扫码关注公众号           扫码咨询技术支持           扫码咨询技术服务
  
客服热线:400-901-9800  客服QQ:4009019800  技术答疑  技术支持  质量反馈  关于我们  联系我们
产品中心-北京博奥森生物技术有限公司
首页 > 产品中心 > 一抗 > 产品信息
alpha smooth muscle Actin Rabbit pAb (bs-10196R)  
订购热线:400-901-9800
订购邮箱:sales@bioss.com.cn
订购QQ:  400-901-9800
技术支持:techsupport@bioss.com.cn
50ul/1180.00元
100ul/1980.00元
200ul/2800.00元
大包装/询价

产品编号 bs-10196R
英文名称 alpha smooth muscle Actin Rabbit pAb
中文名称 肌动蛋白α/α-SMA/α Actin抗体
别    名 alpha sarcomeric Actin; alpha smooth muscle Actin; Actin alpha; ASMA; ASM-A; alpha-SMA; alpha SMA; AAT6; ACTA2; Actin alpha 2 smooth muscle aorta; Actin aortic smooth muscle; ACTSA; ACTVS; alpha 2 actin; alpha cardiac actin; alpha-actin 2; Cell growth inhibiting gene 46 protein; Growth inhibiting gene 46; ACTA_HUMAN; Actin alpha 2 smooth muscle aorta; Actin aortic smooth muscle; Actin, aortic smooth muscle; alpha 2 actin; alpha actin 2; alpha cardiac actin; alpha-actin 2; alpha-actin-2; Cell growth inhibiting gene 46 protein; Cell growth-inhibiting gene 46 protein; Growth inhibiting gene 46; MYMY5  α-Smooth Muscle Actin; α Smooth Muscle Actin;
Specific References  (86)     |     bs-10196R has been referenced in 86 publications.
[IF=14.593] Binbin He. et al. 3D printed biomimetic epithelium/stroma bilayer hydrogel implant for corneal regeneration. Bioact Mater. 2022 Jan;:  IF ;  Rabbit.  
[IF=12.479] Pan Zhang. et al. The programmed site-specific delivery of LY3200882 and PD-L1 siRNA boosts immunotherapy for triple-negative breast cancer by remodeling tumor microenvironment. BIOMATERIALS. Biomaterials. 2022 Apr;:121518  IHC ;  Mouse.  
[IF=11.6] Na Ning. et al. Inhibition of acylglycerol kinase sensitizes DLBCL to venetoclax via upregulation of FOXO1-mediated BCL-2 expression. THERANOSTICS. 2022; 12(12): 5537–5550  IHC ;  Mouse.  
[IF=11.322] Yonghong Fan. et al. Construction of tissue-engineered vascular grafts with high patency by mimicking immune stealth and blocking TGF-β mediated endothelial-to-mesenchymal transition. COMPOS PART B-ENG. 2023 Feb;251:110487  IF ;  Human.  
[IF=10.75] Liu, Zhenni. et al. CD73/NT5E-mediated ubiquitination of AURKA regulates alcohol-related liver fibrosis via modulating hepatic stellate cell senescence. INT J BIOL SCI. 2023 Jan;19(3):950-966  WB ;  Human,Mouse.  
[IF=8.101] Ming-Xin Sun. et al. Aristolochic acid I exposure triggers ovarian dysfunction by activating NLRP3 inflammasome and affecting mitochondrial homeostasis. FREE RADICAL BIO MED. 2023 May;:  WB ;  Mouse.  
[IF=7.963] Meiqiong Wu. et al. Suppression of NADPH oxidase 4 inhibits PM2.5-induced cardiac fibrosis through ROS-P38 MAPK pathway. SCI TOTAL ENVIRON. 2022 Apr;:155558  IF ;  Rat.  
[IF=7.666] Xiaolan Zhang. et al. Comparative Analysis of mRNA and miRNA Expression between Dermal Papilla Cells and Hair Matrix Cells of Hair Follicles in Yak. CELLS-BASEL. 2022 Jan;11(24):3985  IF ;  Yak.  
[IF=7.658] Hong Zhu. et al. Sennoside A alleviates inflammatory responses by inhibiting the hypermethylation of SOCS1 in CCl4-induced liver fibrosis. Pharmacol Res. 2021 Oct;:105926  WB,IHC ;  Mouse,Rat.  
