扫码关注公众号           扫码咨询技术支持           扫码咨询技术服务
  
客服热线:400-901-9800  客服QQ:4009019800  技术答疑  技术支持  质量反馈  关于我们  联系我们
产品中心-北京博奥森生物技术有限公司
首页 > 产品中心 > 一抗 > 产品信息
CMKLR1 Rabbit pAb (bs-10185R)  
订购热线:400-901-9800
订购邮箱:sales@bioss.com.cn
订购QQ:  400-901-9800
技术支持:techsupport@bioss.com.cn
50ul/1180.00元
100ul/1980.00元
200ul/2800.00元
大包装/询价

产品编号 bs-10185R
英文名称 CMKLR1 Rabbit pAb
中文名称 趋化样因子受体1抗体
别    名 Chemokine receptor-like 1; CHEMR23; ChemR23; DEZ; Chemokine like receptor 1; G protein coupled receptor ChemR23; G protein coupled receptor DEZ; CML1_HUMAN; Orphan G protein coupled receptor.  
Specific References  (4)     |     bs-10185R has been referenced in 4 publications.
[IF=7.58] Qu, Xinli, et al. "Resolvins E1 and D1 inhibit interstitial fibrosis in the obstructed kidney via inhibition of local fibroblast proliferation." The Journal of pathology 228.4 (2012): 506-519.  WB, IHC-F ;  Mouse.  
[IF=5.195] Jing-Xiao Wang. et al. Chemerin-9 in paraventricular nucleus increases sympathetic outflow and blood pressure via glutamate receptor-mediated ROS generation. EUR J PHARMACOL. 2022 Dec;936:175343  WB ;  Rat.  
[IF=3.61] Peng, Lei, et al. "The Chemerin Receptor CMKLR1 is a Functional Receptor for Amyloid-β Peptide." Journal of Alzheimers Disease (2014).  Mouse.  
[IF=3.448] Hanthazi A et al. Chemerin influences endothelin-and serotonin-induced pulmonary artery vasoconstriction in rats. Life Sci. 2019 Jun 16:116580.  IHC-P ;  Rat.  
研究领域 肿瘤  细胞生物  染色质和核信号  G蛋白偶联受体  表观遗传学  G蛋白信号  
抗体来源 Rabbit
克隆类型 Polyclonal
克 隆 号
交叉反应 Human,Mouse (predicted: Rat,Sheep,Dog)
产品应用 WB=1:500-2000,IHC-P=1:100-500,IHC-F=1:100-500,IF=1:100-500
not yet tested in other applications.
optimal dilutions/concentrations should be determined by the end user.
理论分子量 42 kDa
检测分子量
细胞定位 细胞膜 
性    状 Liquid
浓    度 1mg/ml
免 疫 原 KLH conjugated synthetic peptide derived from rat CMKLR1: 151-250/371 <Extracellular>
亚    型 IgG
纯化方法 affinity purified by Protein A
缓 冲 液 0.01M TBS (pH7.4) with 1% BSA, 0.02% Proclin300 and 50% Glycerol.
保存条件 Shipped at 4℃. Store at -20℃ for one year. Avoid repeated freeze/thaw cycles.
注意事项 This product as supplied is intended for research use only, not for use in human, therapeutic or diagnostic applications.
PubMed PubMed
产品介绍 Chemokine-Like Receptor 1 (CMKLR1) is a serpentine transmembrane G-protein linked receptor. It is an orphan chemoattractant receptor, also known as ChemR23 or DEZ. CMKLR1 is expressed on the surface of monocyte-derived immature dendritic cells and peripheral plamacytoid dendritic (pDC) cells; but not on myeloid dendritic (mDC) cells, monocytes and lymphocytes. The expression of CMKLR1 on pDC is down-regulated after activation. Chemerin (TIG2) is a natural ligand of CMKLR1. The interaction of CMKLR1 with Chemerin induces pDC activation and chemotaxis. It has been shown that CMKLR1 is a coreceptor for several strains of SIV and HIV-1. CMKLR1 is a potential useful marker for distinguishing pDCs and mDCs.

