扫码关注公众号           扫码咨询技术支持           扫码咨询技术服务
  
客服热线:400-901-9800  客服QQ:4009019800  技术答疑  技术支持  质量反馈  关于我们  联系我们
产品中心-北京博奥森生物技术有限公司
首页 > 产品中心 > 一抗 > 产品信息
OAS3 Rabbit pAb (bs-7344R)  
订购热线:400-901-9800
订购邮箱:sales@bioss.com.cn
订购QQ:  400-901-9800
技术支持:techsupport@bioss.com.cn
50ul/1180.00元
100ul/1980.00元
200ul/2800.00元
大包装/询价

产品编号 bs-7344R
英文名称 OAS3 Rabbit pAb
中文名称 2'-5'-寡腺苷酸合成酶3抗体
别    名 (2-5'')oligo(A) synthase 3; 2 5' oligo(A) synthetase 3; 2 5'LIGO; 2 5A synthetase 3; 2''-5''-oligoadenylate synthase 3; 2-5A synthase 3; MGC133260; OAS3 2' 5' oligoadenylate synthetase 3, 100kDa; OAS3; OAS3_HUMAN; p100; p100 OAS; p100OAS.  
研究领域 细胞生物  免疫学  表观遗传学  
抗体来源 Rabbit
克隆类型 Polyclonal
克 隆 号
交叉反应 Human,Mouse (predicted: Rat)
产品应用 WB=1:500-2000,IHC-P=1:100-500,IHC-F=1:100-500,IF=1:100-500
not yet tested in other applications.
optimal dilutions/concentrations should be determined by the end user.
理论分子量 121 kDa
检测分子量
细胞定位 细胞浆 细胞膜 
性    状 Liquid
浓    度 1mg/ml
免 疫 原 KLH conjugated synthetic peptide derived from human OAS3: 901-1000/1087 
亚    型 IgG
纯化方法 affinity purified by Protein A
缓 冲 液 0.01M TBS (pH7.4) with 1% BSA, 0.02% Proclin300 and 50% Glycerol.
保存条件 Shipped at 4℃. Store at -20℃ for one year. Avoid repeated freeze/thaw cycles.
注意事项 This product as supplied is intended for research use only, not for use in human, therapeutic or diagnostic applications.
PubMed PubMed
产品介绍 The 2'- 5'- oligoadenylate synthetase (OAS) family is comprised of four members: OAS1, OAS2, OAS3 and OASL. These proteins are induced by interferons and function to convert ATP into 2'- 5'- linked oligomers of adenosine in the presence of double-stranded RNA and magnesium ions. Copper, iron and zinc ions strongly inhibit the OAS enzymatic activity, while manganese ions can replace magnesium ions as an activator. The OAS family plays a significant role in the inhibition of cellular protein synthesis, apoptosis and growth, and its members are important factors in viral infection resistance. OAS3, also referred to as p100, contains three adjacent OAS1-like domains and maps to the human chromosome 12q24.2

Function:
May play a role in mediating resistance to virus infection, control of cell growth, differentiation, and apoptosis. OAS3 synthesizes preferentially dimeric 2',5'-oligoadenylate molecules. GTP can be an alternative substrate.

Tissue Specificity:
Present at high level in placenta trophoblast.

Similarity:
Belongs to the 2-5A synthase family.

SWISS:
Q9Y6K5

Gene ID:
4940

Database links:

Entrez Gene: 4940 Human

Omim: 603351 Human

SwissProt: Q9Y6K5 Human

Unigene: 528634 Human



产品图片
Sample: Placenta (Mouse) Lysate at 40 ug Primary: Anti-OAS3 (bs-7344R) at 1/1000 dilution Secondary: IRDye800CW Goat Anti-Rabbit IgG at 1/20000 dilution Predicted band size: 121 kD Observed band size: 121 kD
Sample: A431(Human) Cell Lysate at 30 ug Primary: Anti-OAS3 (bs-7344R) at 1/1000 dilution Secondary: IRDye800CW Goat Anti-Rabbit IgG at 1/20000 dilution Predicted band size: 121 kD Observed band size: 121 kD
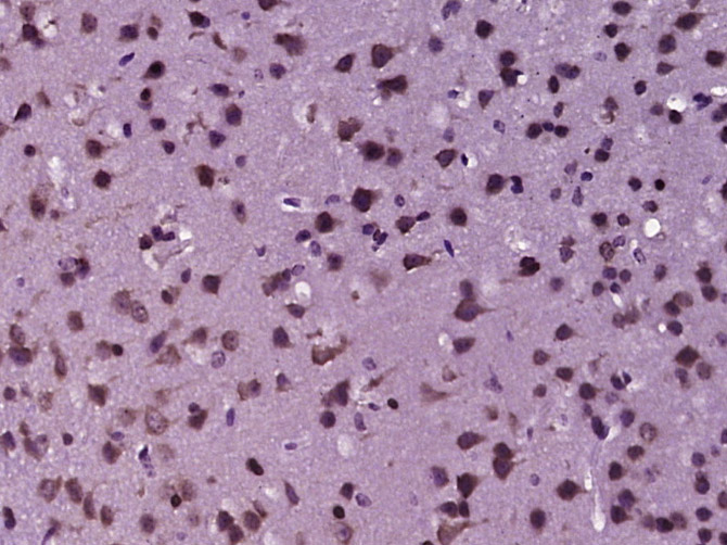
Paraformaldehyde-fixed, paraffin embedded (mouse brain tissue); Antigen retrieval by boiling in sodium citrate buffer (pH6.0) for 15min; Block endogenous peroxidase by 3% hydrogen peroxide for 20 minutes; Blocking buffer (normal goat serum) at 37°C for 30min; Antibody incubation with (OAS3) Polyclonal Antibody, Unconjugated (bs-7344R) at 1:400 overnight at 4°C, followed by operating according to SP Kit(Rabbit) (sp-0023) instructionsand DAB staining.
版权所有 2004-2026 www.bioss.com.cn 北京博奥森生物技术有限公司
通过国际质量管理体系ISO 9001:2015 GB/T 19001-2016    证书编号: 00124Q34771R2M/1100
通过国际医疗器械-质量管理体系ISO 13485:2016 GB/T 42061-2022     证书编号: CQC24QY20047R0M/1100
京ICP备05066980号-1         京公网安备110107000727号