扫码关注公众号           扫码咨询技术支持           扫码咨询技术服务
  
客服热线:400-901-9800  客服QQ:4009019800  技术答疑  技术支持  质量反馈  人才招聘  关于我们  联系我们
产品中心-北京博奥森生物技术有限公司
首页 > 产品中心 > 一抗 > 产品信息
MRP63 Rabbit pAb (bs-13764R)  
订购热线:400-901-9800
订购邮箱:sales@bioss.com.cn
订购QQ:  400-901-9800
技术支持:techsupport@bioss.com.cn
50ul/1180.00元
100ul/1980.00元
200ul/2800.00元
大包装/询价

产品编号 bs-13764R
英文名称 MRP63 Rabbit pAb
中文名称 线粒体核糖体蛋白MRP63抗体
别    名 MRP63; bMRP63; mL63; RT63_HUMAN; MRPL57; Mitochondrial ribosomal protein 63; Mitochondrial ribosomal protein L57; Ribosomal protein 63, mitochondrial (hMRP63);   
研究领域 细胞生物  线粒体  表观遗传学  
抗体来源 Rabbit
克隆类型 Polyclonal
克 隆 号
交叉反应 Mouse (predicted: Human,Rat,Cow,Dog)
产品应用 IHC-P=1:100-500,IHC-F=1:100-500,IF=1:100-500
not yet tested in other applications.
optimal dilutions/concentrations should be determined by the end user.
理论分子量 12 kDa
细胞定位 细胞浆 线粒体
性    状 Liquid
浓    度 1mg/ml
免 疫 原 KLH conjugated synthetic peptide derived from human MRP63: 11-80/102 
亚    型 IgG
纯化方法 affinity purified by Protein A
缓 冲 液 0.01M TBS (pH7.4) with 1% BSA, 0.02% Proclin300 and 50% Glycerol.
保存条件 Shipped at 4℃. Store at -20℃ for one year. Avoid repeated freeze/thaw cycles.
注意事项 This product as supplied is intended for research use only, not for use in human, therapeutic or diagnostic applications.
PubMed PubMed
产品介绍 Mammalian mitochondrial ribosomes (mitoribosomes) are responsible for protein synthesis within the mitochondrion. The mitoribosomes are composed of a 4:1 ratio of protein to RNA, with the proteins forming two subunits, the 28S subunit and the 39S subunit. Across species, the proteins that make up the mitoribosome subunits vary greatly in sequence, preventing easy recognition by sequence homology. MRP-63 102 amino acid protein that has been identified on the intact 55S mitoribosome subunit. It is theorized that MRP-63 localizes to the subunit interface and dissociates from the 55S mitoribosome during subunit separation.

Subcellular Location:
Mitochondrion.

SWISS:
Q9BQC6

Gene ID:
78988

Database links:

Entrez Gene: 78988 Human

Omim: 611997 Human

SwissProt: Q9BQC6 Human

Unigene: 458367 Human



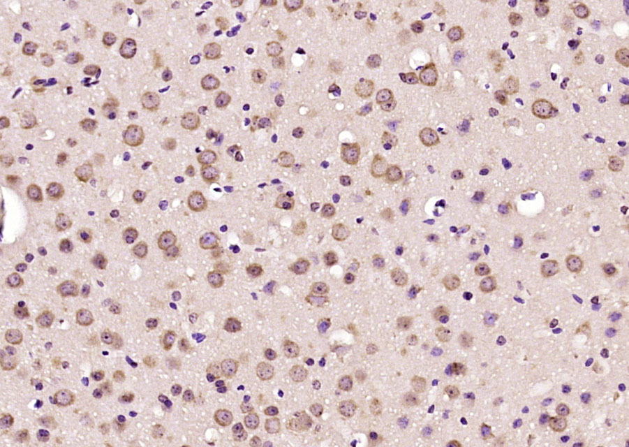
产品图片
Paraformaldehyde-fixed, paraffin embedded (mouse brain); Antigen retrieval by boiling in sodium citrate buffer (pH6.0) for 15min; Block endogenous peroxidase by 3% hydrogen peroxide for 20 minutes; Blocking buffer (normal goat serum) at 37°C for 30min; Antibody incubation with (MRP63) Polyclonal Antibody, Unconjugated (bs-13764R) at 1:200 overnight at 4°C, followed by operating according to SP Kit(Rabbit) (sp-0023) instructionsand DAB staining.
版权所有 2004-2026 www.bioss.com.cn 北京博奥森生物技术有限公司
通过国际质量管理体系ISO 9001:2015 GB/T 19001-2016    证书编号: 00124Q34771R2M/1100
通过国际医疗器械-质量管理体系ISO 13485:2016 GB/T 42061-2022     证书编号: CQC24QY20047R0M/1100
京ICP备05066980号-1         京公网安备110107000727号