扫码关注公众号           扫码咨询技术支持           扫码咨询技术服务
  
客服热线:400-901-9800  客服QQ:4009019800  技术答疑  技术支持  质量反馈  关于我们  联系我们
产品中心-北京博奥森生物技术有限公司
首页 > 产品中心 > 一抗 > 产品信息
Gemin 6 Rabbit pAb (bs-13333R)  
订购热线:400-901-9800
订购邮箱:sales@bioss.com.cn
订购QQ:  400-901-9800
技术支持:techsupport@bioss.com.cn
50ul/1180.00元
100ul/1980.00元
200ul/2800.00元
大包装/询价

产品编号 bs-13333R
英文名称 Gemin 6 Rabbit pAb
中文名称 脊髓性肌萎缩症蛋白Gemin6抗体
别    名 FLJ23459; Gemin6; Gemin-6; Gem(nuclear organelle) associated protein 6; Gem-associated protein 6; GEMI6; GEMI6_HUMAN; Gemin-6; GEMIN6; SIP2.  
研究领域 细胞生物  神经生物学  表观遗传学  
抗体来源 Rabbit
克隆类型 Polyclonal
克 隆 号
交叉反应 Human,Rat (predicted: Mouse,Rabbit,Horse)
产品应用 IHC-P=1:100-500,IHC-F=1:100-500,IF=1:100-500
not yet tested in other applications.
optimal dilutions/concentrations should be determined by the end user.
理论分子量 19 kDa
检测分子量
细胞定位 细胞核 细胞浆 
性    状 Liquid
浓    度 1mg/ml
免 疫 原 KLH conjugated synthetic peptide derived from human Gemin 6: 21-120/167 
亚    型 IgG
纯化方法 affinity purified by Protein A
缓 冲 液 0.01M TBS (pH7.4) with 1% BSA, 0.02% Proclin300 and 50% Glycerol.
保存条件 Shipped at 4℃. Store at -20℃ for one year. Avoid repeated freeze/thaw cycles.
注意事项 This product as supplied is intended for research use only, not for use in human, therapeutic or diagnostic applications.
PubMed PubMed
产品介绍 Spinal muscular atrophy (SMA) is an autosomal recessive neurodegenerative disease characterized by loss of motor neurons in the spinal cord. SMA is caused by deletion or loss-of-function mutations in the SMN (Survival of Motor Neuron) gene. Gemin6, the protein product of human chromosome 2p22.2, associates directly with SMN and is a part of the SMN complex containing Gemin2, Gemin3, Gemin4 and Gemin5 as well as several spliceosomal snRNP proteins. The SMN complex plays an essential role in spliceosomal snRNP assembly in the cytoplasm and is required for pre-mRNA splicing of the nucleus. The SMN complex is found in both the cytoplasm and the nucleus. The nuclear form is concentrated in subnuclear bodies called gems (Gemini of the coiled bodies).

Function:
The SMN complex plays an essential role in spliceosomal snRNP assembly in the cytoplasm and is required for pre-mRNA splicing in the nucleus.

Subunit:
Part of the core SMN complex that contains SMN1, GEMIN2/SIP1, DDX20/GEMIN3, GEMIN4, GEMIN5, GEMIN6, GEMIN7, GEMIN8 and STRAP/UNRIP. Interacts directly with GEMIN7, SNRPB, SNRPD2, SNRPD3 and SNRPE.

Subcellular Location:
Nucleus; nucleoplasm. Nucleus; gem. Cytoplasm. Found both in the nucleoplasm and in nuclear bodies called gems (Gemini of Cajal bodies) that are often in proximity to Cajal (coiled) bodies. Also found in the cytoplasm.

SWISS:
Q8WXD5

Gene ID:
79833

Database links:

Entrez Gene: 79833 Human

Omim: 607006 Human

SwissProt: Q8WXD5 Human

Unigene: 143818 Human



产品图片
Paraformaldehyde-fixed, paraffin embedded (Human ovarian cancer); Antigen retrieval by boiling in sodium citrate buffer (pH6.0) for 15min; Block endogenous peroxidase by 3% hydrogen peroxide for 20 minutes; Blocking buffer (normal goat serum) at 37°C for 30min; Antibody incubation with (Gemin 6) Polyclonal Antibody, Unconjugated (bs-13333R) at 1:200 overnight at 4°C, followed by operating according to SP Kit(Rabbit) (sp-0023) instructionsand DAB staining.
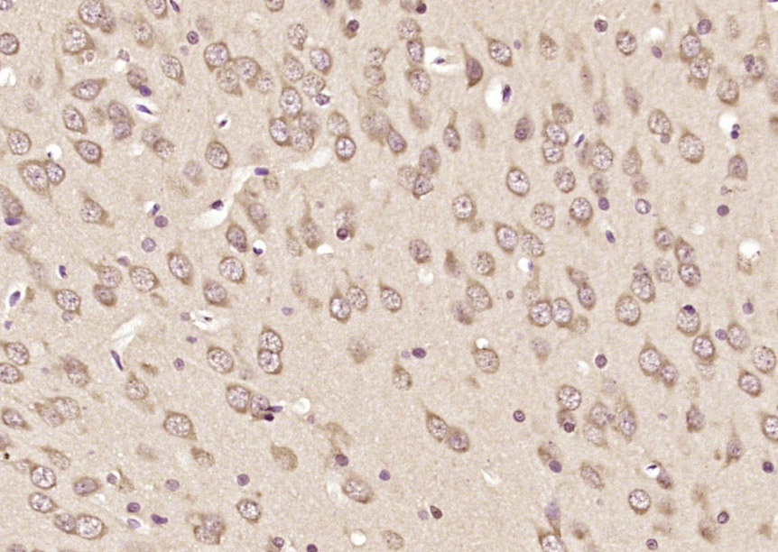
Paraformaldehyde-fixed, paraffin embedded (rat brain); Antigen retrieval by boiling in sodium citrate buffer (pH6.0) for 15min; Block endogenous peroxidase by 3% hydrogen peroxide for 20 minutes; Blocking buffer (normal goat serum) at 37°C for 30min; Antibody incubation with (Gemin 6) Polyclonal Antibody, Unconjugated (bs-13333R) at 1:200 overnight at 4°C, followed by operating according to SP Kit(Rabbit) (sp-0023) instructionsand DAB staining.
版权所有 2004-2026 www.bioss.com.cn 北京博奥森生物技术有限公司
通过国际质量管理体系ISO 9001:2015 GB/T 19001-2016    证书编号: 00124Q34771R2M/1100
通过国际医疗器械-质量管理体系ISO 13485:2016 GB/T 42061-2022     证书编号: CQC24QY20047R0M/1100
京ICP备05066980号-1         京公网安备110107000727号