扫码关注公众号           扫码咨询技术支持           扫码咨询技术服务
  
客服热线:400-901-9800  客服QQ:4009019800  技术答疑  技术支持  质量反馈  人才招聘  关于我们  联系我们
产品中心-北京博奥森生物技术有限公司
首页 > 产品中心 > 一抗 > 产品信息
HDPTP Rabbit pAb (bs-15434R)  
订购热线:400-901-9800
订购邮箱:sales@bioss.com.cn
订购QQ:  400-901-9800
技术支持:techsupport@bioss.com.cn
50ul/1180.00元
100ul/1980.00元
200ul/2800.00元
大包装/询价

产品编号 bs-15434R
英文名称 HDPTP Rabbit pAb
中文名称 His 结构域内含酪氨酸磷酸酶蛋白抗体
别    名 HD-PTP; HDPTP; NEDBASS; PTP-TD14; Q8N6Z5_HUMAN; PTN23_HUMAN; PTPN23; His domain-containing protein tyrosine phosphatase (HD-PTP); Protein tyrosine phosphatase TD14 (PTP-TD14); 3.1.3.48; KIAA1471; PTN23_MOUSE; Q8R1Z5_MOUSE; PTN23_RAT; Q9QZP8_RAT;   
研究领域 信号转导  
抗体来源 Rabbit
克隆类型 Polyclonal
克 隆 号
交叉反应 Human,Rat (predicted: Mouse,Pig,Chicken)
产品应用 IHC-P=1:100-500,IHC-F=1:100-500,IF=1:100-500,Flow-Cyt=1μg/Test
not yet tested in other applications.
optimal dilutions/concentrations should be determined by the end user.
理论分子量 179 kDa
细胞定位 细胞核 细胞浆 
性    状 Liquid
浓    度 1mg/ml
免 疫 原 KLH conjugated synthetic peptide derived from human HDPTP: 1501-1636/1636 
亚    型 IgG
纯化方法 affinity purified by Protein A
缓 冲 液 0.01M TBS (pH7.4) with 1% BSA, 0.02% Proclin300 and 50% Glycerol.
保存条件 Shipped at 4℃. Store at -20℃ for one year. Avoid repeated freeze/thaw cycles.
注意事项 This product as supplied is intended for research use only, not for use in human, therapeutic or diagnostic applications.
PubMed PubMed
产品介绍 HD-PTP is a 1,636 amino acid protein encoded by the human gene PTPN23. HD-PTP belongs to the protein-tyrosine phosphatase family, non-receptor class subfamily. It contains one BRO1 domain, two TPR repeats and one tyrosine-protein phosphatase domain. The C-terminal region contains the PTP-like domain, whereas the N-terminal region contains the two TPR regions. These regions are homologous to the yeast protein, BRO1, which is involved in the mitogen-activated protein kinase signaling pathway. Similarly, HD-PTP is believed to act as a negative regulator of Ras-mediated mitogenic activity and is phosphorylated upon DNA damage, probably by ATM or ATR. HD-PTP protein is differentially modulated by two angiogenic growth factors. While Vascular Endothelial Growth Factor (VEGF) has no affect on protein levels, Fibroblast Growth Factor-2 (FGF-2) induces HD-PTP degradation via the proteasome system.

Function:
May act as a negative regulator of Ras-mediated mitogenic activity. Plays a role in ciliogenesis.

Subunit:
Interacts with GRAP2 and GRB2.

Subcellular Location:
Nucleus. Cytoplasm. Cytoplasmic vesicle. Endosome. Cytoplasm, cytoskeleton, cilium basal body.

Similarity:
Belongs to the protein-tyrosine phosphatase family. Non-receptor class subfamily.
Contains 1 BRO1 domain.
Contains 2 TPR repeats.
Contains 1 tyrosine-protein phosphatase domain.

SWISS:
Q9H3S7

Gene ID:
25930

Database links:

