扫码关注公众号           扫码咨询技术支持           扫码咨询技术服务
  
客服热线:400-901-9800  客服QQ:4009019800  技术答疑  技术支持  质量反馈  人才招聘  关于我们  联系我们
产品中心-北京博奥森生物技术有限公司
首页 > 产品中心 > 一抗 > 产品信息
BDNF Rabbit pAb (bs-4989R)  
订购热线:400-901-9800
订购邮箱:sales@bioss.com.cn
订购QQ:  400-901-9800
技术支持:techsupport@bioss.com.cn
50ul/1180.00元
100ul/1980.00元
200ul/2800.00元
大包装/询价

产品编号 bs-4989R
英文名称 BDNF Rabbit pAb
中文名称 脑源神经营养因子抗体
别    名 ANON2; BULN2; BDNF_HUMAN; BDNF; proBDNF; Abrineurin; Brain-derived neurotrophic factor; BDNF_MOUSE; BDNF_RAT; brain derived neurotrophic factor; neurotrophin  
Specific References  (17)     |     bs-4989R has been referenced in 17 publications.
[IF=13.352] Tingting Ku. et al. Tebuconazole mediates cognitive impairment via the microbe-gut-brain axis (MGBA) in mice. ENVIRON INT. 2023 Feb;:107821  WB ;  Mouse.  
[IF=9.584] Liu Sumei. et al. Suppression of TGFβR-Smad3 pathway alleviates the syrinx induced by syringomyelia. CELL BIOSCI. 2023 Dec;13(1):1-13  IF ;  Rat.  
[IF=6.208] Sheng-Hua Wu. et al. Spinal Irisin Gene Delivery Attenuates Burn Injury-Induced Muscle Atrophy by Promoting Axonal Myelination and Innervation of Neuromuscular Junctions. INT J MOL SCI. 2022 Jan;23(24):15899  IF ;  Rat.  
[IF=5.8] Joanna Winstone. et al. Effects of Tetrahydrocannabinol and Cannabidiol on Brain-Derived Neurotrophic Factor and Tropomyosin Receptor Kinase B Expression in the Adolescent Hippocampus. CANNABIS CANNABINOID. 2022 May 30  WB,IHC ;  Mouse.  
[IF=5.702] Song Qiaoli. et al. Neuroprotective Effects of Estrogen Through BDNF-Transient Receptor Potential Channels 6 Signaling Pathway in the Hippocampus in a Rat Model of Perimenopausal Depression. FRONT AGING NEUROSCI. 2022 Jul;0:675  IF ;  Rat.  
[IF=5.62] Zhao, Tianyun, et al. "Ketamine administered to pregnant rats in the second trimester causes long-lasting behavioral disorders in offspring." Neurobiology of Disease (2014).  WB ;  Rat.  
[IF=5.33] YuanYuan Hou. et al. Long-term variable photoperiod exposure impairs the mPFC and induces anxiety and depression-like behavior in male wistar rats. Exp Neurol. 2022 Jan;347:113908  IHC ;  Rat.  
[IF=5.195] Akira Tani. et al. Stimulation of functional recovery via neurorepair mechanisms by the traditional Japanese Kampo medicine, Ninjin'yoeito, and physical exercise in a rat ischemic stroke model. J ETHNOPHARMACOL. 2023 Feb;302:115927  WB, IHC ;  Rat.  
[IF=4.77] Xu J. Y. et al. The Antidepressant-Like Effect of Vanillin Aroma Involves Serum Magnesium and Brain BDNF. (2018)Neuropsychiatry (London) Volume 8, Issue 4  IHC ;  Rat.  
[IF=4.225] Liu P et al. Harmine Ameliorates Cognitive Impairment by Inhibiting NLRP3 Inflammasome Activation and Enhancing the BDNF/TrkB Signaling Pathway in STZ-Induced Diabetic Rats. Front Pharmacol. 2020 May 1;11:535.  WB/IF ;  Rat.  
[IF=3.87] Molly Kent. et al. The Emotional Impact of Disrupted Environmental Contexts: Enrichment loss and coping profiles influence stress response recovery in Long-Evans rats. J NEUROENDOCRINOL. 2022 Jun 22  IHC ;  Rat.  
