扫码关注公众号           扫码咨询技术支持           扫码咨询技术服务
  
客服热线:400-901-9800  客服QQ:4009019800  技术答疑  技术支持  质量反馈  人才招聘  关于我们  联系我们
产品中心-北京博奥森生物技术有限公司
首页 > 产品中心 > 一抗 > 产品信息
C1orf163 Rabbit pAb (bs-15033R)  
订购热线:400-901-9800
订购邮箱:sales@bioss.com.cn
订购QQ:  400-901-9800
技术支持:techsupport@bioss.com.cn
50ul/1180.00元
100ul/1980.00元
200ul/2800.00元
大包装/询价

产品编号 bs-15033R
英文名称 C1orf163 Rabbit pAb
中文名称 1号染色体开放阅读框163抗体
别    名 C1orf163; RESA1; SCAN3; SELRC1; 2010305A19Rik; D4Ertd796e; RGD1305274; COA7_HUMAN; COA7; Beta-lactamase hcp-like protein; Respiratory chain assembly factor 1; Sel1 repeat-containing protein 1; COA7_MOUSE;   
研究领域 肿瘤  细胞生物  免疫学  神经生物学  
抗体来源 Rabbit
克隆类型 Polyclonal
克 隆 号
交叉反应 Rat (predicted: Human,Mouse,Rabbit,Pig,Sheep,Cow,Dog,Horse)
产品应用 IHC-P=1:100-500,IHC-F=1:100-500,IF=1:100-500
not yet tested in other applications.
optimal dilutions/concentrations should be determined by the end user.
理论分子量 26 kDa
细胞定位 细胞浆 
性    状 Liquid
浓    度 1mg/ml
免 疫 原 KLH conjugated synthetic peptide derived from human C1orf163: 51-150/231 
亚    型 IgG
纯化方法 affinity purified by Protein A
缓 冲 液 0.01M TBS (pH7.4) with 1% BSA, 0.02% Proclin300 and 50% Glycerol.
保存条件 Shipped at 4℃. Store at -20℃ for one year. Avoid repeated freeze/thaw cycles.
注意事项 This product as supplied is intended for research use only, not for use in human, therapeutic or diagnostic applications.
PubMed PubMed
产品介绍 Chromosome 1 is the largest human chromosome spanning about 260 million base pairs and making up 8% of the human genome. There are about 3,000 genes on chromosome 1, and considering the great number of genes there are also a large number of diseases associated with chromosome 1. Notably, the rare aging disease Hutchinson-Gilford progeria is associated with the LMNA gene which encodes lamin A. When defective, the LMNA gene product can build up in the nucleus and cause characteristic nuclear blebs. The mechanism of rapidly enhanced aging is unclear and is a topic of continuing exploration. The MUTYH gene is located on chromosome 1 and is partially responsible for familial adenomatous polyposis. Stickler syndrome, Parkinsons, Gaucher disease and Usher syndrome are also associated with chromosome 1. A breakpoint has been identified in 1q which disrupts the DISC1 gene and is linked to schizophrenia. Aberrations in chromosome 1 are found in a variety of cancers including head and neck cancer, malignant melanoma and multiple myeloma. The C1orf163 gene product has been provisionally designated C1orf163 pending further characterization.

Similarity:
Belongs to the hcp beta-lactamase family.
Contains 5 Sel1-like repeats.

SWISS:
Q96BR5

Gene ID:
65260

Database links:

Entrez Gene: 65260 Human

Entrez Gene: 69893 Mouse

Entrez Gene: 298377 Rat

SwissProt: Q96BR5 Human

SwissProt: Q921H9 Mouse

Unigene: 349905 Human

Unigene: 28354 Mouse

Unigene: 21005 Rat



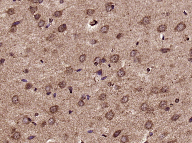
产品图片
Paraformaldehyde-fixed, paraffin embedded (Rat brain); Antigen retrieval by boiling in sodium citrate buffer (pH6.0) for 15min; Block endogenous peroxidase by 3% hydrogen peroxide for 20 minutes; Blocking buffer (normal goat serum) at 37°C for 30min; Antibody incubation with (C1orf163) Polyclonal Antibody, Unconjugated (bs-15033R) at 1:400 overnight at 4°C, followed by operating according to SP Kit(Rabbit) (sp-0023) instructionsand DAB staining.
版权所有 2004-2026 www.bioss.com.cn 北京博奥森生物技术有限公司
通过国际质量管理体系ISO 9001:2015 GB/T 19001-2016    证书编号: 00124Q34771R2M/1100
通过国际医疗器械-质量管理体系ISO 13485:2016 GB/T 42061-2022     证书编号: CQC24QY20047R0M/1100
京ICP备05066980号-1         京公网安备110107000727号