扫码关注公众号           扫码咨询技术支持           扫码咨询技术服务
  
客服热线:400-901-9800  客服QQ:4009019800  技术答疑  技术支持  质量反馈  关于我们  联系我们
产品中心-北京博奥森生物技术有限公司
首页 > 产品中心 > 一抗 > 产品信息
Defensin alpha 5 Rabbit pAb (bs-4313R)  
订购热线:400-901-9800
订购邮箱:sales@bioss.com.cn
订购QQ:  400-901-9800
技术支持:techsupport@bioss.com.cn
50ul/1180.00元
100ul/1980.00元
200ul/2800.00元
大包装/询价

产品编号 bs-4313R
英文名称 Defensin alpha 5 Rabbit pAb
中文名称 防御素α5抗体
别    名 alpha 5; alpha 5 Defensin; DEF5; DEF5_HUMAN; Defa; Defa29; DEFA5; Defcr29; Defcr5; Defensin 5; Defensin alpha 5; Defensin alpha 5 Paneth cell specific; Defensin alpha 5 preproprotein; Defensin; Enteric defensin; HD 5; HD5; HD5(20-94); HD5(63-94); MGC129728; RD 5.  
研究领域 细胞生物  免疫学  
抗体来源 Rabbit
克隆类型 Polyclonal
克 隆 号
交叉反应 Human
产品应用 IHC-P=1:100-500,IHC-F=1:100-500,IF=1:100-500
not yet tested in other applications.
optimal dilutions/concentrations should be determined by the end user.
理论分子量 7.8 kDa
检测分子量
细胞定位 分泌型蛋白 
性    状 Liquid
浓    度 1mg/ml
免 疫 原 KLH conjugated synthetic peptide derived from human Defensin alpha 5: 31-94/94 
亚    型 IgG
纯化方法 affinity purified by Protein A
缓 冲 液 0.01M TBS (pH7.4) with 1% BSA, 0.02% Proclin300 and 50% Glycerol.
保存条件 Shipped at 4℃. Store at -20℃ for one year. Avoid repeated freeze/thaw cycles.
注意事项 This product as supplied is intended for research use only, not for use in human, therapeutic or diagnostic applications.
PubMed PubMed
产品介绍 Has antimicrobial activity against Gram-negative and Gram-positive bacteria. Defensins are thought to kill microbes by permeabilizing their plasma membrane. All DEFA5 peptides exert antimicrobial activities, but their potency is affected by peptide processing.

Subcellular Location:
Secreted. Cytoplasmic vesicle > secretory vesicle. Peptides HD5(20-94), HD5(23-94) and HD5(29-94) are found within tissues, HD5(20-94) being the predominant intracellular form. Peptides HD5(56-94) and HD5(63-94) are found in the extracellular milieu, HD5(63-94) being the most abundant form.

Tissue Specificity:
Paneth cells of the small intestine (at protein level).

Post-translational modifications:
Glycosylated.

Similarity:
Belongs to the alpha-defensin family.

SWISS:
Q01523

Gene ID:
1670

Database links:

Entrez Gene: 1670 Human

Omim: 600472 Human

SwissProt: Q01523 Human

Unigene: 655233 Human



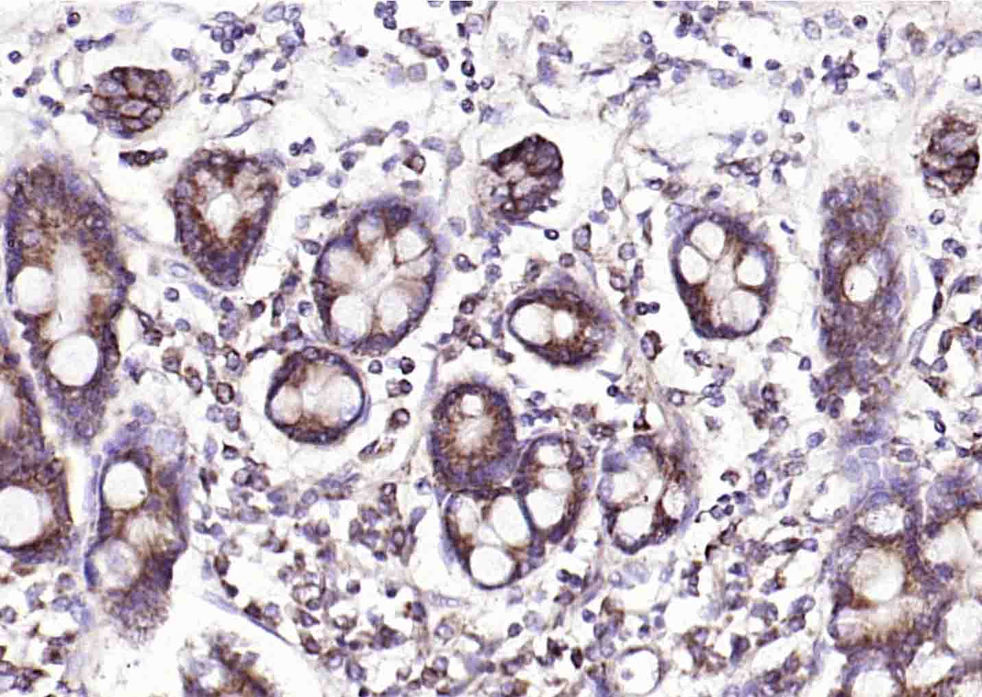
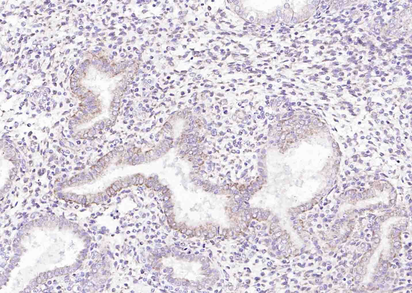
产品图片
Paraformaldehyde-fixed, paraffin embedded (human endometrial); Antigen retrieval by boiling in sodium citrate buffer (pH6.0) for 15min; Block endogenous peroxidase by 3% hydrogen peroxide for 20 minutes; Blocking buffer (normal goat serum) at 37°C for 30min; Incubation with (Defensin alpha 5) Polyclonal Antibody, Unconjugated (bs-4313R) at 1:200 overnight at 4°C, followed by operating according to SP Kit(Rabbit) (sp-0023) instructionsand DAB staining.
Paraformaldehyde-fixed, paraffin embedded (Human duodenum); Antigen retrieval by boiling in sodium citrate buffer (pH6.0) for 15min; Block endogenous peroxidase by 3% hydrogen peroxide for 20 minutes; Blocking buffer (normal goat serum) at 37°C for 30min; Incubation with (Defensin alpha 5) Polyclonal Antibody, Unconjugated (bs-4313R) at 1:200 overnight at 4°C, followed by operating according to SP Kit(Rabbit) (sp-0023) instructionsand DAB staining.
版权所有 2004-2026 www.bioss.com.cn 北京博奥森生物技术有限公司
通过国际质量管理体系ISO 9001:2015 GB/T 19001-2016    证书编号: 00124Q34771R2M/1100
通过国际医疗器械-质量管理体系ISO 13485:2016 GB/T 42061-2022     证书编号: CQC24QY20047R0M/1100
京ICP备05066980号-1         京公网安备110107000727号