扫码关注公众号           扫码咨询技术支持           扫码咨询技术服务
  
客服热线:400-901-9800  客服QQ:4009019800  技术答疑  技术支持  质量反馈  关于我们  联系我们
产品中心-北京博奥森生物技术有限公司
首页 > 产品中心 > 一抗 > 产品信息
phospho-IKB epsilon (Ser22) Rabbit pAb (bs-15582R)  
订购热线:400-901-9800
订购邮箱:sales@bioss.com.cn
订购QQ:  400-901-9800
技术支持:techsupport@bioss.com.cn
50ul/1180.00元
100ul/1980.00元
200ul/2800.00元
大包装/询价

产品编号 bs-15582R
英文名称 phospho-IKB epsilon (Ser22) Rabbit pAb
中文名称 NF-kappa-B抑制子epsilon抗体
别    名 IKB epsilon(phospho S22); p-IKB epsilon(phospho S22); I kappa B epsilon; I-kappa-B-epsilon; IkappaBepsilon; IkB E; IkB-E; IkB-epsilon; IKBE; IKBE_MOUSE; MGC72568; NF kappa B inhibitor epsilon; NF kappa BIE; NF-kappa-B inhibitor epsilon; NF-kappa-BIE; NFkappa BIE; NFkappaB inhibitor epsilon; NFKBIE; Nuclear factor of kappa light polypeptide gene enhancer in B cells inhibitor epsilon; OTTHUMP00000016522; Slc35b2; solute carrier family 35, member B2.  
研究领域 细胞生物  免疫学  染色质和核信号  信号转导  转录调节因子  表观遗传学  
抗体来源 Rabbit
克隆类型 Polyclonal
克 隆 号
交叉反应 Mouse,Rat (predicted: Human,Sheep,Cow)
产品应用 WB=1:500-2000,IHC-P=1:100-500,IHC-F=1:100-500,IF=1:100-500
not yet tested in other applications.
optimal dilutions/concentrations should be determined by the end user.
理论分子量 39 kDa
检测分子量
细胞定位 细胞浆 
性    状 Liquid
浓    度 1mg/ml
免 疫 原 KLH conjugated synthesised phosphopeptide derived from human IKB epsilon around the phosphorylation site of Ser22: LR(p-S)LR 
亚    型 IgG
纯化方法 affinity purified by Protein A
缓 冲 液 0.01M TBS (pH7.4) with 1% BSA, 0.02% Proclin300 and 50% Glycerol.
保存条件 Shipped at 4℃. Store at -20℃ for one year. Avoid repeated freeze/thaw cycles.
注意事项 This product as supplied is intended for research use only, not for use in human, therapeutic or diagnostic applications.
PubMed PubMed
产品介绍 The protein encoded by this gene binds to components of NF-kappa-B, trapping the complex in the cytoplasm and preventing it from activating genes in the nucleus. Phosphorylation of the encoded protein targets it for destruction by the ubiquitin pathway, which activates NF-kappa-B by making it available to translocate to the nucleus. [provided by RefSeq, Sep 2011]

Function:
Inhibits NF-kappa-B by complexing with and trapping it in the cytoplasm. Inhibits DNA-binding of NF-kappa-B p50-p65 and p50-c-Rel complexes.

Subunit:
Interacts with RELA, REL, NFKB1 nuclear factor NF-kappa-B p50 subunit and NFKB2 nuclear factor NF-kappa-B p52 subunit.

Subcellular Location:
Cytoplasm.

Post-translational modifications:
Serine phosphorylated; followed by proteasome-dependent degradation.

Similarity:
Belongs to the NF-kappa-B inhibitor family.
Contains 6 ANK repeats.

SWISS:
O00221

Gene ID:
4794

Database links:

Entrez Gene: 4794 Human

Entrez Gene: 18037 Mouse

Omim: 604548 Human

SwissProt: O00221 Human

SwissProt: O54910 Mouse

Unigene: 458276 Human

Unigene: 57043 Mouse



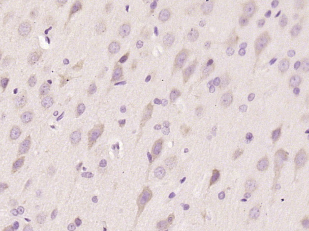
产品图片
Sample: Lymph node (Mouse) Lysate at 40 ug Primary: Anti-phospho-IKB epsilon (Ser22) (bs-15582R) at 1/300 dilution Secondary: IRDye800CW Goat Anti-Rabbit IgG at 1/20000 dilution Predicted band size: 39 kD Observed band size: 39 kD
Paraformaldehyde-fixed, paraffin embedded (rat brain tissue); Antigen retrieval by boiling in sodium citrate buffer (pH6.0) for 15min; Block endogenous peroxidase by 3% hydrogen peroxide for 20 minutes; Blocking buffer (normal goat serum) at 37°C for 30min; Antibody incubation with (IKB epsilon (Ser22)) Polyclonal Antibody, Unconjugated (bs-15582R) at 1:400 overnight at 4°C, followed by operating according to SP Kit(Rabbit) (sp-0023) instructionsand DAB staining.
版权所有 2004-2026 www.bioss.com.cn 北京博奥森生物技术有限公司
通过国际质量管理体系ISO 9001:2015 GB/T 19001-2016    证书编号: 00124Q34771R2M/1100
通过国际医疗器械-质量管理体系ISO 13485:2016 GB/T 42061-2022     证书编号: CQC24QY20047R0M/1100
京ICP备05066980号-1         京公网安备110107000727号