[IF=3.26] Nader, Manar A., et al. "Sitagliptin enhances the neuroprotective effect of pregabalin against pentylenetetrazole-induced acute epileptogenesis in mice: Implication of oxidative, inflammatory, apoptotic and autophagy pathways." Neurochemistry International(2017).  IHC-P ;  Mouse.  
[IF=3.197] Kazuki Nakanishi. et al. Effects of early exercise intervention and exercise cessation on neuronal loss and neuroinflammation in a senescence-accelerated mouse prone 8. NEUROSCI LETT. 2023 Jun;808:137297  IHC ;  Mouse.  
[IF=2.94] Zabłocka et al. Neurotrophic Activity of Cultured Cell Line U87 is Up-Regulated by Proline-Rich Polypeptide Complex and Its Constituent Nonapeptide. (2015) Cell.Mol.Neurobiol. 35:977-86  WB ;  
[IF=2.367] Sheen JM et al. Young rats with increased circulatory asymmetric dimethylarginine exhibited spatial deficit and alterations in dorsal hippocampus brain-derived neurotrophic factor and asymmetric dimethylarginine: Effects of melatonin. Int J Dev Neurosci. 2019 Sep 21;78:83-89.  IHF ;  Rat.  
[IF=1.782] Shrestha S et al. Differential regulation of brain‐derived neurotrophic factor (BDNF) expression in sensory neuron axons by mi RNA‐206. FEBS Open Bio,2018 9(2), 374–383.  WB ;  Rat.  
[IF=1.77] Xing et al. Non-viral liposome-mediated transfer of brain-derived neurotrophic factor across the blood-brain barrier. (2016) Neural.Regen.Re. 11:617-22  IF(IHC-P) ;  Rat.  
研究领域 细胞生物  神经生物学  信号转导  生长因子和激素  转录调节因子  激酶和磷酸酶  细胞因子  
抗体来源 Rabbit
克隆类型 Polyclonal
交叉反应 Human,Mouse,Rat
产品应用 WB=1:500-2000,IHC-P=1:50-200,IHC-F=1:50-200,IF=1:50-200,Flow-Cyt=1:100-200
not yet tested in other applications.
optimal dilutions/concentrations should be determined by the end user.
理论分子量 13/27kDa
检测分子量 35
细胞定位 分泌型蛋白 
性    状 Liquid
浓    度 1mg/ml
免 疫 原 KLH conjugated synthetic peptide derived from human BDNF: 151-247/247 
亚    型 IgG
纯化方法 affinity purified by Protein A
缓 冲 液 0.01M TBS (pH7.4) with 1% BSA, 0.02% Proclin300 and 50% Glycerol.
保存条件 Shipped at 4℃. Store at -20℃ for one year. Avoid repeated freeze/thaw cycles.
注意事项 This product as supplied is intended for research use only, not for use in human, therapeutic or diagnostic applications.
PubMed PubMed
产品介绍 Neurotrophins function to regulate naturally occurring cell death of neurons during development. The prototype neurotrophin is nerve growth factor (NGF), originally discovered in the 1950s as a soluble peptide promoting the survival of, and neurite outgrowth from, sympathetic ganglia. More recently, three additional structurally homologous neurotrophic factors have been identified. These include brain-derived neurotrophic factor (BDNF), neurotrophin-3 (NT-3) and neurotrophin-4 (NT-4), also designated NT-5. These various neurotrophins stimulate the in vitro survival of distinct but partially overlapping populations of neurons. The Trk A receptor is the preferential receptor for NGF, but also binds NT-3 and NT-4. The Trk B receptor binds equally well to both BDNF and NT-4 and to a lesser extent NT-3, while the Trk C receptor only binds NT-3. BDNF promotes the survival of neuronal populations that are all located either in the central nervous system or directly connected to it. Belongs to the NGF-beta family.