[IF=6.656] Changlin Du. et al. Hastatoside attenuates carbon tetrachloride-induced liver fibrosis by targeting glycogen synthase kinase-3β. PHYTOMEDICINE. 2022 Dec;:154585  IF, WB ;  Mouse, Human.  
[IF=6.543] Yang Lili. et al. Elucidating the Novel Mechanism of Ligustrazine in Preventing Postoperative Peritoneal Adhesion Formation. Oxid Med Cell Longev. 2022;2022:9226022  WB,IF ;  Rat,Human.  
[IF=6.529] Han Ding. et al. JQ-1 ameliorates schistosomiasis liver fibrosis by suppressing JAK2 and STAT3 activation. Biomed Pharmacother. 2021 Dec;144:112281  IHC ;  Mouse.  
[IF=6.291] Si-Cheng Zhao. et al. Nickel sulfate exposure induces ovarian inflammation and fibrosis and decreases oocyte quality in mice. Ecotox Environ Safe. 2021 Nov;224:112634  WB ;  Mouse.  
[IF=6.208] Yongxin Guo. et al. Beneficial Effects of Oleosomes Fused with Human Fibroblast Growth Factor 1 on Wound Healing via the Promotion of Angiogenesis. INT J MOL SCI. 2022 Jan;23(21):13152  IHC, IF ;  Rat.  
[IF=6.1] Miao Cheng. et al. BRD4 promotes hepatic stellate cells activation and hepatic fibrosis via mediating P300/H3K27ac/PLK1 axis. BIOCHEM PHARMACOL. 2023 Apr;210:115497  IHC,WB ;  Mouse.  
[IF=5.988] Liu Hui. et al. CaM/CaMKII mediates activation and proliferation of hepatic stellate cells regulated by ASIC1a. FRONT PHARMACOL. 2022 Dec;13:5319  WB ;  Rat.  
[IF=5.959] Hou L et al. Nontoxic concentration of ochratoxin A decreases the dosage of cyclosporine A to induce chronic nephropathy model via autophagy mediated by toll-like receptor 4. Cell Death Dis. 2020 Feb 27;11(2):153.  IF ;  human.  
[IF=5.895] Heng Du. et al. Nontoxic Concentration of Ochratoxin A Aggravates Renal Fibrosis Induced by Adriamycin/Cyclosporine A Nephropathy via TGF-β1/SMAD2/3. J AGR FOOD CHEM. 2022;XXXX(XXX):XXX-XXX  WB ;  Human.  
[IF=5.878] Xiaohui Chen. et al. Eleutheroside B-loaded poly (lactic-co-glycolic acid) nanoparticles protect against renal fibrosis via Smad3-dependent mechanism. 2021 Sep 28  WB ;  human, mouse.  
[IF=5.785] Guannan Le. et al. Ochratoxin A induced differentiation nephrotoxicity in renal tubule and glomeruli via autophagy differential regulation. ENVIRON TOXICOL PHAR. 2022 Oct;95:103973  WB, IF ;  Mouse, Human.  
[IF=5.714] Zi Xuan Li. et al. Blocking P2X4 purinergic receptor attenuates alcohol-related liver fibrosis by inhibiting hepatic stellate cell activation through PI3K/AKT signaling pathway. INT IMMUNOPHARMACOL. 2022 Dec;113:109326  WB ;  Mouse, Rat.  
[IF=5.714] Xue Wu. et al. CD73 aggravates alcohol-related liver fibrosis by promoting autophagy mediated activation of hepatic stellate cells through AMPK/AKT/mTOR signaling pathway. INT IMMUNOPHARMACOL. 2022 Dec;113:109229  WB, IF ;  Mouse, Rat.  
[IF=5.714] Yutong Han. et al. Eplerenone inhibits the macrophage-to-myofibroblast transition in rats with UUO-induced type 4 cardiorenal syndrome through the MR/CTGF pathway. INT IMMUNOPHARMACOL. 2022 Dec;113:109396  IHC ;  Rat.  
