扫码关注公众号           扫码咨询技术支持           扫码咨询技术服务
  
客服热线:400-901-9800  客服QQ:4009019800  技术答疑  技术支持  质量反馈  关于我们  联系我们
产品中心-北京博奥森生物技术有限公司
首页 > 产品中心 > 一抗 > 产品信息
EBP1 Rabbit pAb (bs-13047R)  
订购热线:400-901-9800
订购邮箱:sales@bioss.com.cn
订购QQ:  400-901-9800
技术支持:techsupport@bioss.com.cn
50ul/1180.00元
100ul/1980.00元
200ul/2800.00元
大包装/询价

产品编号 bs-13047R
英文名称 EBP1 Rabbit pAb
中文名称 erbB3结合蛋白1抗体
别    名 AA672939; Cell cycle protein p38 2G4 homolog; Cell cycle protein p38-2G4 homolog; ErbB-3 binding protein 1; ErbB3 binding protein 1; ErbB3-binding protein 1; ErbB3-binding protein Ebp1; hG4 1; hG4-1; IRES-specific cellular trans-acting factor 45 kDa; MGC81621; MGC94070; Mpp1; p38 2G4; PA2G4; PA2G4_HUMAN; Plfap; Proliferation associated 2G4; Proliferation associated 2G4, 38-KD; Proliferation-associated 2G4, 38kDa; Proliferation-associated 2G4, a; Proliferation-associated protein 1; Proliferation-associated protein 2G4; Protein p38-2G4; si:dz150i12.2; wu:fb19b11; wu:ft56d05; zgc:86732.  
Specific References  (1)     |     bs-13047R has been referenced in 1 publications.
[IF=2.868] Liu J et al. The expression and prognostic role of EBP1 and relationship with AR in HER2+ breast cancer. Virchows Arch. 2020 Feb 21.  IHC-P ;  Human.  
研究领域 细胞生物  转录调节因子  表观遗传学  
抗体来源 Rabbit
克隆类型 Polyclonal
克 隆 号
交叉反应 Human,Mouse,Rat (predicted: Rabbit,Pig,Sheep,Cow,Zebrafish,Chicken)
产品应用 IHC-P=1:100-500,IHC-F=1:100-500,IF=1:100-500
not yet tested in other applications.
optimal dilutions/concentrations should be determined by the end user.
理论分子量 44 kDa
检测分子量
细胞定位 细胞核 细胞浆 
性    状 Liquid
浓    度 1mg/ml
免 疫 原 KLH conjugated synthetic peptide derived from human EBP1: 201-320/394 
亚    型 IgG
纯化方法 affinity purified by Protein A
缓 冲 液 0.01M TBS (pH7.4) with 1% BSA, 0.02% Proclin300 and 50% Glycerol.
保存条件 Shipped at 4℃. Store at -20℃ for one year. Avoid repeated freeze/thaw cycles.
注意事项 This product as supplied is intended for research use only, not for use in human, therapeutic or diagnostic applications.
PubMed PubMed
产品介绍 EBP1 is a member of the peptidase M24C family and functions as an RNA-binding protein involved in cellular proliferation and differentiation processes. It is expressed in a variety of cell lines, including a wide range of tumor cell lines, and localizes to the cytoplasm. Upon treatment with Neuregulin-1 (heregulin), EBP1 translocates to the nucleus. EBP1 is a component of pre-ribosomal ribonucleoprotein complexes, participating in ribosome assembly and regulating the later steps of rRNA processing. In addition, EBP1 interacts with ErbB-3 and may function as a modulator of the ErbB-3-mediated signal transduction pathway by regulating the effects of Neuregulin-1 (heregulin). EBP1 also associates with histone deacetylases (HDACs), functioning as a transcriptional co-repressor of cell cycle regulatory genes.

Function:
May play a role in a ERBB3-regulated signal transduction pathway. Seems be involved in growth regulation. Acts a corepressor of the androgen receptor (AR) and is regulated by the ERBB3 ligand neuregulin-1/heregulin (HRG). Inhibits transcription of some E2F1-regulated promoters, probably by recruiting histone acetylase (HAT) activity. Binds RNA. Associates with 28S, 18S and 5.8S mature rRNAs, several rRNA precursors and probably U3 small nucleolar RNA. May be involved in regulation of intermediate and late steps of rRNA processing. May be involved in ribosome assembly. Mediates cap-independent translation of specific viral IRESs (internal ribosomal entry site).

Subunit:
Interacts with the cytoplasmic domain of non-phosphorylated ERBB3; the interaction requires PKC activity. Interacts with AR. Treatment with HRG leads to dissociation from ERBB3 and increases association with AR. Interacts with NCL/nucleolin. Component of a ribonucleoprotein complex containing at least PA2G4, NCL, TOP1, PABPC2, RPLP0, acetylated histone H1 (HIST1H1A or H1F1), histone H1 2/4, RPL4, RPL8, RPL15, RPL18, RPL18A, RPL21, RPL11, RPL12, RPL28, RPL27, RPLP2 and RPL24. Interacts with HDAC2. Interacts with RB1; the interaction is enhanced upon PA2G4 dephosphorylation.

Subcellular Location:
Cytoplasm. Nucleus > nucleolus. Tranlocates to the nucleus upon treatment with HRG.

Tissue Specificity:
Expressed in several cell lines tested, including primary and transformed cell lines.

Post-translational modifications:
Phosphorylated on serine and threonine residues. Phosphorylation is enhanced by HRG treatment. Basal phosphorylation is PKC-dependent and HRG-induced phosphorylation is predominantly PKC-independent.

Similarity:
Belongs to the peptidase M24 family.

