扫码关注公众号           扫码咨询技术支持           扫码咨询技术服务
  
客服热线:400-901-9800  客服QQ:4009019800  技术答疑  技术支持  质量反馈  关于我们  联系我们
产品中心-北京博奥森生物技术有限公司
首页 > 产品中心 > 一抗 > 产品信息
Exonuclease 1 Rabbit pAb (bs-13119R)  
订购热线:400-901-9800
订购邮箱:sales@bioss.com.cn
订购QQ:  400-901-9800
技术支持:techsupport@bioss.com.cn
50ul/1180.00元
100ul/1980.00元
200ul/2800.00元
大包装/询价

产品编号 bs-13119R
英文名称 Exonuclease 1 Rabbit pAb
中文名称 核酸外切酶1抗体
别    名 exo1; EXO1_HUMAN; ExoI; Exonuclease 1; Exonuclease I; Exonuclease1; HEX1; hExo I; hExo1; hExoI; Rad2 nuclease family member homolog of S. cerevisiae exonuclease 1.  
研究领域 细胞生物  表观遗传学  
抗体来源 Rabbit
克隆类型 Polyclonal
克 隆 号
交叉反应 Human,Mouse (predicted: Rat,Chimpanzee, Macaque Monkey,Gorilla,Chinese Hamster,Orangu)
产品应用 WB=1:500-2000,IHC-P=1:100-500,IHC-F=1:100-500,IF=1:100-500,Flow-Cyt=1ug/Test
not yet tested in other applications.
optimal dilutions/concentrations should be determined by the end user.
理论分子量 94 kDa
检测分子量
细胞定位 细胞核 
性    状 Liquid
浓    度 1mg/ml
免 疫 原 KLH conjugated synthetic peptide derived from human Exonuclease 1: 31-130/846 
亚    型 IgG
纯化方法 affinity purified by Protein A
缓 冲 液 0.01M TBS (pH7.4) with 1% BSA, 0.02% Proclin300 and 50% Glycerol.
保存条件 Shipped at 4℃. Store at -20℃ for one year. Avoid repeated freeze/thaw cycles.
注意事项 This product as supplied is intended for research use only, not for use in human, therapeutic or diagnostic applications.
PubMed PubMed
产品介绍 Comparative evaluation of the expression patterns of the human and mouse genes, combined with previous biochemical and yeast genetic studies, indicate that the Exo1 (Exonuclease I) proteins are important contributors to chromosome processing during mammalian DNA repair and recombination. In mice, the Exo1 gene maps to distal chromosome 1, consistent with the recent mapping of the orthologous human HEX1/EXO1 gene to chromosome 1q43. Exo1 is expressed prominently in testis, an area of active homologous recombination, and spleen, a prominent lymphoid tissue. In both mammalian and yeast systems, Exo1 is a 5'-3' double stranded DNA exonuclease that has previously been implicated in DNA mismatch repair (MMR). The MMR system ensures genome integrity by removing mispaired and unpaired bases that originate during replication. In humans, Exo1 interacts with MSH2 and MLH1 and has been proposed to be a redundant exonuclease in MMR. In both mammalian and yeast systems, Exo1 plays a structural role in MMR and stabilizes multiprotein complexes containing a number of MMR proteins.

Function:
5'->3' double-stranded DNA exonuclease which may also possess a cryptic 3'->5' double-stranded DNA exonuclease activity. Functions in DNA mismatch repair (MMR) to excise mismatch-containing DNA tracts directed by strand breaks located either 5' or 3' to the mismatch. Also exhibits endonuclease activity against 5'-overhanging flap structures similar to those generated by displacement synthesis when DNA polymerase encounters the 5'-end of a downstream Okazaki fragment. Required for somatic hypermutation (SHM) and class switch recombination (CSR) of immunoglobulin genes. Essential for male and female meiosis.