[IF=5.638] Wang et al. MiR-130a-3p attenuates activation and induces apoptosis of hepatic stellate cells in nonalcoholic fibrosing steatohepatitis by directly targeting TGFBR1 and TGFBR2. (2017) Cell.Death.Dis. 8:e2792  WB ;  Mouse.  
[IF=5.364] Guangfa Bao. et al. Inhibition of Poly(ADP-ribose) Polymerase Sensitizes [177Lu]Lu-DOTAGA.(SA.FAPi)2-Mediated Radiotherapy in Triple-Negative Breast Cancer. MOL PHARMACEUT. 2023;XXXX(XXX):XXX-XXX  IHC ;  Mouse.  
[IF=4.679] Le G et al. Ochratoxin A induces glomerular injury through activating the ERK/NF-κB signaling pathway. Food Chem Toxicol. 2020 Sep;143:111516.  WB&ICF ;  Human.  
[IF=4.679] Le G et al. Ochratoxin A Induces Glomerular Injury Through Activating the ERK/NF-κB Signaling Pathway. Food Chem Toxicol. 2020 Jun 29;111516.  
[IF=4.679] Guannan Leet al. Ochratoxin A induces glomerular injury through activating the ERK/NF-κB signaling pathway. Food Chem Toxicol . 2020 Sep;143:111516.  WB ;  Human.  
[IF=4.679] Gong Y et al. Smad3 C-terminal phosphorylation site mutation attenuates the hepatoprotective effect of salvianolic acid B against hepatocarcinogenesisFood Chem Toxicol.2021 Jan;147:111912.  WB、IF ;  Mouse.  
[IF=4.556] Jiang L et al. Detecting Vulnerable Atherosclerotic Plaques by 68Ga-Labeled Divalent Cystine Knot Peptide. Mol Pharm. 2019 Mar 4;16(3):1350-1357.  IF ;  Mouse.  
研究领域 肿瘤  细胞生物  免疫学  细胞骨架  
抗体来源 Rabbit
克隆类型 Polyclonal
克 隆 号
交叉反应 Human,Mouse,Rat (predicted: Rabbit,Dog)
产品应用 WB=1:2000-10000,IHC-P=1:200-800,IHC-F=1:200-800,IF=1:200-800,Flow-Cyt=1μg/Test
not yet tested in other applications.
optimal dilutions/concentrations should be determined by the end user.
理论分子量 42 kDa
检测分子量
细胞定位 细胞浆 
性    状 Liquid
浓    度 1mg/ml
免 疫 原 KLH conjugated synthetic peptide derived from human Actin alpha: 165-260/377 
亚    型 IgG
纯化方法 affinity purified by Protein A
缓 冲 液 0.01M TBS (pH7.4) with 1% BSA, 0.02% Proclin300 and 50% Glycerol.
保存条件 Shipped at 4℃. Store at -20℃ for one year. Avoid repeated freeze/thaw cycles.
注意事项 This product as supplied is intended for research use only, not for use in human, therapeutic or diagnostic applications.
PubMed PubMed
产品介绍 All eukaryotic cells express Actin, which often constitutes as much as 50% of total cellular protein. Actin filaments can form both stable and labile structures and are crucial components of microvilli and the contractile apparatus of muscle cells. While lower eukaryotes, such as yeast, have only one Actin gene, higher eukaryotes have several isoforms encoded by a family of genes. At least six types of Actin are present in mammalian tissues and fall into three classes. alpha-Actin expression is limited to various types of muscle, whereas beta- and gamma-Actin are the principle constituents of filaments in other tissues. Members of the small GTPase family regulate the organization of the Actin cytoskeleton. Rho controls the assembly of Actin stress fibers and focal adhesion. Rac regulates Actin filament accumulation at the plasma membrane. Cdc42 stimulates formation of filopodia.