Entrez Gene: 25930 Human

Entrez Gene: 104831 Mouse

Entrez Gene: 117552 Rat

Omim: 606584 Human

SwissProt: Q8N6Z5 Human

SwissProt: Q9H3S7 Human

SwissProt: Q6PB44 Mouse

SwissProt: Q8R1Z5 Mouse

SwissProt: O88902 Rat

SwissProt: Q9QZP8 Rat

Unigene: 25524 Human

Unigene: 123884 Mouse

Unigene: 335477 Mouse

Unigene: 54442 Rat



产品图片
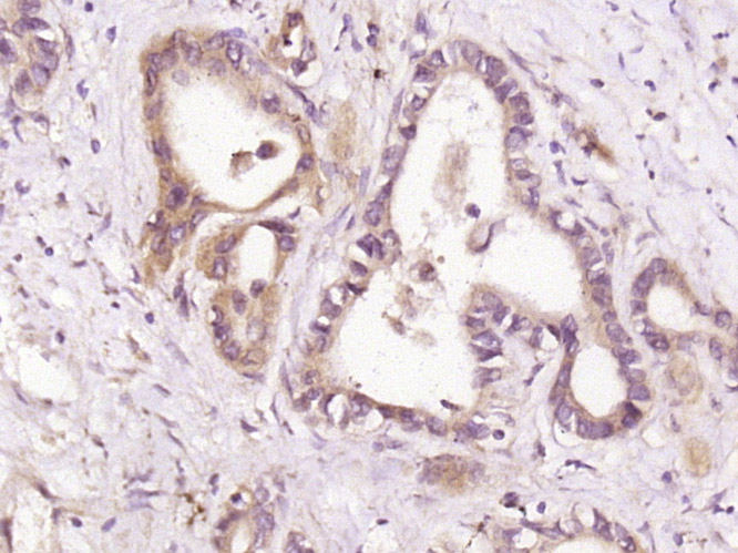
Paraformaldehyde-fixed, paraffin embedded (human gastric carcinoma); Antigen retrieval by boiling in sodium citrate buffer (pH6.0) for 15min; Block endogenous peroxidase by 3% hydrogen peroxide for 20 minutes; Blocking buffer (normal goat serum) at 37°C for 30min; Antibody incubation with (HDPTP) Polyclonal Antibody, Unconjugated (bs-15434R) at 1:400 overnight at 4°C, followed by operating according to SP Kit(Rabbit) (sp-0023) instructionsand DAB staining.
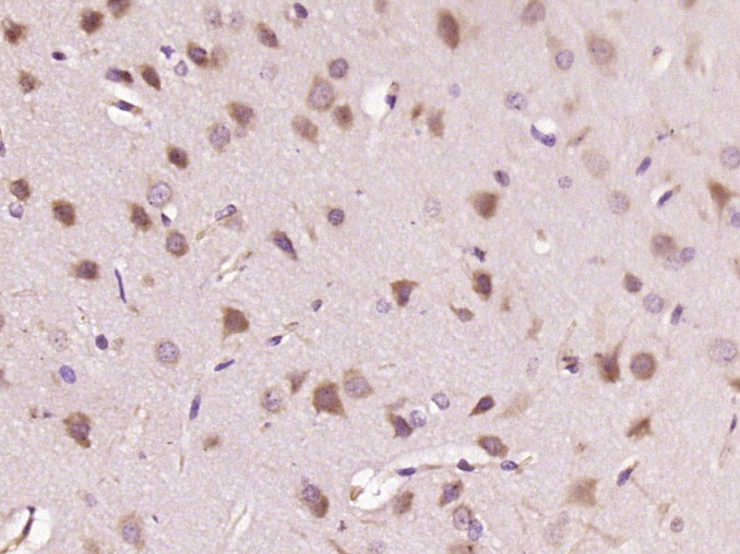
Paraformaldehyde-fixed, paraffin embedded (rat brain tissue); Antigen retrieval by boiling in sodium citrate buffer (pH6.0) for 15min; Block endogenous peroxidase by 3% hydrogen peroxide for 20 minutes; Blocking buffer (normal goat serum) at 37°C for 30min; Antibody incubation with (HDPTP) Polyclonal Antibody, Unconjugated (bs-15434R) at 1:400 overnight at 4°C, followed by operating according to SP Kit(Rabbit) (sp-0023) instructionsand DAB staining.
Blank control: Hela(blue), the cells were fixed with 2% paraformaldehyde (10 min) and then permeabilized with ice-cold 90% methanol for 30 min on ice.. Isotype Control Antibody: Rabbit IgG(orange) ; Secondary Antibody: Goat anti-rabbit IgG-FITC(white blue), Dilution: 1:100 in 1 X PBS containing 0.5% BSA ; Primary Antibody Dilution: 1μg in 100 μL1X PBS containing 0.5% BSA(green).
版权所有 2004-2026 www.bioss.com.cn 北京博奥森生物技术有限公司
通过国际质量管理体系ISO 9001:2015 GB/T 19001-2016    证书编号: 00124Q34771R2M/1100
通过国际医疗器械-质量管理体系ISO 13485:2016 GB/T 42061-2022     证书编号: CQC24QY20047R0M/1100
京ICP备05066980号-1         京公网安备110107000727号