Function:
Receptor for the chemoattractant adipokine chemerin/RARRES2 and for the omega-3 fatty acid derived molecule resolvin E1. Interaction with RARRES2 induces activation of intracellular signaling molecules, such as SKY, MAPK1/3 (ERK1/2), MAPK14/P38MAPK and PI3K leading to multifunctional effects, like, reduction of immune responses, enhancing of adipogenesis and angionesis. Resolvin E1 down-regulates cytokine production in macrophages by reducing the activation of MAPK1/3 (ERK1/2) and NF-kappa-B. Acts as a coreceptor for several SIV strains (SIVMAC316, SIVMAC239, SIVMACL7E-FR and SIVSM62A), as well as a primary HIV-1 strain (92UG024-2).

Subcellular Location:
Cell membrane.

Tissue Specificity:
Prominently expressed in developing osseous and cartilaginous tissue. Also found in adult parathyroid glands. Prominently expressed in developing osseous and cartilaginous tissue. Also found in adult parathyroid glands. Expressed in cardiovascular system, brain, kidney, gastrointestinal tissues and myeloid tissues. Expressed in a broad array of tissues associated with hematopoietic and immune function including, spleen, thymus, appendix, lymph node, bone marrow and fetal liver. Among leukocyte populations abundant expression in monocyte-derived macrophage and immature dendritic cells (DCs). High expression in blood monocytes and low levels in polymorphonuclear cells and T cells. Expressed on endothelial cells.

Similarity:
Belongs to the G-protein coupled receptor 1 family.

Database links:

Entrez Gene: 1240 Human

Entrez Gene: 14747 Mouse

Entrez Gene: 60669 Rat

Omim: 602351 Human

SwissProt: Q99788 Human

SwissProt: P97468 Mouse

SwissProt: O35786 Rat

Unigene: 197143 Human

Unigene: 5196 Mouse

Unigene: 44465 Rat



产品图片
25 ug total protein per lane of various lysates (see on figure) probed with CMKLR1 polyclonal antibody, unconjugated (bs-10185R) at 1:1000 dilution and 4°C overnight incubation. Followed by conjugated secondary antibody incubation at r.t. for 60 min.
Sample: Lane 1: Lung (Mouse) Lysate at 40 ug Lane 2: Liver (Mouse) Lysate at 40 ug Primary: Anti-CMKLR1 (bs-10185R) at 1/1000 dilution Secondary: IRDye800CW Goat Anti-Rabbit IgG at 1/20000 dilution Predicted band size: 42 kD Observed band size: 42 kD
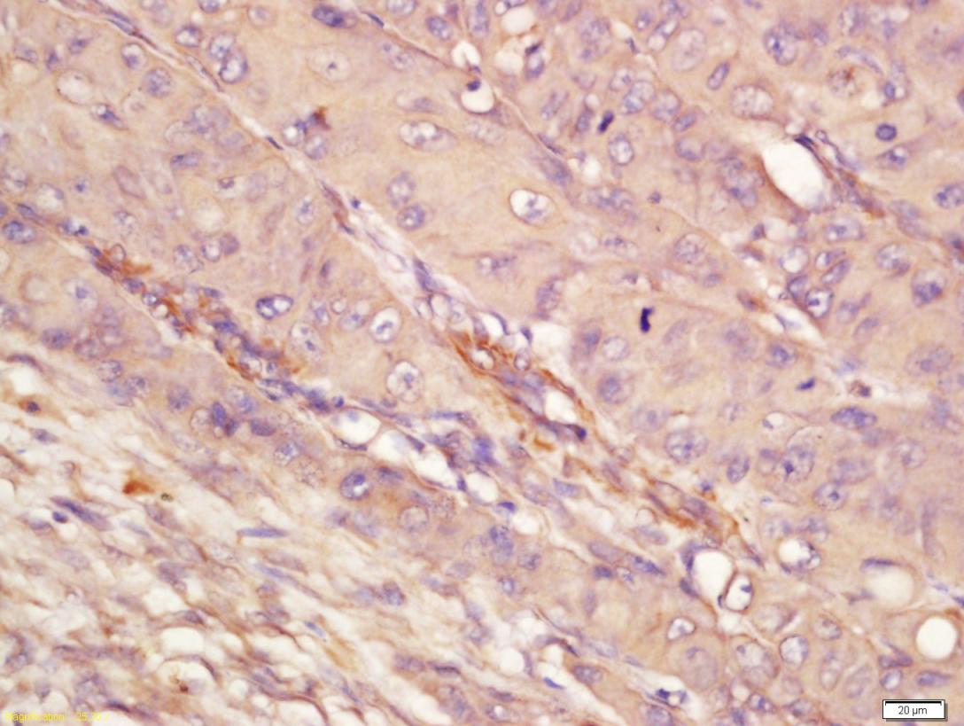
Tissue/cell: human lung carcinoma; 4% Paraformaldehyde-fixed and paraffin-embedded; Antigen retrieval: citrate buffer ( 0.01M, pH 6.0 ), Boiling bathing for 15min; Block endogenous peroxidase by 3% Hydrogen peroxide for 30min; Blocking buffer (normal goat serum,C-0005) at 37℃ for 20 min; Incubation: Anti-CMKLR1 Polyclonal Antibody, Unconjugated(bs-10185R) 1:200, overnight at 4°C, followed by conjugation to the secondary antibody(SP-0023) and DAB(C-0010) staining
Tissue/cell: Human laryngeal tissue; 4% Paraformaldehyde-fixed and paraffin-embedded; Antigen retrieval: citrate buffer ( 0.01M, pH 6.0 ), Boiling bathing for 15min; Block endogenous peroxidase by 3% Hydrogen peroxide for 30min; Blocking buffer (normal goat serum,C-0005) at 37℃ for 20 min; Incubation: Anti-CMKLR1 Polyclonal Antibody, Unconjugated(bs-10185R) 1:200, overnight at 4°C, followed by conjugation to the secondary antibody(SP-0023) and DAB(C-0010) staining
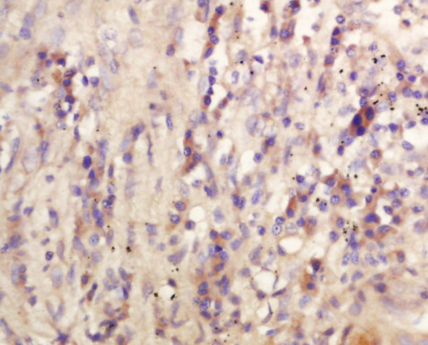
Tissue/cell: human glioma tissue; 4% Paraformaldehyde-fixed and paraffin-embedded; Antigen retrieval: citrate buffer ( 0.01M, pH 6.0 ), Boiling bathing for 15min; Block endogenous peroxidase by 3% Hydrogen peroxide for 30min; Blocking buffer (normal goat serum,C-0005) at 37℃ for 20 min; Incubation: Anti-CMKLR1 Polyclonal Antibody, Unconjugated(bs-10185R) 1:200, overnight at 4°C, followed by conjugation to the secondary antibody(SP-0023) and DAB(C-0010) staining
Tissue/cell: rat brain tissue; 4% Paraformaldehyde-fixed and paraffin-embedded; Antigen retrieval: citrate buffer ( 0.01M, pH 6.0 ), Boiling bathing for 15min; Block endogenous peroxidase by 3% Hydrogen peroxide for 30min; Blocking buffer (normal goat serum,C-0005) at 37℃ for 20 min; Incubation: Anti-CMKLR1 Polyclonal Antibody, Unconjugated(bs-10185R) 1:200, overnight at 4°C, followed by conjugation to the secondary antibody(SP-0023) and DAB(C-0010) staining
Black line : Positive blank control HUVEC); Negative blank control (A431) Green line : Primary Antibody (Rabbit Anti-CMKLR1 antibody (bs-10185R) ) Orange line:Isotype Control Antibody (Rabbit IgG) . Blue line : Secondary Antibody (Goat anti-rabbit IgG-AF488) HUVEC(Positive)and A431(Negative control)cells (black) were incubated in 5% BSA blocking buffer for 30 min at room temperature. Cells were then stained with CMKLR1 Antibody(bs-10185R)at 1:50 dilution in blocking buffer and incubated for 30 min at room temperature, washed twice with 2% BSA in PBS, followed by secondary antibody(blue) incubation for 40 min at room temperature. Acquisitions of 20,000 events were performed. Cells stained with primary antibody (green), and isotype control (orange).
版权所有 2004-2026 www.bioss.com.cn 北京博奥森生物技术有限公司
通过国际质量管理体系ISO 9001:2015 GB/T 19001-2016    证书编号: 00124Q34771R2M/1100
通过国际医疗器械-质量管理体系ISO 13485:2016 GB/T 42061-2022     证书编号: CQC24QY20047R0M/1100
京ICP备05066980号-1         京公网安备110107000727号