Function:
Actins are highly conserved proteins that are involved in various types of cell motility and are ubiquitously expressed in all eukaryotic cells.

Subunit:
Polymerization of globular actin (G-actin) leads to a structural filament (F-actin) in the form of a two-stranded helix. Each actin can bind to 4 others.

Subcellular Location:
Cytoplasm, cytoskeleton.

Post-translational modifications:
Oxidation of Met-46 by MICALs (MICAL1, MICAL2 or MICAL3) to form methionine sulfoxide promotes actin filament depolymerization. Methionine sulfoxide is produced stereospecifically, but it is not known whether the (S)-S-oxide or the (R)-S-oxide is produced (By similarity).

DISEASE:
Defects in ACTA2 are the cause of aortic aneurysm familial thoracic type 6 (AAT6) [MIM:611788]. AATs are characterized by permanent dilation of the thoracic aorta usually due to degenerative changes in the aortic wall. They are primarily associated with a characteristic histologic appearance known as 'medial necrosis' or 'Erdheim cystic medial necrosis' in which there is degeneration and fragmentation of elastic fibers, loss of smooth muscle cells, and an accumulation of basophilic ground substance.

Similarity:
Belongs to the actin family.

SWISS:
P62736

Gene ID:
59

Database links:
Entrez Gene: 101021287 Baboon

Entrez Gene: 515610 Cow

Entrez Gene: 59 Human

Entrez Gene: 11475 Mouse

Entrez Gene: 733615 Pig

Entrez Gene: 100009271 Rabbit

Entrez Gene: 81633 Rat

Omim: 102620 Human

SwissProt: P62739 Cow

SwissProt: P62736 Human

SwissProt: P62737 Mouse

SwissProt: P62740 Rabbit

SwissProt: P62738 Rat

Unigene: 500483 Human

Unigene: 213025 Mouse

Unigene: 195319 Rat

Unigene: 3114 Rat



Actin α/α-Actin 是一种具有收缩能力的微丝蛋白,a-SMA广泛分布于几乎所有的肌型细胞中。Actin-α蛋白主要用于检测骨骼肌、平滑肌、血管平滑肌、心肌和肌原性肿瘤 包括:平滑肌瘤、平滑肌肉瘤、横纹肌肉瘤以及肌上细胞和肌上皮瘤。Actin(肌动蛋白)是在所有真核细胞中都表达的高度保守的蛋白质。它们沿微管组成了细胞骨架的主要成分。肌动蛋白至少表达为6种异构形式。它在心脏、骨骼横纹肌组织和某些平滑肌组织中表达,调节其收缩功能。有报导说肌动蛋白在乳房瘤中是高度磷酸化的。肌动蛋白的功能失调也会导致某种类型的心脏病。平滑肌α肌动蛋白使人更感兴趣,因为编码它的基因是相对局限于在血管平滑肌细胞中表达的少数几个基因之一。肌动蛋白是标记平滑肌和肌上皮细胞肿瘤的有效工具。
产品图片
25 ug total protein per lane of various lysates (see on figure) probed with alpha smooth muscle Actin polyclonal antibody, unconjugated (bs-10196R) at 1:2000 dilution and 4°C overnight incubation. Followed by conjugated secondary antibody incubation at r.t. for 60 min.
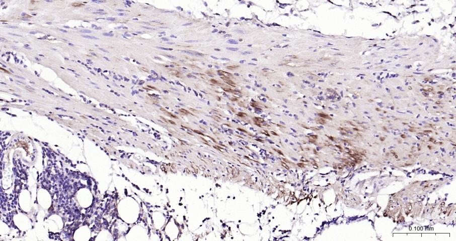
