扫码关注公众号           扫码咨询技术支持           扫码咨询技术服务
  
客服热线:400-901-9800  客服QQ:4009019800  技术答疑  技术支持  质量反馈  关于我们  联系我们
产品中心-北京博奥森生物技术有限公司
首页 > 产品中心 > 一抗 > 产品信息
ITGB4/CD104 Rabbit pAb (bs-10028R)  
订购热线:400-901-9800
订购邮箱:sales@bioss.com.cn
订购QQ:  400-901-9800
技术支持:techsupport@bioss.com.cn
50ul/1180.00元
100ul/1980.00元
200ul/2800.00元
大包装/询价

产品编号 bs-10028R
英文名称 ITGB4/CD104 Rabbit pAb
中文名称 整合素β4抗体
别    名 CD104; GP150; JEB5A; JEB5B; C230078O20; ITB4_HUMAN; ITGB4; ITB4_MOUSE; ITB4_RAT;   
Specific References  (2)     |     bs-10028R has been referenced in 2 publications.
[IF=4.932] Shuling Zhang. et al. A novel mechanism of lung cancer inhibition by methionine enkephalin through remodeling the immune status of the tumor microenvironment. Int Immunopharmacol. 2021 Oct;99:107999  IF ;  Mouse.  
[IF=4.501] Kun Wang. et al. CircRNA-Associated ceRNA Network Reveals Focal Adhesion and Metabolism Pathways in Neuropathic Pain. J ONCOL. 2022 Aug 27;2022:7246904  WB ;  Rat.  
研究领域 细胞生物  信号转导  细胞凋亡  
抗体来源 Rabbit
克隆类型 Polyclonal
克 隆 号
交叉反应 Human,Mouse (predicted: Rat,Rabbit,Cow,GuineaPig)
产品应用 WB=1:500-2000,IHC-P=1:100-500,IHC-F=1:100-500,IF=1:100-500
not yet tested in other applications.
optimal dilutions/concentrations should be determined by the end user.
理论分子量 197 kDa
细胞定位 细胞膜 
性    状 Liquid
浓    度 1mg/ml
免 疫 原 KLH conjugated synthetic peptide derived from human ITGB4: 131-200/1822 <Extracellular>
亚    型 IgG
纯化方法 affinity purified by Protein A
缓 冲 液 0.01M TBS (pH7.4) with 1% BSA, 0.02% Proclin300 and 50% Glycerol.
保存条件 Shipped at 4℃. Store at -20℃ for one year. Avoid repeated freeze/thaw cycles.
注意事项 This product as supplied is intended for research use only, not for use in human, therapeutic or diagnostic applications.
PubMed PubMed
产品介绍 Integrins are heterodimers comprised of alpha and beta subunits, that are noncovalently associated transmembrane glycoprotein receptors. Different combinations of alpha and beta polypeptides form complexes that vary in their ligand-binding specificities. Integrins mediate cell-matrix or cell-cell adhesion, and transduced signals that regulate gene expression and cell growth. This gene encodes the integrin beta 4 subunit, a receptor for the laminins. This subunit tends to associate with alpha 6 subunit and is likely to play a pivotal role in the biology of invasive carcinoma. Mutations in this gene are associated with epidermolysis bullosa with pyloric atresia. Multiple alternatively spliced transcript variants encoding distinct isoforms have been found for this gene. [provided by RefSeq, Jul 2008]

Function:
Integrin alpha-6/beta-4 is a receptor for laminin. It plays a critical structural role in the hemidesmosome of epithelial cells. Is required for the regulation of keratinocyte polarity and motility.

Subunit:
Heterodimer of an alpha and a beta subunit. Beta-4 associates with alpha-6. Interacts (via cytoplasmic region) with COL17A1 (via cytoplasmic region). Interacts (via cytoplasmic region) with DST isoform 3 (via N-terminus). Interacts (via cytoplasmic domain) with DST (via N-terminus). Interacts with RAC1.

Subcellular Location:
Membrane; Single-pass type I membrane protein. Cell junction, hemidesmosome. Note=Colocalizes with DST at the leading edge of migrating keratinocytes.

Tissue Specificity:
Integrin alpha-6/beta-4 is predominantly expressed by epithelia. Isoform beta-4D is also expressed in colon and placenta. Isoform beta-4E is also expressed in epidermis, lung, duodenum, heart, spleen and stomach.

DISEASE:
Defects in ITGB4 are a cause of epidermolysis bullosa letalis with pyloric atresia (EB-PA) [MIM:226730]; also known as junctional epidermolysis bullosa with pyloric atresia (PA-JEB) or aplasia cutis congenita with gastrointestinal atresia. EB-PA is an autosomal recessive, frequently lethal, epidermolysis bullosa with variable involvement of skin, nails, mucosa, and with variable effects on the digestive system. It is characterized by mucocutaneous fragility, aplasia cutis congenita, and gastrointestinal atresia, which most commonly affects the pylorus. Pyloric atresia is a primary manifestation rather than a scarring process secondary to epidermolysis bullosa.
Defects in ITGB4 are a cause of generalized atrophic benign epidermolysis bullosa (GABEB) [MIM:226650]. GABEB is a non-lethal, adult form of junctional epidermolysis bullosa characterized by life-long blistering of the skin, associated with hair and tooth abnormalities.

Similarity:
Belongs to the integrin beta chain family.
Contains 1 Calx-beta domain.
Contains 4 fibronectin type-III domains.
Contains 1 PSI domain.
Contains 1 VWFA domain.

SWISS:
P16144

Gene ID:
3691

Database links:

Entrez Gene: 3691 Human

Entrez Gene: 192897 Mouse

Entrez Gene: 25724 Rat

Omim: 147557 Human

SwissProt: P16144 Human

SwissProt: A2A863 Mouse

SwissProt: Q64632 Rat

Unigene: 632226 Human

Unigene: 213873 Mouse

Unigene: 198908 Rat



产品图片
Sample: Lung (Mouse) Lysate at 40 ug Primary: Anti-CD104 (bs-10028R) at 1/500 dilution Secondary: IRDye800CW Goat Anti-Rabbit IgG at 1/20000 dilution Predicted band size: 197 kD Observed band size: 205 kD
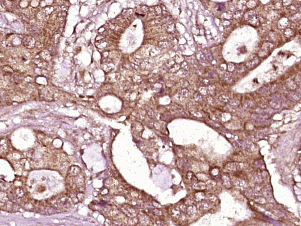
Paraformaldehyde-fixed, paraffin embedded (human cervical carcinoma); Antigen retrieval by boiling in sodium citrate buffer (pH6.0) for 15min; Block endogenous peroxidase by 3% hydrogen peroxide for 20 minutes; Blocking buffer (normal goat serum) at 37°C for 30min; Antibody incubation with (CD104) Polyclonal Antibody, Unconjugated (bs-10028R) at 1:400 overnight at 4°C, followed by operating according to SP Kit(Rabbit) (sp-0023) instructionsand DAB staining.
版权所有 2004-2026 www.bioss.com.cn 北京博奥森生物技术有限公司
通过国际质量管理体系ISO 9001:2015 GB/T 19001-2016    证书编号: 00124Q34771R2M/1100
通过国际医疗器械-质量管理体系ISO 13485:2016 GB/T 42061-2022     证书编号: CQC24QY20047R0M/1100
京ICP备05066980号-1         京公网安备110107000727号