扫码关注公众号           扫码咨询技术支持           扫码咨询技术服务
  
客服热线:400-901-9800  客服QQ:4009019800  技术答疑  技术支持  质量反馈  关于我们  联系我们
产品中心-北京博奥森生物技术有限公司
首页 > 产品中心 > 一抗 > 产品信息
MYST1/KAT8 Rabbit pAb (bs-4312R)  
订购热线:400-901-9800
订购邮箱:sales@bioss.com.cn
订购QQ:  400-901-9800
技术支持:techsupport@bioss.com.cn
50ul/1180.00元
100ul/1980.00元
200ul/2800.00元
大包装/询价

产品编号 bs-4312R
英文名称 MYST1/KAT8 Rabbit pAb
中文名称 组蛋白乙酰转移酶MOF抗体
别    名 EC 2.3.1.48; Histone acetyltransferase KAT8; Histone acetyltransferase MYST1; hMOF; K(lysine) acetyltransferase 8; KAT 8; Lysine acetyltransferase 8; MOF; MOZ; MOZ, YBF2/SAS3, SAS2 and TIP60 protein 1; MYST 1; MYST histone acetyltransferase 1; myst protein 1; MYST-1; MYST1; MYST1_HUMAN; Ortholog of Drosophila males absent on the first(MOF); Probable histone acetyltransferase MYST1; SAS2 and TIP60 protein 1; SAS2; SAS3; TIP60 protein 1; YBF2; YBF2/SAS3.  
研究领域 肿瘤  细胞生物  表观遗传学  
抗体来源 Rabbit
克隆类型 Polyclonal
克 隆 号
交叉反应 Mouse,Rat (predicted: Human,Rabbit,Pig,Sheep,Cow,Horse)
产品应用 WB=1:500-2000,IHC-P=1:100-500,IHC-F=1:100-500,IF=1:100-500
not yet tested in other applications.
optimal dilutions/concentrations should be determined by the end user.
理论分子量 52 kDa
检测分子量
细胞定位 细胞核 
性    状 Liquid
浓    度 1mg/ml
免 疫 原 KLH conjugated synthetic peptide derived from human MOF/KAT8/MYST1: 301-400/458 
亚    型 IgG
纯化方法 affinity purified by Protein A
缓 冲 液 0.01M TBS (pH7.4) with 1% BSA, 0.02% Proclin300 and 50% Glycerol.
保存条件 Shipped at 4℃. Store at -20℃ for one year. Avoid repeated freeze/thaw cycles.
注意事项 This product as supplied is intended for research use only, not for use in human, therapeutic or diagnostic applications.
PubMed PubMed
产品介绍 Dosage compensation ensures that males with a single X chromosome and females with two X chromosomes have the same amount of most X-linked gene products. In Drosophila, this is acheived by enhancing the level of transcription of the X chromosome in males. Proteins such as maleless, male specific lethal 1, 2 and 3, and males absent on the first (MOF) form a dosage compensation complex (DCC) that is required for the twofold increase of transcription of the male X chromosome. The DCC is preferentially associated with many sites on the X chromosome in somatic cells of males. The binding of the DCC to the X chromosome is dependent upon histone 4 acetylation at lysine 16, which is accomplished by MOF. In mammals, MOF (also designated hMOF, MYST1, or MOZ) belongs to the MYST family of histone acetyl transferases which are characterized by a unique C2HC-type zinc finger close to their HAT domains. MOF utilizes the zinc finger domain to contact the globular part of the nucleosome as well as the histone H4 N-terminal tail substrate. The carboxy terminal domain of human MOF also has histone acetyltransferase activity directed against histones H3 and H2A, a characteristic shared with other MYST family histone acetyltransferases.

Function:
Histone acetyltransferase which may be involved in transcriptional activation. May influence the function of ATM.

Subunit:
Component of a multisubunit histone acetyltransferase complex (MSL) at least composed of the MOF/KAT8, MSL1/hampin, MSL2L1 and MSL3L1. Component of the NSL complex at least composed of MOF/KAT8, KANSL1, KANSL2, KANSL3, MCRS1, PHF20, OGT1/OGT, WDR5 and HCFC1. Component of some MLL1/MLL complex, at least composed of the core components MLL, ASH2L, HCFC1, WDR5 and RBBP5, as well as the facultative components BAP18, CHD8, E2F6, HSP70, INO80C, KANSL1, LAS1L, MAX, MCRS1, MGA, MOF/KAT8, PELP1, PHF20, PRP31, RING2, RUVB1/TIP49A, RUVB2/TIP49B, SENP3, TAF1, TAF4, TAF6, TAF7, TAF9 and TEX10. Interacts with the chromodomain of MORF4L1/MRG15. Interacts with ATM through the chromodomain. Interacts with KANSL1; the interaction is direct.

Subcellular Location:
Nucleus. Chromosome.

Post-translational modifications:
Autoacetylation at Lys-274 is required for proper function.

Similarity:
Belongs to the MYST (SAS/MOZ) family.
Contains 1 C2HC-type zinc finger.
Contains 1 chromo domain.

SWISS:
Q9H7Z6

Gene ID:
84148

Database links:

Entrez Gene: 84148 Human

Omim: 609912 Human

SwissProt: Q9H7Z6 Human

Unigene: 533803 Human



产品图片
Sample: Testis(Rat) Lysate at 40 ug Primary: Anti-KAT8  (bs-4312R) at 1/1000 dilution Secondary: IRDye800CW Goat Anti-Rabbit IgG at 1/20000 dilution Predicted band size: 52 kD Observed band size: 52 kD
Protein: testis(mouse) lysate at 40ug; Primary: rabbit Anti-MYST1/KAT8 (bs-4312R) at 1:300; Secondary: HRP conjugated Goat-Anti-rabbit IgG(bs-0295G-HRP) at 1: 5000; Predicted band size: 52 kD Observed band size: 55 kD
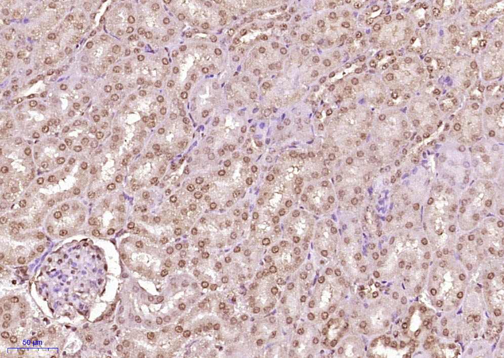
Paraformaldehyde-fixed, paraffin embedded (Mouse kidney); Antigen retrieval by boiling in sodium citrate buffer (pH6.0) for 15min; Block endogenous peroxidase by 3% hydrogen peroxide for 20 minutes; Blocking buffer (normal goat serum) at 37°C for 30min; Antibody incubation with (MYST1/KAT8) Polyclonal Antibody, Unconjugated (bs-4312R) at 1:400 overnight at 4°C, followed by operating according to SP Kit(Rabbit) (sp-0023) instructionsand DAB staining.
版权所有 2004-2026 www.bioss.com.cn 北京博奥森生物技术有限公司
通过国际质量管理体系ISO 9001:2015 GB/T 19001-2016    证书编号: 00124Q34771R2M/1100
通过国际医疗器械-质量管理体系ISO 13485:2016 GB/T 42061-2022     证书编号: CQC24QY20047R0M/1100
京ICP备05066980号-1         京公网安备110107000727号