扫码关注公众号           扫码咨询技术支持           扫码咨询技术服务
  
客服热线:400-901-9800  客服QQ:4009019800  技术答疑  技术支持  质量反馈  关于我们  联系我们
产品中心-北京博奥森生物技术有限公司
首页 > 产品中心 > 一抗 > 产品信息
eIF4E Rabbit pAb (bs-4979R)  
订购热线:400-901-9800
订购邮箱:sales@bioss.com.cn
订购QQ:  400-901-9800
技术支持:techsupport@bioss.com.cn
50ul/1180.00元
100ul/1980.00元
200ul/2800.00元
大包装/询价

产品编号 bs-4979R
英文名称 eIF4E Rabbit pAb
中文名称 真核翻译起始因子4E抗体
别    名 EIF4F; eIF-4E; eIF 4E; CBP; eIF 4F 25 kDa subunit; CBP; eIF 4E; eIF 4F 25 kDa subunit; EIF 4F; EIF4E1; EIF4EL1; EIF4F; Eukaryotic Translation Initiation Factor 4 E; Eukaryotic translation initiation factor 4E like 1; Messanger RNA Cap Binding Protein eIF 4E.  
研究领域 肿瘤  细胞生物  信号转导  转录调节因子  表观遗传学  
抗体来源 Rabbit
克隆类型 Polyclonal
克 隆 号
交叉反应 Human,Mouse,Rat
产品应用 WB=1:500-2000,IHC-P=1:100-500,IHC-F=1:100-500,IF=1:100-500
not yet tested in other applications.
optimal dilutions/concentrations should be determined by the end user.
理论分子量 24 kDa
检测分子量
细胞定位 细胞浆 
性    状 Liquid
浓    度 1mg/ml
免 疫 原 KLH conjugated synthetic peptide derived from human eIF4E: 121-217/217 
亚    型 IgG
纯化方法 affinity purified by Protein A
缓 冲 液 0.01M TBS (pH7.4) with 1% BSA, 0.02% Proclin300 and 50% Glycerol.
保存条件 Shipped at 4℃. Store at -20℃ for one year. Avoid repeated freeze/thaw cycles.
注意事项 This product as supplied is intended for research use only, not for use in human, therapeutic or diagnostic applications.
PubMed PubMed
产品介绍 eIF4E, a protein modulates translation of maternal mRNAs in early embryos before the onset of zygotic transcription. eIF4E also influences the overall rate of translation. eIF4E binds to the 7 methyl GTP cap structure of eukaryotic mRNAs. Phosphorylation of eIF4E on serine 209 regulates the affinity of this protein for the 7 methyl GTP cap and/or RNA. Phosphorylation also enhances the interaction of eIF4E with eIF4G, which form a complex known as eIF4F. eIF4E phosphorylation is correlated with increased translational rate in a number of cell types. Several kinases are currently being investigated as potential regulators of eIF4E including PKC and/or the MAP kinase activated Mnk.

Function:
Its translation stimulation activity is repressed by binding to the complex CYFIP1-FMR1 (By similarity). Recognizes and binds the 7-methylguanosine-containing mRNA cap during an early step in the initiation of protein synthesis and facilitates ribosome binding by inducing the unwinding of the mRNAs secondary structures. Component of the CYFIP1-EIF4E-FMR1 complex which binds to the mRNA cap and mediates translational repression. In the CYFIP1-EIF4E-FMR1 complex this subunit mediates the binding to the mRNA cap.

Subunit:
eIF4F is a multi-subunit complex, the composition of which varies with external and internal environmental conditions. It is composed of at least EIF4A, EIF4E and EIF4G1/EIF4G3. EIF4E is also known to interact with other partners. The interaction with EIF4ENIF1 mediates the import into the nucleus. Nonphosphorylated EIF4EBP1, EIF4EBP2 and EIF4EBP3 compete with EIF4G1/EIF4G3 to interact with EIF4E; insulin stimulated MAP-kinase (MAPK1 and MAPK3) phosphorylation of EIF4EBP1 causes dissociation of the complex allowing EIF4G1/EIF4G3 to bind and consequent initiation of translation. Rapamycin can attenuate insulin stimulation, mediated by FKBPs. Interacts mutually exclusive with EIF4A1 or EIF4A2. Interacts with NGDN and PIWIL2. Component of the CYFIP1-EIF4E-FMR1 complex composed of CYFIP, EIF4E and FMR1. Interacts directly with CYFIP1 (By similarity). Interacts with Lassa virus Z protein. Binds to MKNK2 in nucleus. Interacts with LIMD1, WTIP and AJUBA.

Subcellular Location:
Cytoplasm, P-body.

Post-translational modifications:
Phosphorylation increases the ability of the protein to bind to mRNA caps and to form the eIF4F complex.

Similarity:
Belongs to the eukaryotic initiation factor 4E family.

SWISS:
P06730

Gene ID:
1977

Database links:

Entrez Gene: 1977 Human

Entrez Gene: 13684 Mouse

Entrez Gene: 117045 Rat

Omim: 133440 Human

SwissProt: P06730 Human

SwissProt: P63073 Mouse

SwissProt: P63074 Rat

Unigene: 249718 Human

Unigene: 3941 Mouse

Unigene: 11275 Rat




核细胞翻译起始因子4E-EIF4E是蛋白合成的一个主要调控因子,它表达量增加会促进多种肿瘤的生长的增值、分化,因此EIF4E是一种非常重要的抗癌药物靶标。eIF-4E是一种涉及核糖体与mRNA帽子结构结合的真核生物翻译起始因子。它以2种形式存在:游离形式(25kDa)和作为多蛋白复合物eIF-4F的一个组分。 eIF-4E 是数量最少的一种起始因子,涉及翻译起始的限速步骤,磷酸化调节蛋白质的生物合成。
产品图片
Sample: Lane 1: Colon (Mouse) Lysate at 40 ug Lane 2: Colon (Rat) Lysate at 40 ug Primary: Anti-eIF4E (bs-4979R) at 1/1000 dilution Secondary: IRDye800CW Goat Anti-Rabbit IgG at 1/20000 dilution Predicted band size: 27 kD Observed band size: 27 kD
Sample: Hela(Human) Cell Lysate at 30 ug Primary: Anti-eIF4E (bs-4979R) at 1/500 dilution Secondary: IRDye800CW Goat Anti-Rabbit IgG at 1/20000 dilution Predicted band size: 24 kD Observed band size: 28 kD
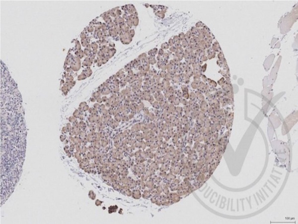
Independently Validated Antibody, image provided by Science Direct, badge number 029640:Formalin-fixed and paraffin embedded human pancreas labeled with Anti-eIF4E Polyclonal Antibody, Unconjugated (bs-4979R) at 1:250 followed by conjugation to the secondary antibody and DAB staining
版权所有 2004-2026 www.bioss.com.cn 北京博奥森生物技术有限公司
通过国际质量管理体系ISO 9001:2015 GB/T 19001-2016    证书编号: 00124Q34771R2M/1100
通过国际医疗器械-质量管理体系ISO 13485:2016 GB/T 42061-2022     证书编号: CQC24QY20047R0M/1100
京ICP备05066980号-1         京公网安备110107000727号