扫码关注公众号           扫码咨询技术支持           扫码咨询技术服务
  
客服热线:400-901-9800  客服QQ:4009019800  技术答疑  技术支持  质量反馈  关于我们  联系我们
产品中心-北京博奥森生物技术有限公司
首页 > 产品中心 > 一抗 > 产品信息
C1s Rabbit pAb (bs-15088R)  
订购热线:400-901-9800
订购邮箱:sales@bioss.com.cn
订购QQ:  400-901-9800
技术支持:techsupport@bioss.com.cn
50ul/1180.00元
100ul/1980.00元
200ul/2800.00元
大包装/询价

产品编号 bs-15088R
英文名称 C1s Rabbit pAb
中文名称 补体C1S链多肽抗体
别    名 EDSPD2; C1s; C1sa; r-gsp; C1S_HUMAN; C1 esterase; Complement component 1 subcomponent s; 3.4.21.42; CS1A_MOUSE; C1s1; Complement C1s-A subcomponent; Complement component 1 subcomponent s-A; Complement component 1, S subcomponent 1; C1S_RAT;   
研究领域 细胞生物  免疫学  
抗体来源 Rabbit
克隆类型 Polyclonal
克 隆 号
交叉反应 Human,Mouse (predicted: Rat,Horse)
产品应用 WB=1:500-2000,IHC-P=1:100-500,IHC-F=1:100-500,IF=1:100-500
not yet tested in other applications.
optimal dilutions/concentrations should be determined by the end user.
理论分子量 47/75 kDa
细胞定位 细胞外基质 
性    状 Liquid
浓    度 1mg/ml
免 疫 原 KLH conjugated synthetic peptide derived from human C1s : 251-350/688 
亚    型 IgG
纯化方法 affinity purified by Protein A
缓 冲 液 0.01M TBS (pH7.4) with 1% BSA, 0.02% Proclin300 and 50% Glycerol.
保存条件 Shipped at 4℃. Store at -20℃ for one year. Avoid repeated freeze/thaw cycles.
注意事项 This product as supplied is intended for research use only, not for use in human, therapeutic or diagnostic applications.
PubMed PubMed
产品介绍 The complement component proteins, C1, C3, C4, and C5, are potent anaphylatoxins that are released during complement activation. Binding of these proteins to their respective G protein-coupled receptors induces proinflammatory events, such as cellular degranulation, smooth muscle contraction, arachidonic acid metabolism, cytokine release, leukocyte activation, and cellular chemotaxis. C1q, together with proenzymes C1r and C1s, yield C1, the first component of the classical pathway of the serum complement system. C1 consists of a calcium dependent trimolecular complex of C1r, C1s and C1q in a 2:2:1 ratio. Activated C1s is in the form of a disulfide-linked heterodimer consisting of a heavy chain and a light chain. Defects in the gene encoding for C1s can cause selective C1s deficiency, a disorder characterized by early onset of various autoimmune diseases.

Function:
C1s B chain is a serine protease that combines with C1q and C1r to form C1, the first component of the classical pathway of the complement system. C1r activates C1s so that it can, in turn, activate C2 and C4.

Subunit:
C1 is a calcium-dependent trimolecular complex of C1q, C1r and C1s in the molar ration of 1:2:2. Activated C1s is an disulfide-linked heterodimer of a heavy chain and a light chain.

Post-translational modifications:
The iron and 2-oxoglutarate dependent 3-hydroxylation of aspartate and asparagine is (R) stereospecific within EGF domains.

DISEASE:
Defects in C1S are the cause of complement component C1s deficiency (C1SD) [MIM:613783]. A rare defect resulting in C1 deficiency and impaired activation of the complement classical pathway. C1 deficiency generally leads to severe immune complex disease with features of systemic lupus erythematosus and glomerulonephritis.

Similarity:
Belongs to the peptidase S1 family.
Contains 2 CUB domains.
Contains 1 EGF-like domain.
Contains 1 peptidase S1 domain.
Contains 2 Sushi (CCP/SCR) domains.

SWISS:
P09871

Gene ID:
716

Database links:

Entrez Gene: 716 Human

Entrez Gene: 50908 Mouse

Entrez Gene: 192262 Rat

Omim: 120580 Human

SwissProt: P09871 Human

SwissProt: Q8CG14 Mouse

SwissProt: Q6P6T1 Rat

Unigene: 458355 Human

Unigene: 4037 Rat



产品图片
Sample: Heart (Mouse) Lysate at 40 ug Primary: Anti-C1s (bs-15088R) at 1/300 dilution Secondary: IRDye800CW Goat Anti-Rabbit IgG at 1/20000 dilution Predicted band size: 47/75 kD Observed band size: 55 kD
Sample: Pancreas (Mouse) Lysate at 40 ug Primary: Anti-C1s (bs-15088R) at 1/1000 dilution Secondary: IRDye800CW Goat Anti-Rabbit IgG at 1/20000 dilution Predicted band size: 47/75 kD Observed band size: 47 kD
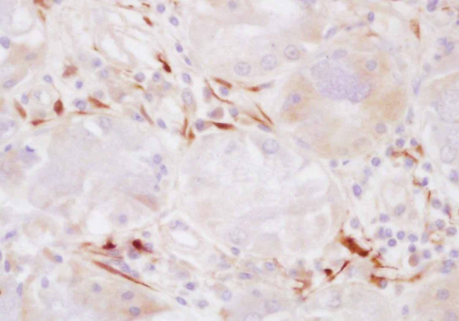
Tissue/cell: human lung carcinoma; 4% Paraformaldehyde-fixed and paraffin-embedded; Antigen retrieval: citrate buffer ( 0.01M, pH 6.0 ), Boiling bathing for 15min; Block endogenous peroxidase by 3% Hydrogen peroxide for 30min; Blocking buffer (normal goat serum,C-0005) at 37℃ for 20 min; Incubation: Anti-C1S Polyclonal Antibody, Unconjugated(bs-15088R) 1:200, overnight at 4°C, followed by conjugation to the secondary antibody(SP-0023) and DAB(C-0010) staining
版权所有 2004-2026 www.bioss.com.cn 北京博奥森生物技术有限公司
通过国际质量管理体系ISO 9001:2015 GB/T 19001-2016    证书编号: 00124Q34771R2M/1100
通过国际医疗器械-质量管理体系ISO 13485:2016 GB/T 42061-2022     证书编号: CQC24QY20047R0M/1100
京ICP备05066980号-1         京公网安备110107000727号