扫码关注公众号           扫码咨询技术支持           扫码咨询技术服务
  
客服热线:400-901-9800  客服QQ:4009019800  技术答疑  技术支持  质量反馈  人才招聘  关于我们  联系我们
产品中心-北京博奥森生物技术有限公司
首页 > 产品中心 > 一抗 > 产品信息
C20orf94 Rabbit pAb (bs-15119R)  
订购热线:400-901-9800
订购邮箱:sales@bioss.com.cn
订购QQ:  400-901-9800
技术支持:techsupport@bioss.com.cn
50ul/1180.00元
100ul/1980.00元
200ul/2800.00元
大包装/询价

产品编号 bs-15119R
英文名称 C20orf94 Rabbit pAb
中文名称 20号染色体开放阅读框94抗体
别    名 C20orf94; bA204H22.1; bA254M13.1; dJ1099D15.3; SLX4I_HUMAN; SLX4IP; SLX4-interacting protein; SLX4 interacting protein; chromosome 20 open reading frame 94  
研究领域 细胞生物  免疫学  神经生物学  
抗体来源 Rabbit
克隆类型 Polyclonal
交叉反应 Mouse,Rat (predicted: Human,Pig,Sheep)
产品应用 IHC-P=1:100-500,IHC-F=1:100-500,IF=1:100-500
not yet tested in other applications.
optimal dilutions/concentrations should be determined by the end user.
理论分子量 46kDa
细胞定位 细胞浆 
性    状 Liquid
浓    度 1mg/ml
免 疫 原 KLH conjugated synthetic peptide derived from human C20orf94: 11-100/408 
亚    型 IgG
纯化方法 affinity purified by Protein A
缓 冲 液 0.01M TBS (pH7.4) with 1% BSA, 0.02% Proclin300 and 50% Glycerol.
保存条件 Shipped at 4℃. Store at -20℃ for one year. Avoid repeated freeze/thaw cycles.
注意事项 This product as supplied is intended for research use only, not for use in human, therapeutic or diagnostic applications.
PubMed PubMed
产品介绍 Representing about 2% of human DNA, chromosome 20 consists of approximately 63 million bases and 600 genes. Chromosome 20 contains a region with numerous genes expressed in the epididymis, which are thought important for seminal production, and some viewed as potential targets for male contraception. The PRNP gene encoding the prion protein associated with spongiform encephalopathies, like Creutzfeldt-Jakob disease, is found on chromosome 20. Amyotrophic lateral sclerosis, spinal muscular atrophy, ring chromosome 20 epilepsy syndrome and Alagille syndrome are also associated with chromosome 20. The C20orf94 gene product has been provisionally designated C20orf94 pending further characterization.

Subunit:
Interacts with SLX4/BTBD12; subunit of different structure-specific endonucleases.

Similarity:
Belongs to the SLX4IP family.

SWISS:
Q5VYV7

Gene ID:
128710

Database links:

Entrez Gene: 128710 Human

SwissProt: Q5VYV7 human 



产品图片
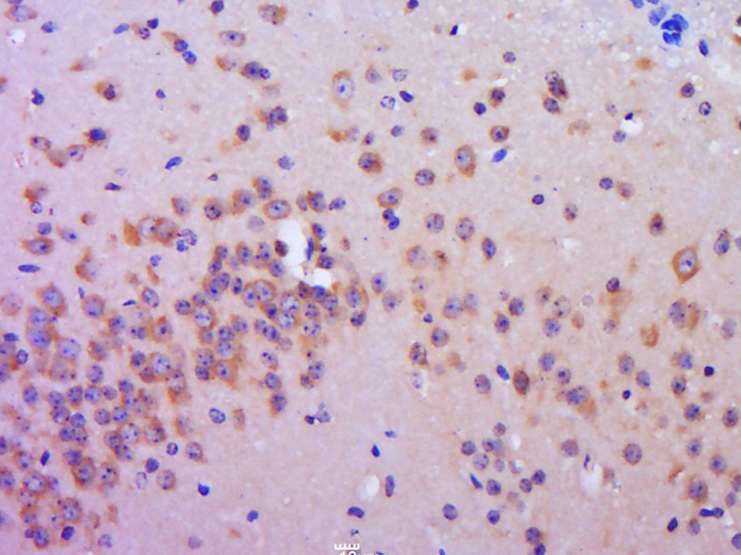
Paraformaldehyde-fixed, paraffin embedded (Rat brain); Antigen retrieval by boiling in sodium citrate buffer (pH6.0) for 15min; Block endogenous peroxidase by 3% hydrogen peroxide for 20 minutes; Blocking buffer (normal goat serum) at 37°C for 30min; Antibody incubation with (Chromosome 20 open reading frame 94; C20orf94) Polyclonal Antibody, Unconjugated (bs-15119R) at 1:400 overnight at 4°C, followed by a conjugated secondary (sp-0023) for 20 minutes and DAB staining.
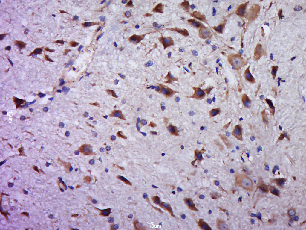
Paraformaldehyde-fixed, paraffin embedded (Mouse brain); Antigen retrieval by boiling in sodium citrate buffer (pH6.0) for 15min; Block endogenous peroxidase by 3% hydrogen peroxide for 20 minutes; Blocking buffer (normal goat serum) at 37°C for 30min; Antibody incubation with (C20orf94) Polyclonal Antibody, Unconjugated (bs-15119R) at 1:400 overnight at 4°C, followed by operating according to SP Kit(Rabbit) (sp-0023) instructionsand DAB staining.
版权所有 2004-2026 www.bioss.com.cn 北京博奥森生物技术有限公司
通过国际质量管理体系ISO 9001:2015 GB/T 19001-2016    证书编号: 00124Q34771R2M/1100
通过国际医疗器械-质量管理体系ISO 13485:2016 GB/T 42061-2022     证书编号: CQC24QY20047R0M/1100
京ICP备05066980号-1         京公网安备110107000727号