Subunit:
Interacts with the MLH1-PMS2 heterodimer via MLH1. Interacts with MSH3. Interacts with the MSH2-MSH6 heterodimer via MSH2, and this interaction may increase the processivity of the 5'->3' exonuclease activity. Interacts with PCNA, and this interaction may both stimulate the cryptic 3'->5' exonuclease activity and suppress the 5'->3' exonuclease activity. Interacts with WRN, and this interaction stimulates both the 5'->3' exonuclease activity and cleavage of 5'-overhanging flap structures. Interacts with RECQL/RECQ1, and this interaction stimulates cleavage of 5'-overhanging flap structures.

Subcellular Location:
Nucleus. Colocalizes with PCNA to discrete nuclear foci in S-phase.

Tissue Specificity:
Highly expressed in bone marrow, testis and thymus. Expressed at lower levels in colon, lymph nodes, ovary, placenta, prostate, small intestine, spleen and stomach.

Post-translational modifications:
Phosphorylated upon DNA damage and in response to agents stalling DNA replication, probably by ATM or ATR. Phosphorylation at Ser-454, Thr-621 and Ser-714 is induced upon DNA-damage caused by treatment with hydroxyurea (HU) but not upon IR treatment. The HU-induced EXO1 triple phosphorylation facilitates destabilisation/degradation of the protein.

Similarity:
Belongs to the XPG/RAD2 endonuclease family. EXO1 subfamily.

SWISS:
Q9UQ84

Gene ID:
9156

Database links:

