens in several tissues. CRISP proteins are highly expressed in the mammalian reproductive tract and in the venom secretory ducts of some reptiles. CRISP-10 (cysteine-rich secretory protein 10), also known as CocoaCrisp and Trypsin inhibitor Hl, is a 500 amino acid protein containing 2 LCCL domains, which are thought to function as autonomous folding domains used to construct modular proteins through exon shuffling. CRISP-10 differs from other CRISP proteins in that it does not contain the 10 conserved cysteine residues or ICR domains that are usually conserved throughout the CRISP family.

Subcellular Location:
Secreted.

Similarity:
Belongs to the CRISP family.
Contains 2 LCCL domains.

SWISS:
Q9H336

Gene ID:
83690

Database links:

Entrez Gene: 83690 Human

SwissProt: Q9H336 Human

Unigene: 436542 Human



产品图片
Sample: Heart(Mouse) Lysate at 40 ug Primary:Anti-CRISP10 (bs-14060R) at 1/1000 dilution Secondary: IRDye800CW Goat Anti-Rabbit IgG at 1/20000 dilution Predicted band size: 54 kD Observed band size: 54 kD
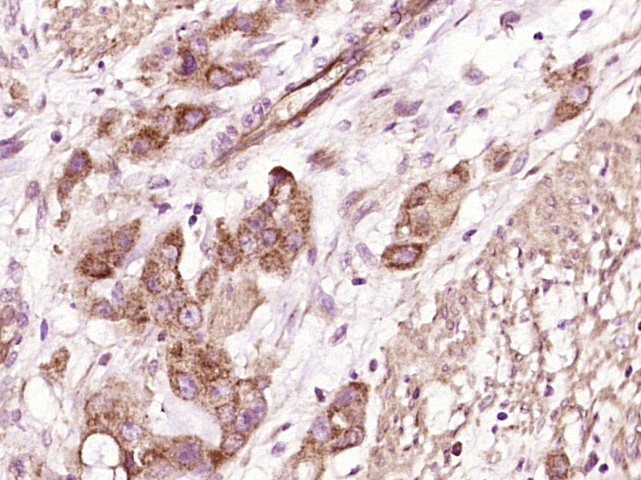
Paraformaldehyde-fixed, paraffin embedded (Human stomach cancer); Antigen retrieval by boiling in sodium citrate buffer (pH6.0) for 15min; Block endogenous peroxidase by 3% hydrogen peroxide for 20 minutes; Blocking buffer (normal goat serum) at 37°C for 30min; Antibody incubation with (CRISP10) Polyclonal Antibody, Unconjugated (bs-14060R) at 1:400 overnight at 4°C, followed by operating according to SP Kit(Rabbit) (sp-0023) instructionsand DAB staining.
Paraformaldehyde-fixed, paraffin embedded (Human liver cancer); Antigen retrieval by boiling in sodium citrate buffer (pH6.0) for 15min; Block endogenous peroxidase by 3% hydrogen peroxide for 20 minutes; Blocking buffer (normal goat serum) at 37°C for 30min; Antibody incubation with (CRISP10) Polyclonal Antibody, Unconjugated (bs-14060R) at 1:400 overnight at 4°C, followed by operating according to SP Kit(Rabbit) (sp-0023) instructionsand DAB staining.
版权所有 2004-2026 www.bioss.com.cn 北京博奥森生物技术有限公司
通过国际质量管理体系ISO 9001:2015 GB/T 19001-2016    证书编号: 00124Q34771R2M/1100
通过国际医疗器械-质量管理体系ISO 13485:2016 GB/T 42061-2022     证书编号: CQC24QY20047R0M/1100
京ICP备05066980号-1         京公网安备110107000727号