扫码关注公众号           扫码咨询技术支持           扫码咨询技术服务
  
客服热线:400-901-9800  客服QQ:4009019800  技术答疑  技术支持  质量反馈  关于我们  联系我们
产品中心-北京博奥森生物技术有限公司
首页 > 产品中心 > 一抗 > 产品信息
PTF1A Rabbit pAb (bs-11930R)  
订购热线:400-901-9800
订购邮箱:sales@bioss.com.cn
订购QQ:  400-901-9800
技术支持:techsupport@bioss.com.cn
50ul/1180.00元
100ul/1980.00元
200ul/2800.00元
大包装/询价

产品编号 bs-11930R
英文名称 PTF1A Rabbit pAb
中文名称 胰腺特异转录因子PTF1A抗体
别    名 PTF1-p48; bHLH transcription factor p48; bHLHa29; Class A basic helix-loop-helix protein 29; Class II bHLH protein PTF1A; Exocrine pancreas specific transcription factor p48; p48 DNA binding subunit of transcription factor PTF1; p48 DNA-binding subunit of transcription factor PTF1; Pancreas specific transcription factor 1a; Pancreas transcription factor 1 subunit alpha; Pancreas-specific transcription factor 1a; PTF 1A; PTF1 p48; PTF1-p48; Ptf1a; PTF1A_HUMAN; PTF1P48.  
研究领域 肿瘤  细胞生物  转录调节因子  表观遗传学  
抗体来源 Rabbit
克隆类型 Polyclonal
克 隆 号
交叉反应 Mouse,Rat (predicted: Human,Pig,Cow)
产品应用 IHC-P=1:100-500,IHC-F=1:100-500,IF=1:100-500
not yet tested in other applications.
optimal dilutions/concentrations should be determined by the end user.
理论分子量 35 kDa
检测分子量
细胞定位 细胞核 细胞浆 
性    状 Liquid
浓    度 1mg/ml
免 疫 原 KLH conjugated synthetic peptide derived from human PTF1A: 165-260/328 
亚    型 IgG
纯化方法 affinity purified by Protein A
缓 冲 液 0.01M TBS (pH7.4) with 1% BSA, 0.02% Proclin300 and 50% Glycerol.
保存条件 Shipped at 4℃. Store at -20℃ for one year. Avoid repeated freeze/thaw cycles.
注意事项 This product as supplied is intended for research use only, not for use in human, therapeutic or diagnostic applications.
PubMed PubMed
产品介绍 PTF1 is a pancreas-specific protein that functions as a component of the trimeric pancreas transcription factor 1 (PTF1) complex. Localizing to the nucleus, PTF1 contains one basic helix-loop-helix (bHLH) domain and is believed to play an important role in mammalian pancreatic development, functioning as a transcription factor that regulates the specification of all three pancreatic cell types. PTF1 interacts with RBP-Jⅹ and, together, they cooperate in regulating the expression of PDX-1 (pancreas/duodenum homeobox protein 1), a key regulator of pancreatic islet development and insulin gene transcription in beta-cells. Loss of functional PTF1 can cause pancreatic progenitors to take on the normal fates of duodenal epithelia. Mutations in the gene encoding PTF1 lead to diabetes mellitus and cerebellar hypoplasia/agenesis, suggesting that PTF1 also plays and important role in cerebellar neurogenesis.

Function:
Transcriptional activator. Binds to the E-box consensus sequence 5'-CANNTG-3'. Plays an important role in determining whether cells allocated to the pancreatic buds continue towards pancreatic organogenesis or revert back to duodenal fates. May be involved in the maintenance of exocrine pancreas-specific gene expression including ELA1 and amylase. Required for the formation of pancreatic acinar and ductal cells. Plays an important role in cerebellar development.

Subcellular Location:
Nucleus. Cytoplasm. In chronic pancreatitis associated with pancreas cancer preferentially accumulates in the cytoplasm of acinar/ductular complexes. In the cytoplasm loses its ability to form the PTF1 complex.

Tissue Specificity:
Pancreas-specific (at protein level). Loss of expression is seen in ductal type pancreas cancers.

DISEASE:
Defects in PTF1A are the cause of diabetes mellitus and cerebellar hypoplasia/agenesis (DMCH) [MIM:609069].

Similarity:
Contains 1 basic helix-loop-helix (bHLH) domain.

SWISS:
Q7RTS3

Gene ID:
256297

Database links:

Entrez Gene: 256297 Human

Entrez Gene: 19213 Mouse

Entrez Gene: 117034 Rat

Omim: 607194 Human

SwissProt: Q7RTS3 Human

SwissProt: Q9QX98 Mouse

SwissProt: Q64305 Rat

Unigene: 351503 Human

Unigene: 69647 Mouse

Unigene: 10536 Rat



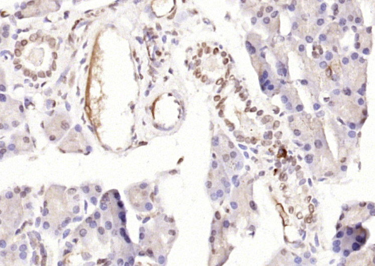
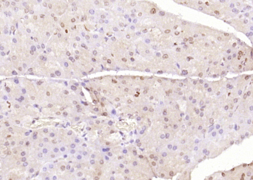
产品图片
Paraformaldehyde-fixed, paraffin embedded (mouse pancreas); Antigen retrieval by boiling in sodium citrate buffer (pH6.0) for 15min; Block endogenous peroxidase by 3% hydrogen peroxide for 20 minutes; Blocking buffer (normal goat serum) at 37°C for 30min; Antibody incubation with (PTF1A) Polyclonal Antibody, Unconjugated (bs-11930R) at 1:200 overnight at 4°C, followed by operating according to SP Kit(Rabbit) (sp-0023) instructionsand DAB staining.
Paraformaldehyde-fixed, paraffin embedded (rat pancreas); Antigen retrieval by boiling in sodium citrate buffer (pH6.0) for 15min; Block endogenous peroxidase by 3% hydrogen peroxide for 20 minutes; Blocking buffer (normal goat serum) at 37°C for 30min; Antibody incubation with (PTF1A) Polyclonal Antibody, Unconjugated (bs-11930R) at 1:200 overnight at 4°C, followed by operating according to SP Kit(Rabbit) (sp-0023) instructionsand DAB staining.
版权所有 2004-2026 www.bioss.com.cn 北京博奥森生物技术有限公司
通过国际质量管理体系ISO 9001:2015 GB/T 19001-2016    证书编号: 00124Q34771R2M/1100
通过国际医疗器械-质量管理体系ISO 13485:2016 GB/T 42061-2022     证书编号: CQC24QY20047R0M/1100
京ICP备05066980号-1         京公网安备110107000727号