扫码关注公众号           扫码咨询技术支持           扫码咨询技术服务
  
客服热线:400-901-9800  客服QQ:4009019800  技术答疑  技术支持  质量反馈  关于我们  联系我们
产品中心-北京博奥森生物技术有限公司
首页 > 产品中心 > 一抗 > 产品信息
DNTNP Rabbit pAb (bs-11839R)  
订购热线:400-901-9800
订购邮箱:sales@bioss.com.cn
订购QQ:  400-901-9800
技术支持:techsupport@bioss.com.cn
50ul/1180.00元
100ul/1980.00元
200ul/2800.00元
大包装/询价

产品编号 bs-11839R
英文名称 DNTNP Rabbit pAb
中文名称 背神经管核蛋白抗体
别    名 DNTNP; Dorsal neural-tube nuclear protein; FA53A_HUMAN; FAM53A; family with sequence similarity 53, member A; Protein FAM53A.  
研究领域 细胞生物  发育生物学  神经生物学  
抗体来源 Rabbit
克隆类型 Polyclonal
克 隆 号
交叉反应 Human,Dog (predicted: Chicken)
产品应用 IHC-P=1:100-500,IHC-F=1:100-500,IF=1:100-500
not yet tested in other applications.
optimal dilutions/concentrations should be determined by the end user.
理论分子量 43 kDa
检测分子量
细胞定位 细胞核 
性    状 Liquid
浓    度 1mg/ml
免 疫 原 KLH conjugated synthetic peptide derived from human DNTNP/FAM53A: 255-340/398 
亚    型 IgG
纯化方法 affinity purified by Protein A
缓 冲 液 0.01M TBS (pH7.4) with 1% BSA, 0.02% Proclin300 and 50% Glycerol.
保存条件 Shipped at 4℃. Store at -20℃ for one year. Avoid repeated freeze/thaw cycles.
注意事项 This product as supplied is intended for research use only, not for use in human, therapeutic or diagnostic applications.
PubMed PubMed
产品介绍 Dorsal neural-tube nuclear protein is a 398 amino acid nuclear protein. DNTNP is thought to play an important role in neural development by specifying dorsal cell fates within the neural tube. Widely expressed in the dorsal neural tube, DNTNP is most highly expressed in the dorsal regions of the midbrain, the hindbrain, the diencephalon, and the spinal neural tube and is expressed at lower levels in the branchial arches, the telencephalon, the heart, and somites of developing embryos. DNTNP is encoded by a gene located on chromosome 4 which contains many genes including the Huntingtin gene, which is found to encode an expanded glutamine tract in cases of Huntington's disease.

Function:
May play an important role in neural development; the dorsomedial roof of the third ventricle.

Subcellular Location:
Nucleus. Subnuclear distribution.

Similarity:
Belongs to the FAM53 family.

SWISS:
Q6NSI3

Gene ID:
152877

Database links:

Entrez Gene: 152877 Human

SwissProt: Q6NSI3 Human

Unigene: 143314 Human



产品图片
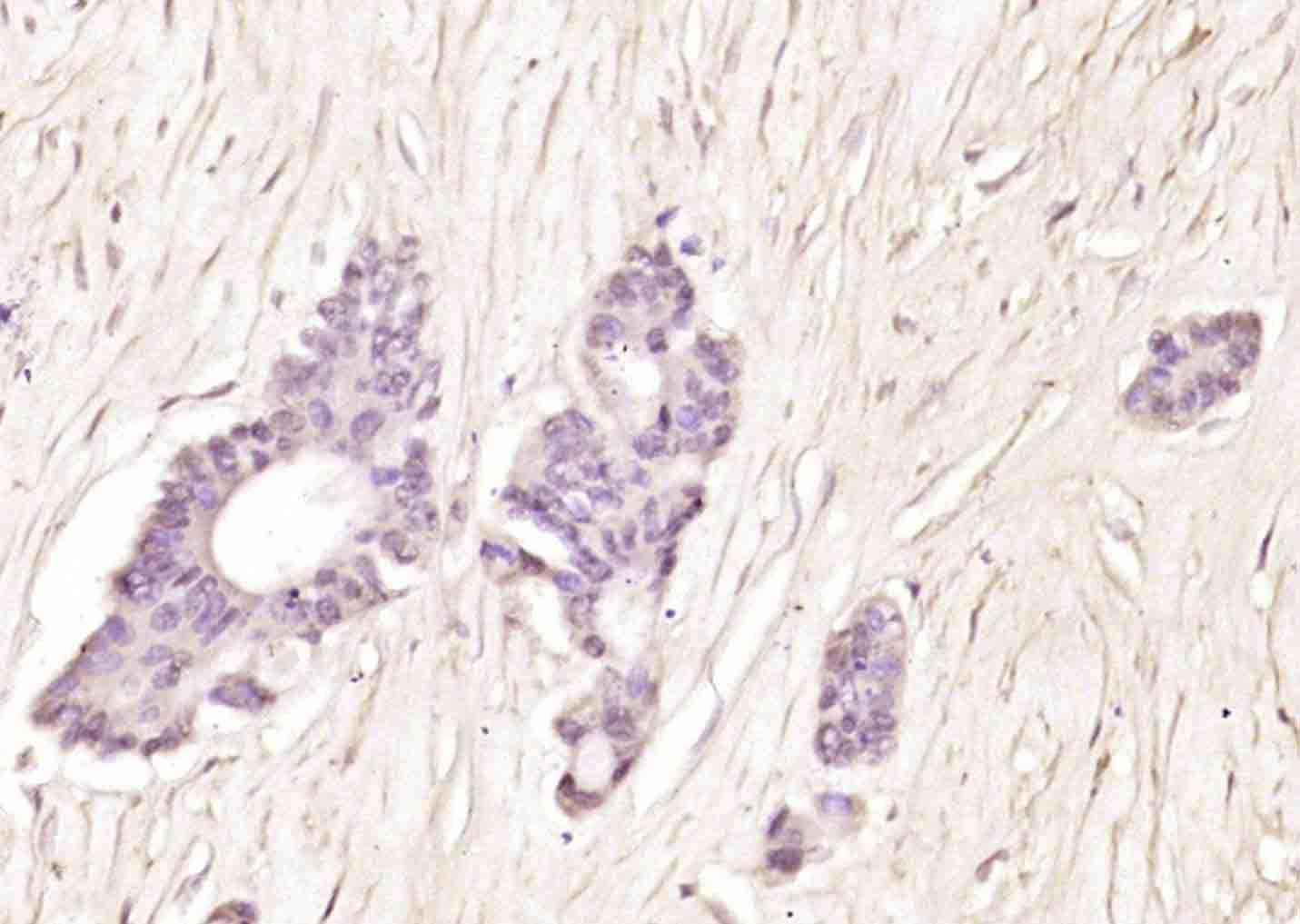
Paraformaldehyde-fixed, paraffin embedded (human cervical carcinoma); Antigen retrieval by boiling in sodium citrate buffer (pH6.0) for 15min; Block endogenous peroxidase by 3% hydrogen peroxide for 20 minutes; Blocking buffer (normal goat serum) at 37°C for 30min; Antibody incubation with (DNTNP) Polyclonal Antibody, Unconjugated (bs-11839R) at 1:200 overnight at 4°C, followed by operating according to SP Kit(Rabbit) (sp-0023) instructionsand DAB staining.
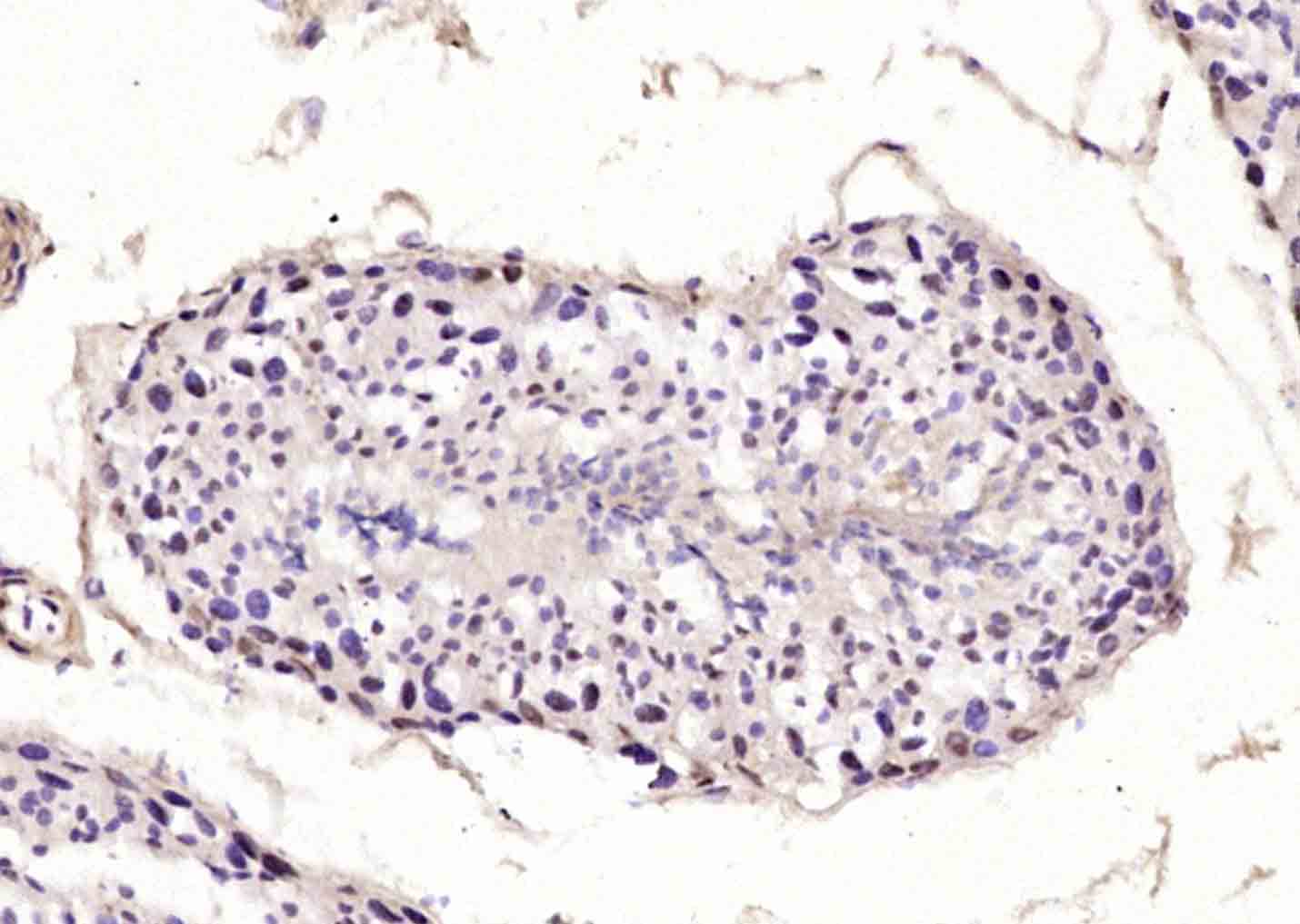
Paraformaldehyde-fixed, paraffin embedded (dog testis); Antigen retrieval by boiling in sodium citrate buffer (pH6.0) for 15min; Block endogenous peroxidase by 3% hydrogen peroxide for 20 minutes; Blocking buffer (normal goat serum) at 37°C for 30min; Antibody incubation with (DNTNP) Polyclonal Antibody, Unconjugated (bs-11839R) at 1:200 overnight at 4°C, followed by operating according to SP Kit(Rabbit) (sp-0023) instructionsand DAB staining.
版权所有 2004-2026 www.bioss.com.cn 北京博奥森生物技术有限公司
通过国际质量管理体系ISO 9001:2015 GB/T 19001-2016    证书编号: 00124Q34771R2M/1100
通过国际医疗器械-质量管理体系ISO 13485:2016 GB/T 42061-2022     证书编号: CQC24QY20047R0M/1100
京ICP备05066980号-1         京公网安备110107000727号