Entrez Gene: 457856 Chimpanzee

Entrez Gene: 9156 Human

Entrez Gene: 305000 Rat

Omim: 606063 Human

SwissProt: Q9UQ84 Human

Unigene: 498248 Human



产品图片
Sample: Testis (Mouse) Lysate at 40 ug Thymus (Mouse) Lysate at 40 ug Primary: Anti-Exonuclease 1 (bs-13119R) at 1/1000 dilution Secondary: IRDye800CW Goat Anti-Rabbit IgG at 1/20000 dilution Predicted band size: 94 kD Observed band size: 90 kD
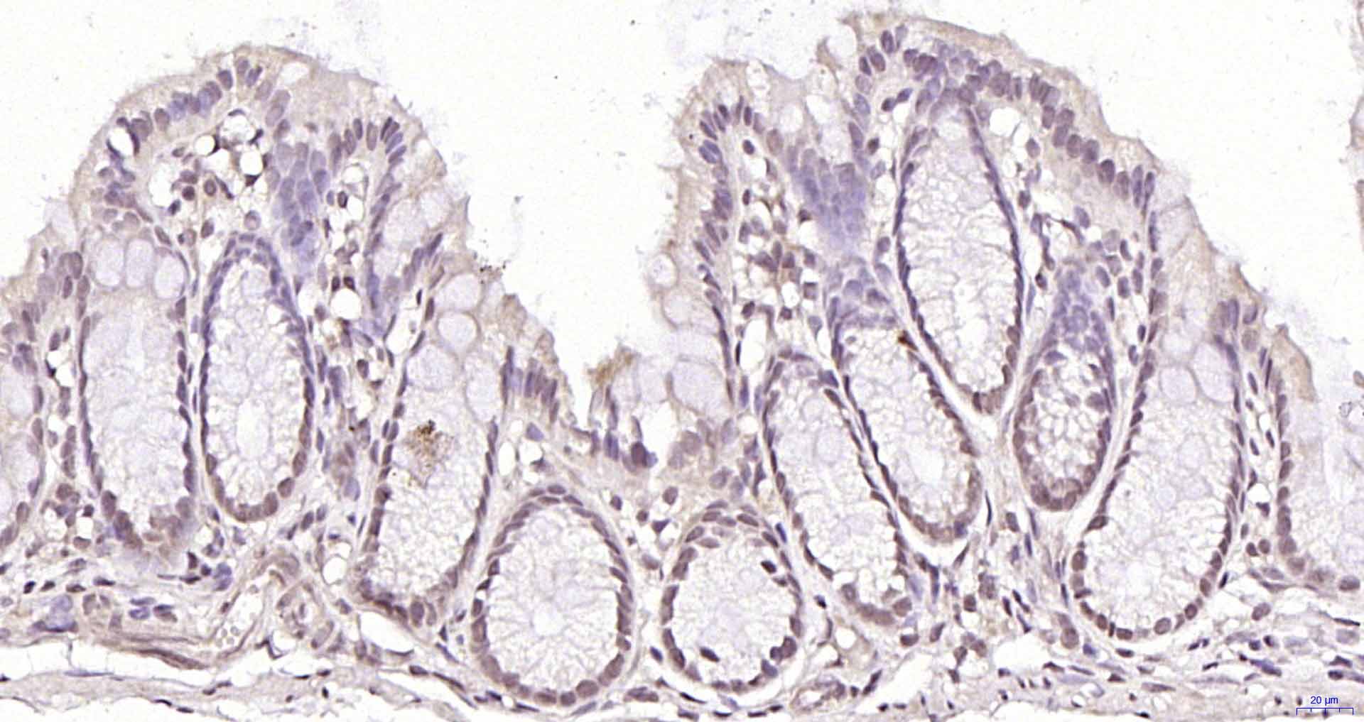
Paraformaldehyde-fixed, paraffin embedded Mouse Colon; Antigen retrieval by boiling in sodium citrate buffer (pH6.0) for 15 min; Antibody incubation with Exonuclease 1 Polyclonal Antibody, Unconjugated (bs-13119R) at 1:200 overnight at 4°C, followed by conjugation to the SP Kit (Rabbit, SP-0023) and DAB (C-0010) staining.
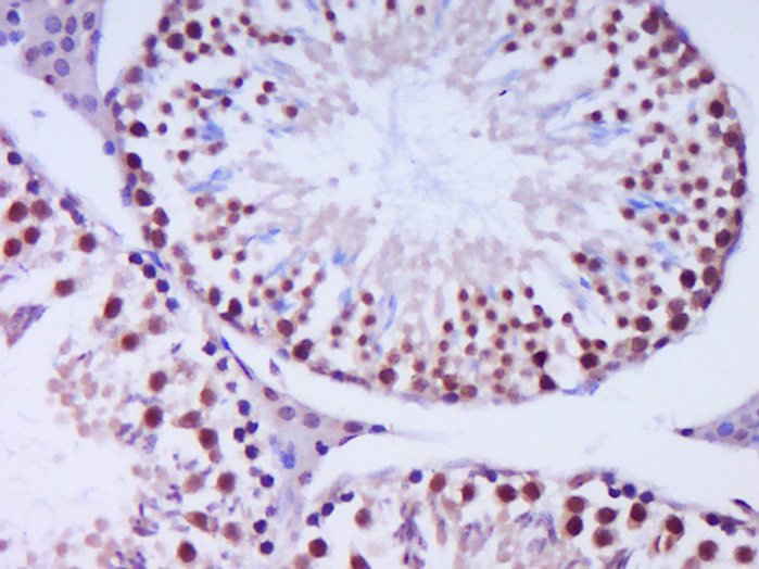
Paraformaldehyde-fixed, paraffin embedded Human Testicles; Antigen retrieval by boiling in sodium citrate buffer (pH6.0) for 15 min; Antibody incubation with Exonuclease 1 Polyclonal Antibody, Unconjugated (bs-13119R) at 1:200 overnight at 4°C, followed by conjugation to the SP Kit (Rabbit, SP-0023) and DAB (C-0010) staining.
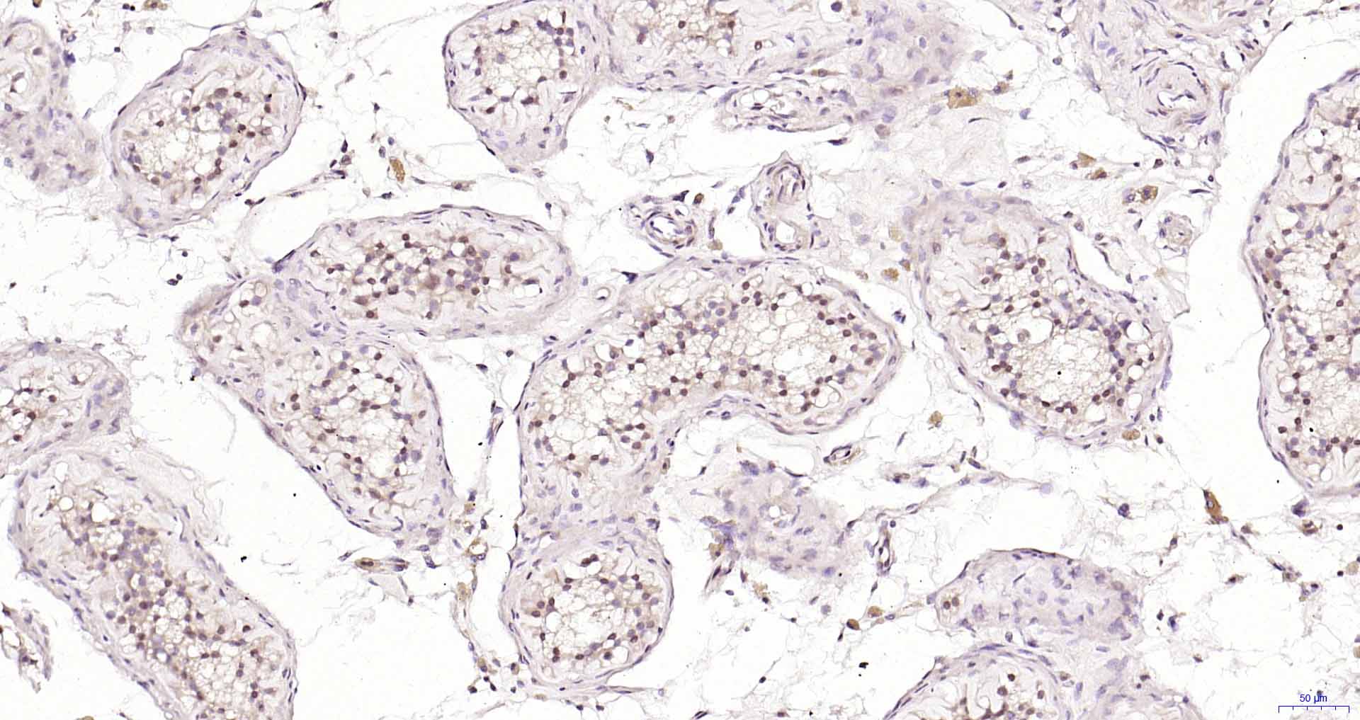
