扫码关注公众号           扫码咨询技术支持           扫码咨询技术服务
  
客服热线:400-901-9800  客服QQ:4009019800  技术答疑  技术支持  质量反馈  关于我们  联系我们
产品中心-北京博奥森生物技术有限公司
首页 > 产品中心 > 一抗 > 产品信息
CILP Rabbit pAb (bs-13954R)  
订购热线:400-901-9800
订购邮箱:sales@bioss.com.cn
订购QQ:  400-901-9800
技术支持:techsupport@bioss.com.cn
50ul/1180.00元
100ul/1980.00元
200ul/2800.00元
大包装/询价

产品编号 bs-13954R
英文名称 CILP Rabbit pAb
中文名称 软骨中间层蛋白CILP抗体
别    名 CILP-1; CILP1; HsT18872; 9830114D16; C130036G17Rik; NTPPH; CILP1_HUMAN; CILP; Cartilage intermediate-layer protein; CILP1_MOUSE;   
研究领域 细胞生物  免疫学  信号转导  
抗体来源 Rabbit
克隆类型 Polyclonal
克 隆 号
交叉反应 Human,Mouse,Rat (predicted: Sheep,Cow,Horse)
产品应用 WB=1:500-2000,IHC-P=1:100-500,IHC-F=1:100-500,IF=1:100-500
not yet tested in other applications.
optimal dilutions/concentrations should be determined by the end user.
理论分子量 132 kDa
细胞定位 细胞浆 
性    状 Liquid
浓    度 1mg/ml
免 疫 原 KLH conjugated synthetic peptide derived from human CILP: 1051-1184/1184 
亚    型 IgG
纯化方法 affinity purified by Protein A
缓 冲 液 0.01M TBS (pH7.4) with 1% BSA, 0.02% Proclin300 and 50% Glycerol.
保存条件 Shipped at 4℃. Store at -20℃ for one year. Avoid repeated freeze/thaw cycles.
注意事项 This product as supplied is intended for research use only, not for use in human, therapeutic or diagnostic applications.
PubMed PubMed
产品介绍 Major alterations in the composition of the cartilage extracellular matrix occur in joint disease, such as osteoarthrosis. This gene encodes the cartilage intermediate layer protein (CILP), which increases in early osteoarthrosis cartilage. The encoded protein was thought to encode a protein precursor for two different proteins; an N-terminal CILP and a C-terminal homolog of NTPPHase, however, later studies identified no nucleotide pyrophosphatase phosphodiesterase (NPP) activity. The full-length and the N-terminal domain of this protein was shown to function as an IGF-1 antagonist. An allelic variant of this gene has been associated with lumbar disc disease. [provided by RefSeq, Sep 2010]

Function:
Probably plays a role in cartilage scaffolding. May act by antagonizing TGF-beta1 (TGFB1) and IGF1 functions. Has the ability to suppress IGF1-induced proliferation and sulfated proteoglycan synthesis, and inhibits ligand-induced IGF1R autophosphorylation. May inhibit TGFB1-mediated induction of cartilage matrix genes via its interaction with TGFB1. Overexpression may lead to impair chondrocyte growth and matrix repair and indirectly promote inorganic pyrophosphate (PPi) supersaturation in aging and osteoarthritis cartilage.

Subcellular Location:
Secreted > extracellular space > extracellular matrix.

Tissue Specificity:
Specifically expressed in cartilage. Localizes in the intermediates layer of articular cartilage but neither in the superficial nor in the deepest regions. Specifically and highly expressed in intervertebral disk tissue. Expression increases with aging in hip articular cartilage. Overexpressed in articular hyaline cartilage from patients with calcium pyrophosphate dihydrate crystal deposition disease (CPPD). Expression in intervertebral disk tissue from individuals with lumbar disk disease increases as disk degeneration progresses.

Post-translational modifications:
Cleaved into 2 chains possibly by a furin-like protease upon or preceding secretion.

DISEASE:
Defects in CILP are a cause of susceptibility to intervertebral disk disease (IDD) [MIM:603932]. A common musculo-skeletal disorder caused by degeneration of intervertebral disks of the lumbar spine. It results in low-back pain and unilateral leg pain. Note=Susceptibility to intervertebral disk disease, is conferred by variant p.Ile395Thr (PubMed:15864306).

Similarity:
Contains 1 Ig-like C2-type (immunoglobulin-like) domain.
Contains 1 TSP type-1 domain.

SWISS:
O75339

Gene ID:
8483

Database links:

Entrez Gene: 8483 Human

Entrez Gene: 214425 Mouse

Entrez Gene: 397672 Pig

omim: 603489 Human

SwissProt: O75339 Human

SwissProt: Q66K08 Mouse

Unigene: 442180 Human

Unigene: 138455 Mouse

Unigene: 14477 Pig



产品图片
Sample: MCF-7 Cell (Human) Lysate at 30 ug Primary: Anti-CILP (bs-13954R) at 1/300 dilution Secondary: IRDye800CW Goat Anti-Rabbit IgG at 1/20000 dilution Predicted band size: 132 kD Observed band size: 132 kD
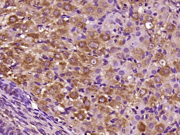
Paraformaldehyde-fixed, paraffin embedded (mouse ovary); Antigen retrieval by boiling in sodium citrate buffer (pH6.0) for 15min; Block endogenous peroxidase by 3% hydrogen peroxide for 20 minutes; Blocking buffer (normal goat serum) at 37°C for 30min; Incubation with (CILP) Polyclonal Antibody, Unconjugated (bs-13954R) at 1:200 overnight at 4°C, followed by operating according to SP Kit(Rabbit) (sp-0023) instructionsand DAB staining.
Paraformaldehyde-fixed, paraffin embedded (Rat ovary); Antigen retrieval by boiling in sodium citrate buffer (pH6.0) for 15min; Block endogenous peroxidase by 3% hydrogen peroxide for 20 minutes; Blocking buffer (normal goat serum) at 37°C for 30min; Antibody incubation with (CILP) Polyclonal Antibody, Unconjugated (bs-13954R) at 1:400 overnight at 4°C, followed by operating according to SP Kit(Rabbit) (sp-0023) instructionsand DAB staining.
版权所有 2004-2026 www.bioss.com.cn 北京博奥森生物技术有限公司
通过国际质量管理体系ISO 9001:2015 GB/T 19001-2016    证书编号: 00124Q34771R2M/1100
通过国际医疗器械-质量管理体系ISO 13485:2016 GB/T 42061-2022     证书编号: CQC24QY20047R0M/1100
京ICP备05066980号-1         京公网安备110107000727号