扫码关注公众号           扫码咨询技术支持           扫码咨询技术服务
  
客服热线:400-901-9800  客服QQ:4009019800  技术答疑  技术支持  质量反馈  人才招聘  关于我们  联系我们
产品中心-北京博奥森生物技术有限公司
首页 > 产品中心 > 一抗 > 产品信息
UNCX Rabbit pAb (bs-12043R)  
订购热线:400-901-9800
订购邮箱:sales@bioss.com.cn
订购QQ:  400-901-9800
技术支持:techsupport@bioss.com.cn
50ul/1180.00元
100ul/1980.00元
200ul/2800.00元
大包装/询价

产品编号 bs-12043R
英文名称 UNCX Rabbit pAb
中文名称 同源蛋白UNCX抗体
别    名 UNC4_HUMAN; UNCX; Homeobox protein Uncx4.1; UNCX4.1; UNC4_MOUSE; UNC4_RAT; Paired-type homeodomain transcription factor 1; Phd1; UNC homeobox  
研究领域 细胞生物  神经生物学  信号转导  转录调节因子  表观遗传学  
抗体来源 Rabbit
克隆类型 Polyclonal
交叉反应 Human,Mouse,Rat (predicted: Pig,Chicken,Dog)
产品应用 WB=1:500-2000,IHC-P=1:100-500,IHC-F=1:100-500,IF=1:100-500
not yet tested in other applications.
optimal dilutions/concentrations should be determined by the end user.
理论分子量 54kDa
检测分子量 54
细胞定位 细胞核 
性    状 Liquid
浓    度 1mg/ml
免 疫 原 KLH conjugated synthetic peptide derived from human UNCX: 145-150/531 
亚    型 IgG
纯化方法 affinity purified by Protein A
缓 冲 液 0.01M TBS (pH7.4) with 1% BSA, 0.02% Proclin300 and 50% Glycerol.
保存条件 Shipped at 4℃. Store at -20℃ for one year. Avoid repeated freeze/thaw cycles.
注意事项 This product as supplied is intended for research use only, not for use in human, therapeutic or diagnostic applications.
PubMed PubMed
产品介绍 This gene encodes a homeobox transcription factor that is involved in somitogenesis and neurogenesis and is required for the maintenance and differentiation of specific elements of the axial skeleton. This gene also plays a role in controlling the development of connections of hypothalamic neurons to pituitary elements, allowing central neurons to reach the peripheral blood circulation and deliver hormones that control peripheral functions. The expression of this gene is associated with an increased frequency of acute myeloid leukemia. [provided by RefSeq, Jul 2017]

Function:
Transcription factor involved in somitogenesis and neurogenesis. Required for the maintenance and differentiation of particular elements of the axial skeleton. May act upstream of PAX9. Plays a role in controlling the development of connections of hypothalamic neurons to pituitary elements, allowing central neurons to reach the peripheral blood circulation and to deliver hormones for control of peripheral functions.

Subcellular Location:
Nucleus.

Similarity:
Belongs to the paired homeobox family. Unc-4 subfamily.
Contains 1 homeobox DNA-binding domain.

SWISS:
A6NJT0

Gene ID:
340260

Database links:

Entrez Gene: 340260 Human

Entrez Gene: 22255 Mouse

Entrez Gene: 29375 Rat

SwissProt: A6NJT0 Human

SwissProt: O08934 Mouse

SwissProt: P97830 Rat



产品图片
Sample: Cerebrum (Mouse) Lysate at 40 ug Cerebrum (Rat) Lysate at 40 ug Primary: Anti-UNCX (bs-12043R) at 1/1000 dilution Secondary: IRDye800CW Goat Anti-Rabbit IgG at 1/20000 dilution Predicted band size: 54 kD Observed band size: 54 kD
Sample: HL60(Human) Cell Lysate at 30 ug A549(Human) Cell Lysate at 30 ug NIH/3T3(Mouse) Cell Lysate at 30 ug Primary: Anti-UNCX (bs-12043R) at 1/1000 dilution Secondary: IRDye800CW Goat Anti-Rabbit IgG at 1/20000 dilution Predicted band size: 54 kD Observed band size: 54 kD
Paraformaldehyde-fixed, paraffin embedded (Mouse brain); Antigen retrieval by boiling in sodium citrate buffer (pH6.0) for 15min; Block endogenous peroxidase by 3% hydrogen peroxide for 20 minutes; Blocking buffer (normal goat serum) at 37°C for 30min; Antibody incubation with (UNCX) Polyclonal Antibody, Unconjugated (bs-12043R) at 1:400 overnight at 4°C, followed by operating according to SP Kit(Rabbit) (sp-0023) instructionsand DAB staining.
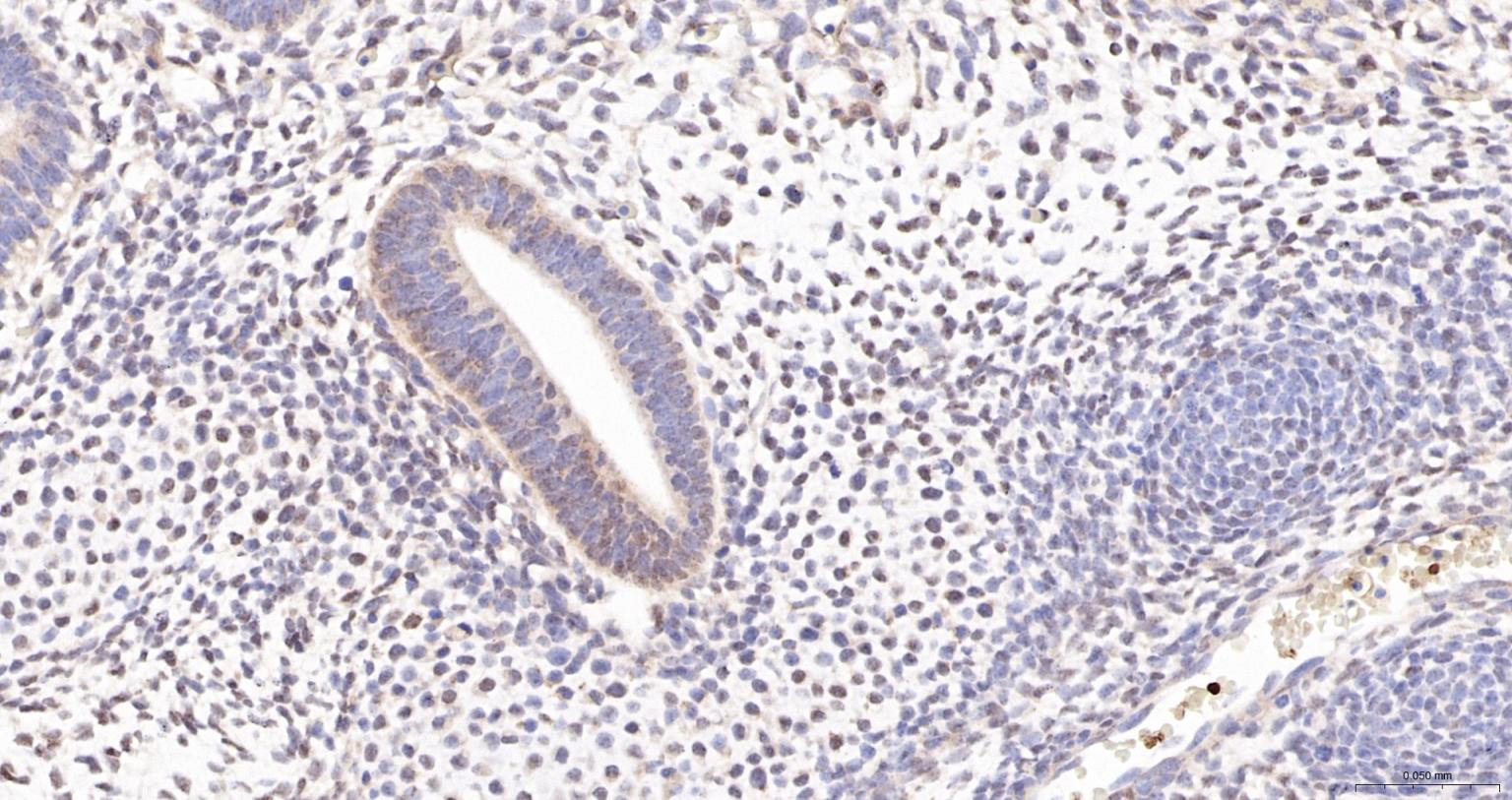
Paraformaldehyde-fixed, paraffin embedded Mouse Embryo; Antigen retrieval by boiling in sodium citrate buffer (pH6.0) for 15 min; The section was incubated with UNCX Polyclonal Antibody, Unconjugated (bs-12043R) at 1:200 overnight at 4°C, followed by conjugation to the bs-0295G-HRP and DAB (C-0010) staining.
Paraformaldehyde-fixed, paraffin embedded Rat Embryo; Antigen retrieval by boiling in sodium citrate buffer (pH6.0) for 15 min; The section was incubated with UNCX Polyclonal Antibody, Unconjugated (bs-12043R) at 1:200 overnight at 4°C, followed by conjugation to the bs-0295G-HRP and DAB (C-0010) staining.
版权所有 2004-2026 www.bioss.com.cn 北京博奥森生物技术有限公司
通过国际质量管理体系ISO 9001:2015 GB/T 19001-2016    证书编号: 00124Q34771R2M/1100
通过国际医疗器械-质量管理体系ISO 13485:2016 GB/T 42061-2022     证书编号: CQC24QY20047R0M/1100
京ICP备05066980号-1         京公网安备110107000727号