扫码关注公众号           扫码咨询技术支持           扫码咨询技术服务
  
客服热线:400-901-9800  客服QQ:4009019800  技术答疑  技术支持  质量反馈  人才招聘  关于我们  联系我们
产品中心-北京博奥森生物技术有限公司
首页 > 产品中心 > 一抗 > 产品信息
GPI Rabbit pAb (bs-10419R)  
订购热线:400-901-9800
订购邮箱:sales@bioss.com.cn
订购QQ:  400-901-9800
技术支持:techsupport@bioss.com.cn
50ul/1180.00元
100ul/1980.00元
200ul/2800.00元
大包装/询价

产品编号 bs-10419R
英文名称 GPI Rabbit pAb
中文名称 糖磷脂酰肌醇抗体
别    名 AMF; CNSHA4; GNPI; NLK; PGI; PHI; SA-36; SA36; Gpi; Gpi-1; Gpi-1r; Gpi-1s; Gpi-1t; Gpi1-r; Gpi1-s; Gpi1-t; Gpi1s; MF; NK; NK/GPI; Org; Gpi1; G6PI_HUMAN; Autocrine motility factor (AMF); Neuroleukin (NLK); Phosphoglucose isomerase (PGI); Phosphohexose isomerase (PHI); Sperm antigen 36 (SA-36); 5.3.1.9; G6PI_MOUSE; G6PI_RAT; glucose-6-phosphate isomerase; glucose phosphate isomerase  
Specific References  (1)     |     bs-10419R has been referenced in 1 publications.
[IF=8.168] Shao Fangyu. et al. B cell-derived anti-beta 2 glycoprotein I antibody contributes to hyperhomocysteinaemia-aggravated abdominal aortic aneurysm. Cardiovasc Res. 2020 Sep;116(11):1897-1909  IF ;  Mouse.  
研究领域 肿瘤  细胞生物  免疫学  神经生物学  
抗体来源 Rabbit
克隆类型 Polyclonal
交叉反应 Human,Mouse,Rat (predicted: Pig,Cow,Dog,Horse)
产品应用 WB=1:500-2000,IHC-P=1:100-500,IHC-F=1:100-500,IF=1:100-500
not yet tested in other applications.
optimal dilutions/concentrations should be determined by the end user.
理论分子量 63kDa
检测分子量 60
细胞定位 细胞核 分泌型蛋白 
性    状 Liquid
浓    度 1mg/ml
免 疫 原 KLH conjugated synthetic peptide derived from human Glucose 6 phosphate isomerase: 401-500/558 
亚    型
纯化方法 affinity purified by Protein A
缓 冲 液 0.01M TBS (pH7.4) with 1% BSA, 0.02% Proclin300 and 50% Glycerol.
保存条件 Shipped at 4℃. Store at -20℃ for one year. Avoid repeated freeze/thaw cycles.
注意事项 This product as supplied is intended for research use only, not for use in human, therapeutic or diagnostic applications.
PubMed PubMed
产品介绍 This gene belongs to the GPI family whose members encode multifunctional phosphoglucose isomerase proteins involved in energy pathways. The protein encoded by this gene is a dimeric enzyme that catalyzes the reversible isomerization of glucose-6-phosphate and fructose-6-phosphate. The protein functions in different capacities inside and outside the cell. In the cytoplasm, the gene product is involved in glycolysis and gluconeogenesis, while outside the cell it functions as a neurotrophic factor for spinal and sensory neurons. Defects in this gene are the cause of nonspherocytic hemolytic anemia and a severe enzyme deficiency can be associated with hydrops fetalis, immediate neonatal death and neurological impairment. [provided by RefSeq, Jul 2008].

Function:
Besides it's role as a glycolytic enzyme, mammalian GPI can function as a tumor-secreted cytokine and an angiogenic factor (AMF) that stimulates endothelial cell motility. GPI is also a neurotrophic factor (Neuroleukin) for spinal and sensory neurons.

Subunit:
Homodimer in the catalytically active form, monomer in the secreted form.

Subcellular Location:
Cytoplasm. Secreted.

Post-translational modifications:
Phosphorylation at Ser-185 by CK2 has been shown to decrease enzymatic activity and may contribute to secretion by a non-classical secretory pathway.
ISGylated.

DISEASE:
Defects in GPI are the cause of hemolytic anemia non-spherocytic due to glucose phosphate isomerase deficiency (HA-GPID) [MIM:613470]. It is a form of anemia in which there is no abnormal hemoglobin or spherocytosis. It is caused by glucose phosphate isomerase deficiency. Severe GPI deficiency can be associated with hydrops fetalis, immediate neonatal death and neurological impairment.

Similarity:
Belongs to the GPI family.

SWISS:
P06744

Gene ID:
2821

Database links:

Entrez Gene: 2821 Human

Entrez Gene: 14751 Mouse

Omim: 172400 Human

SwissProt: P06744 Human

SwissProt: P06745 Mouse

Unigene: 466471 Human

Unigene: 589 Mouse



产品图片
Sample: Lane 1: Mouse Testis tissue lysates Lane 2: Mouse Esophagus tissue lysates Lane 3: Rat Testis tissue lysates Lane 4: Rat Esophagus tissue lysates Lane 5: Human MCF-7 cell lysates Lane 6: Human HeLa cell lysates Lane 7: Human U251 cell lysates Lane 8: Human HepG2 cell lysates Primary: Anti-GPI (bs-10419R) at 1/1000 dilution Secondary: IRDye800CW Goat Anti-Rabbit IgG at 1/20000 dilution Predicted band size: 63 kDa Observed band size: 60 kDa
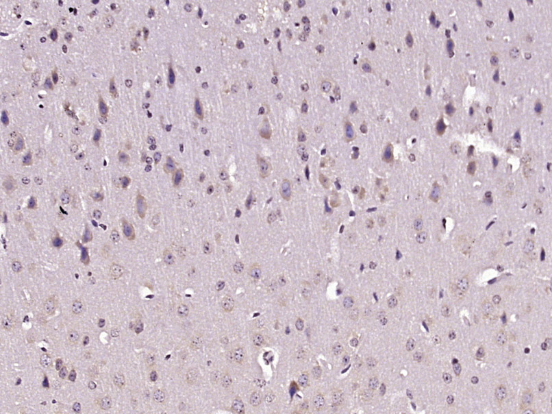
Paraformaldehyde-fixed, paraffin embedded (Mouse brain); Antigen retrieval by boiling in sodium citrate buffer (pH6.0) for 15min; Block endogenous peroxidase by 3% hydrogen peroxide for 20 minutes; Blocking buffer (normal goat serum) at 37°C for 30min; Antibody incubation with (GPI) Polyclonal Antibody, Unconjugated (bs-10419R) at 1:400 overnight at 4°C, followed by operating according to SP Kit(Rabbit) (sp-0023) instructionsand DAB staining.
版权所有 2004-2026 www.bioss.com.cn 北京博奥森生物技术有限公司
通过国际质量管理体系ISO 9001:2015 GB/T 19001-2016    证书编号: 00124Q34771R2M/1100
通过国际医疗器械-质量管理体系ISO 13485:2016 GB/T 42061-2022     证书编号: CQC24QY20047R0M/1100
京ICP备05066980号-1         京公网安备110107000727号