Function:
During development, promotes the survival and differentiation of selected neuronal populations of the peripheral and central nervous systems. Participates in axonal growth, pathfinding and in the modulation of dendritic growth and morphology. Major regulator of synaptic transmission and plasticity at adult synapses in many regions of the CNS. The versatility of BDNF is emphasized by its contribution to a range of adaptive neuronal responses including long-term potentiation (LTP), long-term depression (LTD), certain forms of short-term synaptic plasticity, as well as homeostatic regulation of intrinsic neuronal excitability.

Subunit:
Monomers and homodimers. Binds to NTRK2/TRKB.

Subcellular Location:
Secreted.

Tissue Specificity:
Brain. Highly expressed in hippocampus, amygdala, cerebral cortex and cerebellum. Also expressed in heart, lung, skeletal muscle, testis, prostate and placenta.

Post-translational modifications:
The propeptide is N-glycosylated and glycosulfated.

DISEASE:
Defects in BDNF are a cause of congenital central hypoventilation syndrome (CCHS) [MIM:209880]; also known as congenital failure of autonomic control or Ondine curse. CCHS is a rare disorder characterized by abnormal control of respiration in the absence of neuromuscular or lung disease, or an identifiable brain stem lesion. A deficiency in autonomic control of respiration results in inadequate or negligible ventilatory and arousal responses to hypercapnia and hypoxemia. CCHS is frequently complicated with neurocristopathies such as Hirschsprung disease that occurs in about 16% of CCHS cases.

Similarity:
Belongs to the NGF-beta family.

SWISS:
P23560

Gene ID:
627

Database links:

Entrez Gene: 627 Human

Entrez Gene: 12064 Mouse

Entrez Gene: 24225 Rat

Omim: 113505 Human

SwissProt: P23560 Human

SwissProt: P21237 Mouse

SwissProt: P23363 Rat

Unigene: 502182 Human

Unigene: 1442 Mouse

Unigene: 11266 Rat



产品图片
25 ug total protein per lane of various lysates (see on figure) probed with BDNF polyclonal antibody, unconjugated (bs-4989R) at 1:1000 dilution and 4°C overnight incubation. Followed by conjugated secondary antibody incubation at r.t. for 60 min.
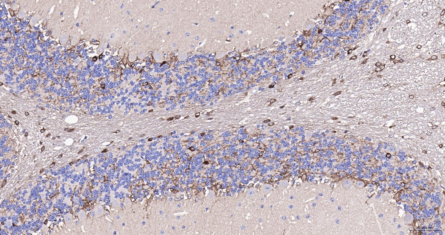
Paraformaldehyde-fixed, paraffin embedded Mouse Cerebellum; Antigen retrieval by boiling in sodium citrate buffer (pH6.0) for 15 min; The section was incubated with BDNF Polyclonal Antibody, Unconjugated (bs-4989R) at 1:200 overnight at 4°C, followed by conjugation to the the PV-1023 and DAB (C-0010) staining.
Paraformaldehyde-fixed, paraffin embedded Human Left temporal lobe; Antigen retrieval by boiling in sodium citrate buffer (pH6.0) for 15 min; Antibody incubation with BDNF Polyclonal Antibody, Unconjugated (bs-4989R) at 1:200 overnight at 4°C, followed by conjugation to the SP Kit (Rabbit, SP-0023) and DAB (C-0010) staining.
Paraformaldehyde-fixed, paraffin embedded Mouse Cerebellum; Antigen retrieval by boiling in sodium citrate buffer (pH6.0) for 15 min; Antibody incubation with BDNF Polyclonal Antibody, Unconjugated (bs-4989R) at 1:200 overnight at 4°C, followed by conjugation to the SP Kit (Rabbit, SP-0023) and DAB (C-0010) staining.
Paraformaldehyde-fixed, paraffin embedded Rat Cerebellum; Antigen retrieval by boiling in sodium citrate buffer (pH6.0) for 15 min; Antibody incubation with BDNF Polyclonal Antibody, Unconjugated (bs-4989R) at 1:200 overnight at 4°C, followed by conjugation to the SP Kit (Rabbit, SP-0023) and DAB (C-0010) staining.
Paraformaldehyde-fixed, paraffin embedded Mouse Cerebrum; Antigen retrieval by boiling in sodium citrate buffer (pH6.0) for 15 min; Antibody incubation with BDNF Polyclonal Antibody, Unconjugated (bs-4989R) at 1:200 overnight at 4°C, followed by conjugation to the SP Kit (Rabbit, SP-0023) and DAB (C-0010) staining.
Paraformaldehyde-fixed, paraffin embedded Rat Cerebrum; Antigen retrieval by boiling in sodium citrate buffer (pH6.0) for 15 min; Antibody incubation with BDNF Polyclonal Antibody, Unconjugated (bs-4989R) at 1:200 overnight at 4°C, followed by conjugation to the SP Kit (Rabbit, SP-0023) and DAB (C-0010) staining.
Paraformaldehyde-fixed, paraffin embedded Rat Spinal Cord; Antigen retrieval by boiling in sodium citrate buffer (pH6.0) for 15 min; Antibody incubation with BDNF Polyclonal Antibody, Unconjugated (bs-4989R) at 1:200 overnight at 4°C, followed by conjugation to the SP Kit (Rabbit, SP-0023) and DAB (C-0010) staining.
版权所有 2004-2026 www.bioss.com.cn 北京博奥森生物技术有限公司
通过国际质量管理体系ISO 9001:2015 GB/T 19001-2016    证书编号: 00124Q34771R2M/1100
通过国际医疗器械-质量管理体系ISO 13485:2016 GB/T 42061-2022     证书编号: CQC24QY20047R0M/1100
京ICP备05066980号-1         京公网安备110107000727号