Paraformaldehyde-fixed, paraffin embedded Mouse Stomach; Antigen retrieval by boiling in sodium citrate buffer (pH6.0) for 15 min; The section was incubated with alpha smooth muscle Actin Polyclonal Antibody, Unconjugated (bs-10196R) at 1:200 overnight at 4°C, followed by conjugation to the bs-0295G-HRP and DAB (C-0010) staining.
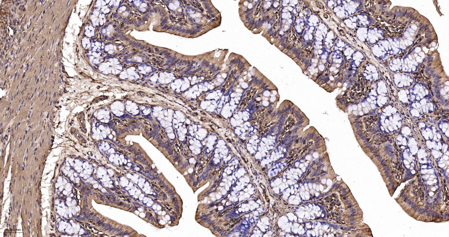
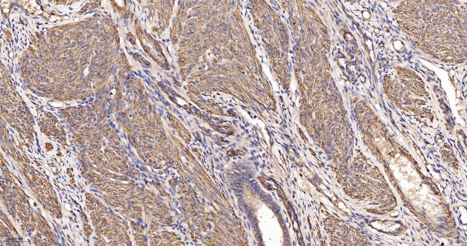
Paraformaldehyde-fixed, paraffin embedded (human colon carcinoma); Antigen retrieval by boiling in sodium citrate buffer (pH6.0) for 15min; Block endogenous peroxidase by 3% hydrogen peroxide for 20 minutes; Blocking buffer (normal goat serum) at 37°C for 30min; Antibody incubation with (alpha smooth muscle Actin) Polyclonal Antibody, Unconjugated (bs-10196R) at 1:200 overnight at 4°C, followed by operating according to SP Kit(Rabbit) (sp-0023) instructionsand
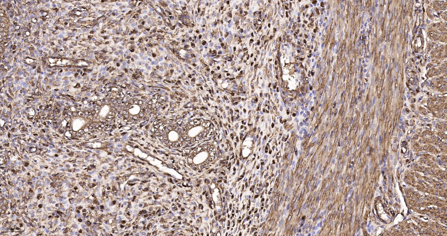
Paraformaldehyde-fixed, paraffin embedded (rat stomach); Antigen retrieval by boiling in sodium citrate buffer (pH6.0) for 15min; Block endogenous peroxidase by 3% hydrogen peroxide for 20 minutes; Blocking buffer (normal goat serum) at 37°C for 30min; Antibody incubation with (alpha smooth muscle Actin) Polyclonal Antibody, Unconjugated (bs-10196R) at 1:200 overnight at 4°C, followed by operating according to SP Kit(Rabbit) (sp-0023) instructionsand DAB staining.
Blank control: NIH/3T3. Primary Antibody (green line): Rabbit Anti-alpha smooth muscle Actin antibody (bs-10196R) Dilution: 1μg /10^6 cells; Isotype Control Antibody (orange line): Rabbit IgG . Secondary Antibody : Goat anti-rabbit IgG-AF488 Dilution: 1μg /test. Protocol The cells were fixed with 4% PFA (10min at room temperature)and then permeabilized with 90% ice-cold methanol for 20 min at -20℃. The cells were then incubated in 5%BSA to block non-specific protein-protein interactions for 30 min at room temperature .Cells stained with Primary Antibody for 30 min at room temperature. The secondary antibody used for 40 min at room temperature. Acquisition of 20,000 events was performed.
版权所有 2004-2026 www.bioss.com.cn 北京博奥森生物技术有限公司
通过国际质量管理体系ISO 9001:2015 GB/T 19001-2016    证书编号: 00124Q34771R2M/1100
通过国际医疗器械-质量管理体系ISO 13485:2016 GB/T 42061-2022     证书编号: CQC24QY20047R0M/1100
京ICP备05066980号-1         京公网安备110107000727号