扫码关注公众号           扫码咨询技术支持           扫码咨询技术服务
  
客服热线:400-901-9800  客服QQ:4009019800  技术答疑  技术支持  质量反馈  人才招聘  关于我们  联系我们
产品中心-北京博奥森生物技术有限公司
首页 > 产品中心 > 一抗 > 产品信息
Gemin 4 Rabbit pAb (bs-13328R)  
订购热线:400-901-9800
订购邮箱:sales@bioss.com.cn
订购QQ:  400-901-9800
技术支持:techsupport@bioss.com.cn
50ul/1180.00元
100ul/1980.00元
200ul/2800.00元
大包装/询价

产品编号 bs-13328R
英文名称 Gemin 4 Rabbit pAb
中文名称 脊髓性肌萎缩症蛋白Gemin4抗体
别    名 HC56; HCAP1; HHRF-1; NEDMCR; p97; GEMI4_HUMAN; GEMIN4; Gemin-4; Component of gems 4; Q8WUM5_HUMAN; gem nuclear organelle associated protein 4; gem (nuclear organelle) associated protein 4; HCC-associated protein 1  
研究领域 神经生物学  表观遗传学  
抗体来源 Rabbit
克隆类型 Polyclonal
交叉反应 Human (predicted: Mouse,Rat,Rabbit,Dog)
产品应用 WB=1:500-2000,IHC-P=1:100-500,IHC-F=1:100-500,IF=1:100-500
not yet tested in other applications.
optimal dilutions/concentrations should be determined by the end user.
理论分子量 120kDa
检测分子量 120
细胞定位 细胞浆 
性    状 Liquid
浓    度 1mg/ml
免 疫 原 KLH conjugated synthetic peptide derived from human Gemin 4: 251-350/1058 
亚    型 IgG
纯化方法 affinity purified by Protein A
缓 冲 液 0.01M TBS (pH7.4) with 1% BSA, 0.02% Proclin300 and 50% Glycerol.
保存条件 Shipped at 4℃. Store at -20℃ for one year. Avoid repeated freeze/thaw cycles.
注意事项 This product as supplied is intended for research use only, not for use in human, therapeutic or diagnostic applications.
PubMed PubMed
产品介绍 Gemin4 is a component of the SMN core complex which, while in the cytoplasm, plays an essential role in ribonucleoprotein (snRNP) assembly, including the biogenesis, delivery and recycling of snRNPs to the spliceosome. In the nucleus, where SMN is required for pre-mRNA splicing, Gemin4 concentrates next to coiled bodies in subnuclear structures called gems, that are highly enriched in splicosomal snRNPs, and in the nucleolus. Deletion or loss-of-function mutations in the SMN lead to the neurodegenerative disease spinal muscular atrophy (SMA). The human Gemin4 maps to chromosome 17p13.

Function:
GEMIN 4 is part of the SMN complex and plays an essential role in spliceosomal snRNP assembly in the cytoplasm. It is required for pre mRNA splicing in the nucleus.

Subunit:
Part of the core SMN complex that contains SMN1, GEMIN2/SIP1, DDX20/GEMIN3, GEMIN4, GEMIN5, GEMIN6, GEMIN7, GEMIN8 and STRAP/UNRIP. Interacts directly with GEMIN3 and with several snRNP SM core proteins, including SNRPB, SNRPD1, SNRPD2, SNRPD3 and SNRPE. Interacts with PPP4R2.

Subcellular Location:
Cytoplasm. Nucleus. Nucleus, nucleolus. Nucleus, gem. Note=Localized in subnuclear structures next to coiled bodies, called gems, which are highly enriched in spliceosomal snRNPs and in the nucleolus.

SWISS:
Q8WUM5

Gene ID:
50628

Database links:

Entrez Gene: 50628 Human

Omim: 606969 Human

SwissProt: P57678 Human

SwissProt: Q8WUM5 Human

Unigene: 499620 Human



产品图片
Sample: 293T(Human) Cell Lysate at 30 ug Primary: Anti- Gemin 4 (bs-13328R) at 1/1000 dilution Secondary: IRDye800CW Goat Anti-Rabbit IgG at 1/20000 dilution Predicted band size: 120 kD Observed band size: 120 kD
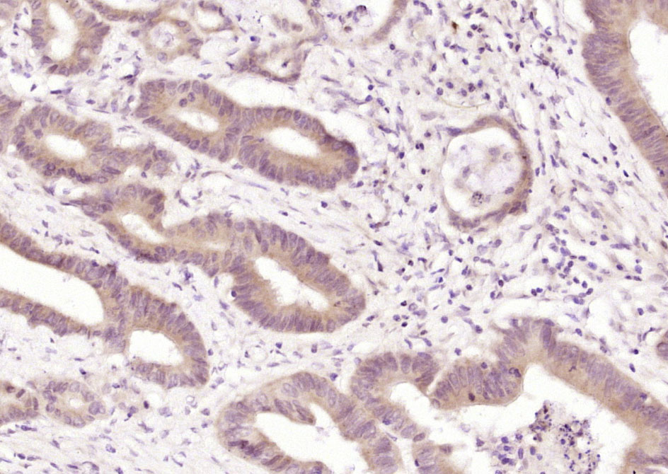
Paraformaldehyde-fixed, paraffin embedded (human colon carcinoma); Antigen retrieval by boiling in sodium citrate buffer (pH6.0) for 15min; Block endogenous peroxidase by 3% hydrogen peroxide for 20 minutes; Blocking buffer (normal goat serum) at 37°C for 30min; Antibody incubation with (Gemin 4) Polyclonal Antibody, Unconjugated (bs-13328R) at 1:200 overnight at 4°C, followed by operating according to SP Kit(Rabbit) (sp-0023) instructionsand DAB staining.
版权所有 2004-2026 www.bioss.com.cn 北京博奥森生物技术有限公司
通过国际质量管理体系ISO 9001:2015 GB/T 19001-2016    证书编号: 00124Q34771R2M/1100
通过国际医疗器械-质量管理体系ISO 13485:2016 GB/T 42061-2022     证书编号: CQC24QY20047R0M/1100
京ICP备05066980号-1         京公网安备110107000727号