扫码关注公众号           扫码咨询技术支持           扫码咨询技术服务
  
客服热线:400-901-9800  客服QQ:4009019800  技术答疑  技术支持  质量反馈  关于我们  联系我们
产品中心-北京博奥森生物技术有限公司
首页 > 产品中心 > 一抗 > 产品信息
FYTTD1 Rabbit pAb (bs-13238R)  
订购热线:400-901-9800
订购邮箱:sales@bioss.com.cn
订购QQ:  400-901-9800
技术支持:techsupport@bioss.com.cn
50ul/1180.00元
100ul/1980.00元
200ul/2800.00元
大包装/询价

产品编号 bs-13238R
英文名称 FYTTD1 Rabbit pAb
中文名称 FYTTD1蛋白抗体
别    名 DKFZp761B1514; Forty two three domain containing 1; Forty two three domain containing protein 1; Forty-two-three domain-containing protein 1; FYTTD 1; fyttd1; OTTHUMP00000208028; OTTHUMP00000208031; OTTHUMP00000208032; Protein 40 2 3; Protein 40-2-3; UAP56 interacting factor; UAP56-interacting factor; UIF; UIF_HUMAN.  
研究领域 细胞生物  信号转导  表观遗传学  
抗体来源 Rabbit
克隆类型 Polyclonal
克 隆 号
交叉反应 Human,Rat (predicted: Mouse,Pig,Dog)
产品应用 WB=1:500-2000,IHC-P=1:100-500,IHC-F=1:100-500,IF=1:100-500
not yet tested in other applications.
optimal dilutions/concentrations should be determined by the end user.
理论分子量 36 kDa
检测分子量
细胞定位 细胞核 
性    状 Liquid
浓    度 1mg/ml
免 疫 原 KLH conjugated synthetic peptide derived from human FYTTD1: 210-318/318 
亚    型 IgG
纯化方法 affinity purified by Protein A
缓 冲 液 0.01M TBS (pH7.4) with 1% BSA, 0.02% Proclin300 and 50% Glycerol.
保存条件 Shipped at 4℃. Store at -20℃ for one year. Avoid repeated freeze/thaw cycles.
注意事项 This product as supplied is intended for research use only, not for use in human, therapeutic or diagnostic applications.
PubMed PubMed
产品介绍 FYTTD1 is a 318 amino acid protein belonging to the UIF family. FYTTD1 localizes to nucleus and is required for mRNA export from nucleus to cytoplasm. Functioning as an adaptor, FYTTD1 utilizes the BAT1/DDX39-TAP pathway, which is essential for efficient mRNA export and nuclear pore delivery. FYTTD1 interacts with SSRP1, a protein that is necessary for its recruitment of mRNAs, in addition to a mutually exclusive interaction with BAT1/DDX39 and TAP. FYTTD1 exists as four alternatively spliced isoforms and is encoded by a gene located on human chromosome 3q29.

Function:
Required for mRNA export from the nucleus to the cytoplasm. Acts as an adapter that uses the DDX39B/UAP56-NFX1 pathway to ensure efficient mRNA export and delivering to the nuclear pore. Associates with spliced and unspliced mRNAs simultaneously with THOC4.

Subunit:
Interacts with CHTOP (By similarity). Interacts with DDX39B/UAP56 and NXF1; interaction with DDX39B/UAP56 and NXF1 are mutually exclusive. Interacts with SSRP1; required for its recruitment to mRNAs.

Subcellular Location:
Nucleus; nucleoplasm. Nucleus speckle.

Similarity:
Belongs to the UIF family.

SWISS:
Q96QD9

Gene ID:
84248

Database links:

Entrez Gene: 84248 Human

Entrez Gene: 69823 Mouse

SwissProt: Q96QD9 Human

SwissProt: Q91Z49 Mouse

Unigene: 277533 Human

Unigene: 12831 Mouse



产品图片
Sample: Hela(Human) Cell Lysate at 30 ug Primary: Anti- FYTTD1 (bs-13238R) at 1/1000 dilution Secondary: IRDye800CW Goat Anti-Rabbit IgG at 1/20000 dilution Predicted band size: 36 kD Observed band size: 34 kD
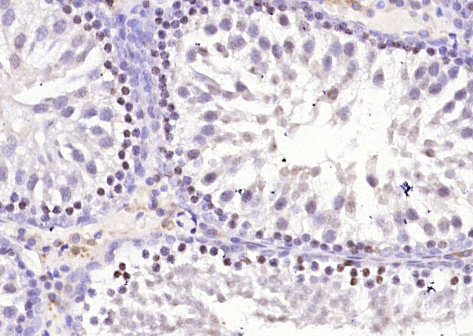
Paraformaldehyde-fixed, paraffin embedded (rat testis tissue); Antigen retrieval by boiling in sodium citrate buffer (pH6.0) for 15min; Block endogenous peroxidase by 3% hydrogen peroxide for 20 minutes; Blocking buffer (normal goat serum) at 37°C for 30min; Antibody incubation with (FYTTD1) Polyclonal Antibody, Unconjugated (bs-13238R) at 1:400 overnight at 4°C, followed by operating according to SP Kit(Rabbit) (sp-0023) instructionsand DAB staining.
版权所有 2004-2026 www.bioss.com.cn 北京博奥森生物技术有限公司
通过国际质量管理体系ISO 9001:2015 GB/T 19001-2016    证书编号: 00124Q34771R2M/1100
通过国际医疗器械-质量管理体系ISO 13485:2016 GB/T 42061-2022     证书编号: CQC24QY20047R0M/1100
京ICP备05066980号-1         京公网安备110107000727号