SWISS:
Q9UQ80

Gene ID:
5036

Database links:

Entrez Gene: 540272 Cow

Entrez Gene: 5036 Human

Entrez Gene: 18813 Mouse

Entrez Gene: 288778 Rat

Entrez Gene: 368737 Zebrafish

Omim: 602145 Human

SwissProt: Q9UQ80 Human

SwissProt: P50580 Mouse

SwissProt: Q8AW82 Zebrafish



产品图片
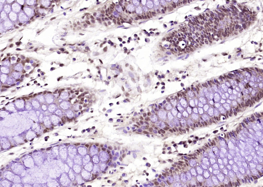
Paraformaldehyde-fixed, paraffin embedded (human colon carcinoma); Antigen retrieval by boiling in sodium citrate buffer (pH6.0) for 15min; Block endogenous peroxidase by 3% hydrogen peroxide for 20 minutes; Blocking buffer (normal goat serum) at 37°C for 30min; Antibody incubation with (EBP1) Polyclonal Antibody, Unconjugated (bs-13047R) at 1:200 overnight at 4°C, followed by operating according to SP Kit(Rabbit) (sp-0023) instructionsand DAB staining.
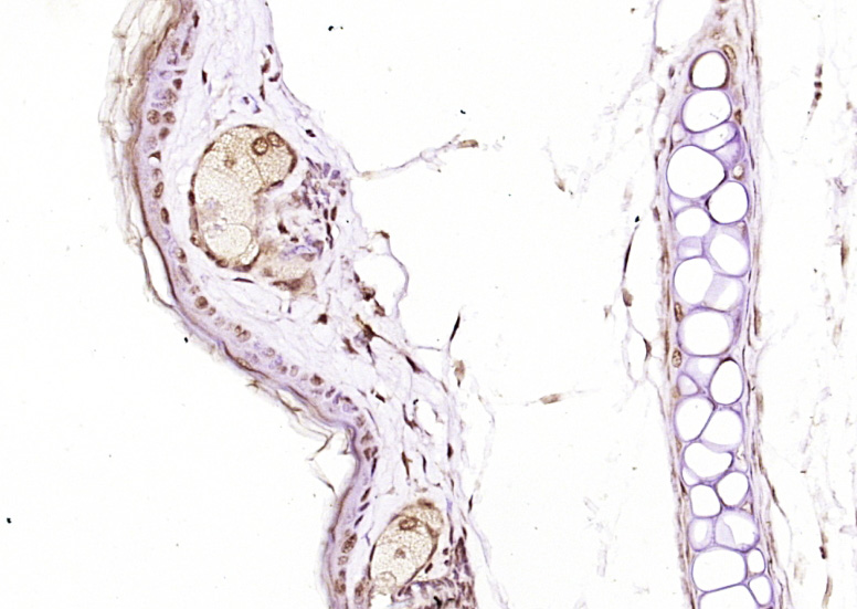
Paraformaldehyde-fixed, paraffin embedded (mouse skin); Antigen retrieval by boiling in sodium citrate buffer (pH6.0) for 15min; Block endogenous peroxidase by 3% hydrogen peroxide for 20 minutes; Blocking buffer (normal goat serum) at 37°C for 30min; Antibody incubation with (EBP1) Polyclonal Antibody, Unconjugated (bs-13047R) at 1:200 overnight at 4°C, followed by operating according to SP Kit(Rabbit) (sp-0023) instructionsand DAB staining.
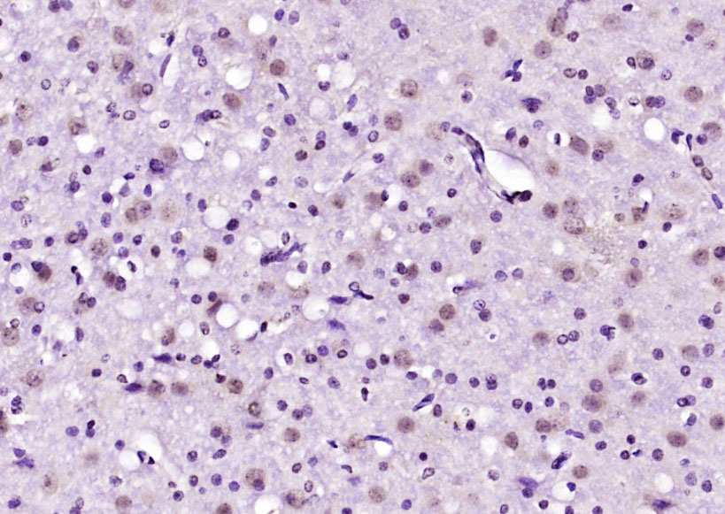
Paraformaldehyde-fixed, paraffin embedded (rat brain); Antigen retrieval by boiling in sodium citrate buffer (pH6.0) for 15min; Block endogenous peroxidase by 3% hydrogen peroxide for 20 minutes; Blocking buffer (normal goat serum) at 37°C for 30min; Antibody incubation with (EBP1) Polyclonal Antibody, Unconjugated (bs-13047R) at 1:200 overnight at 4°C, followed by operating according to SP Kit(Rabbit) (sp-0023) instructionsand DAB staining.
版权所有 2004-2026 www.bioss.com.cn 北京博奥森生物技术有限公司
通过国际质量管理体系ISO 9001:2015 GB/T 19001-2016    证书编号: 00124Q34771R2M/1100
通过国际医疗器械-质量管理体系ISO 13485:2016 GB/T 42061-2022     证书编号: CQC24QY20047R0M/1100
京ICP备05066980号-1         京公网安备110107000727号