Paraformaldehyde-fixed, paraffin embedded (Mouse testis); Antigen retrieval by boiling in sodium citrate buffer (pH6.0) for 15min; Block endogenous peroxidase by 3% hydrogen peroxide for 20 minutes; Blocking buffer (normal goat serum) at 37°C for 30min; Antibody incubation with (Exonuclease 1) Polyclonal Antibody, Unconjugated (bs-13119R) at 1:400 overnight at 4°C, followed by operating according to SP Kit(Rabbit) (sp-0023) instructionsand DAB staining.
Blank control (Black line):Molt4 (Black). Primary Antibody (green line): Rabbit Anti-Exonuclease 1 antibody (bs-13119R) Dilution: 1μg /10^6 cells; Isotype Control Antibody (orange line): Rabbit IgG . Secondary Antibody (white blue line): Goat anti-rabbit IgG-AF647 Dilution: 1μg /test. Protocol The cells were fixed with 4% PFA (10min at room temperature)and then permeabilized with 90% ice-cold methanol for 20 min at room temperature. The cells were then incubated in 5%BSA to block non-specific protein-protein interactions for 30 min at room temperature .Cells stained with Primary Antibody for 30 min at room temperature. The secondary antibody used for 40 min at room temperature. Acquisition of 20,000 events was performed.
版权所有 2004-2026 www.bioss.com.cn 北京博奥森生物技术有限公司
通过国际质量管理体系ISO 9001:2015 GB/T 19001-2016    证书编号: 00124Q34771R2M/1100
通过国际医疗器械-质量管理体系ISO 13485:2016 GB/T 42061-2022     证书编号: CQC24QY20047R0M/1100
京ICP备05066980号-1         京公网安备110107000727号